Найти в Дзене

Кейс с травмой зуба

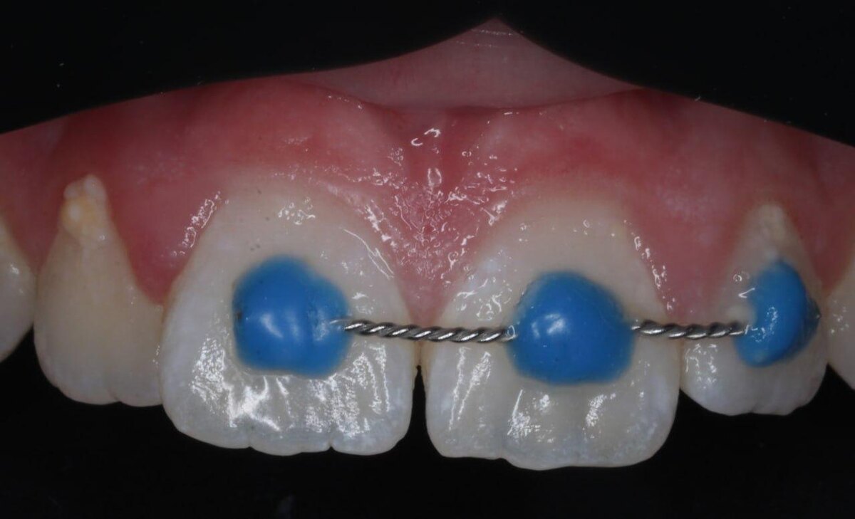
Коллеги, в загадке выше показывала вам как можно обнаружить трещину в зубе с помощью лампы. Сегодня расскажу подробнее об этом кейсе. Пациент – девочка, 10 лет. Играла с сестрой, и та уронила телефон… ей на зубы. В итоге 21-й зуб получил прямую травму.Вечером родители прислали видео – зуб подвижен, вокруг десны — кровяной сгусток, всё кровит. Утром ребёнок приехал на прием.
👉 Подвижность — II степени. Зуб целый, корень целый, переломов нет. Но это подвывих, а значит риск осложнений очень высокий. Сделали шинирование. И не зря, через пару дней девочка снова получила травму (да, таким же способом). Мама шутила: «Хорошо, что вы их уже зафиксировали». Мной были даны рекомендации по питанию, уходу, наблюдению. При подвывихах вероятность некроза пульпы выше, чем при других типах травм, поэтому мы всегда предупреждаем, что такая история может закончиться эндолечением. 📌 Важно помнить, что это не та трещина, которую нужно срочно лечить. Нет смещения фрагментов, нет симптомов, нет чувствител

Коллеги, в загадке выше показывала вам как можно обнаружить трещину в зубе с помощью лампы. Сегодня расскажу подробнее об этом кейсе.

Пациент – девочка, 10 лет. Играла с сестрой, и та уронила телефон… ей на зубы. В итоге 21-й зуб получил прямую травму.Вечером родители прислали видео – зуб подвижен, вокруг десны — кровяной сгусток, всё кровит. Утром ребёнок приехал на прием.


👉
Подвижность — II степени. Зуб целый, корень целый, переломов нет. Но это подвывих, а значит риск осложнений очень высокий.

Сделали шинирование. И не зря, через пару дней девочка снова получила травму (да, таким же способом). Мама шутила: «Хорошо, что вы их уже зафиксировали».

Мной были даны рекомендации по питанию, уходу, наблюдению. При подвывихах вероятность некроза пульпы выше, чем при других типах травм, поэтому мы всегда предупреждаем, что такая история может закончиться эндолечением.

📌 Важно помнить, что это не та трещина, которую нужно срочно лечить. Нет смещения фрагментов, нет симптомов, нет чувствительности — это просто факт, который должен быть отражён в карте, известен родителям. Мы такие трещины наблюдаем. Ни ребёнку, ни зубу это сейчас никак не мешает.


Через две недели сняли шину. Зуб больше не подвижен
, отвечает на холодовую пробу, но опаздывает на 1–2 секунды. На первом визите реакция была ярче. Пока пульпа жизнеспособна, а мы продолжаем наблюдение.

Больше моих кейсов по тегу #кейсы_гузун