Найти в Дзене
Мedical Insider

Генная терапия даёт надежду младенцам с редким смертельным заболеванием

Команда исследователей из Колумбийского университета (Columbia University) представила результаты перспективной терапии болезни Менкеса — редкого генетического нарушения обмена меди у новорождённых мальчиков. Новый подход сочетает вирусную геннотерапевтическую технологию с введением гистидината меди (CuHis) и, по предварительным данным, предотвращает развитие заболевания. Работа опубликована в журнале Science Advances. При болезни Менкеса дефектный ген мешает доставке меди в ткани, особенно в нейроны. Инъекции CuHis частично восполняют дефицит, но не решают проблему транспорта. Новая генная терапия восполняет утраченный ген-переносчик меди, а CuHis обеспечивает организм необходимым элементом. Такой двойной подход устраняет причину болезни и восстанавливает баланс меди в мозге. Работа выполнена в сотрудничестве с Детской больницей Нейшнвайд (Nationwide Children’s Hospital) и Университетом штата Огайо (Ohio State University). В исследовании отмечено, что при раннем применении CuHis выжив
Оглавление

Команда исследователей из Колумбийского университета (Columbia University) представила результаты перспективной терапии болезни Менкеса — редкого генетического нарушения обмена меди у новорождённых мальчиков. Новый подход сочетает вирусную геннотерапевтическую технологию с введением гистидината меди (CuHis) и, по предварительным данным, предотвращает развитие заболевания. Работа опубликована в журнале Science Advances.

Ключевые факты

  • Болезнь Менкеса — редкое наследственное заболевание, вызывающее тяжёлую нейродегенерацию и гибель ребёнка в первые два года жизни.
  • Применение CuHis увеличивало продолжительность жизни пациентов с 1–2 до 15 лет при раннем начале лечения.
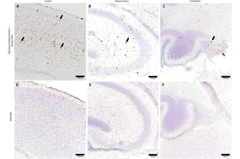
  • Комбинация CuHis с вирусной генной терапией предотвращала развитие болезни у 100 % лабораторных животных.
  • В ближайшие годы исследователи планируют начать клинические испытания на людях.

Как работает лечение

При болезни Менкеса дефектный ген мешает доставке меди в ткани, особенно в нейроны. Инъекции CuHis частично восполняют дефицит, но не решают проблему транспорта. Новая генная терапия восполняет утраченный ген-переносчик меди, а CuHis обеспечивает организм необходимым элементом. Такой двойной подход устраняет причину болезни и восстанавливает баланс меди в мозге.

Путь к новым клиническим испытаниям

Работа выполнена в сотрудничестве с Детской больницей Нейшнвайд (Nationwide Children’s Hospital) и Университетом штата Огайо (Ohio State University). В исследовании отмечено, что при раннем применении CuHis выживаемость пациентов возрастала многократно, а некоторые дети доживали до подросткового возраста. Препарат CuHis уже подан на одобрение FDA, а генотерапия проходит финальные доклинические проверки.

Что говорят учёные

«Если объединить раннее выявление, медную поддержку и геннотерапевтическое лечение, можно радикально изменить естественное течение болезни», — говорит профессор Стивен Кейлер, руководитель клиники болезни Менкеса при Колумбийском университете.

Что это значит для пациентов

Если эффективность терапии подтвердится у людей, это станет первым заболеванием-модифицирующим методом лечения болезни Менкеса. Он способен уменьшить судороги, замедлить нейродегенерацию и продлить жизнь детей. Ключевым условием успеха остаётся ранняя диагностика, которую может обеспечить неонатальный скрининг.

Авторы другого исследования отмечают, что новая ингаляционная генная терапия помогает лечить муковисцидоз и подтверждает потенциал этого метода для борьбы с тяжёлыми наследственными заболеваниями.

Литература:
Lalitha Venkataraman et al, Intravenous AAV9-ATP7Aplus subcutaneous copper histidinate optimizes outcomes in a lethal Menkes disease mouse model,
Science Advances (2025). DOI: 10.1126/sciadv.adw5612