Найти в Дзене

Отбеливание Zoom 4: не только про белизну, но и про ощущение уверенности

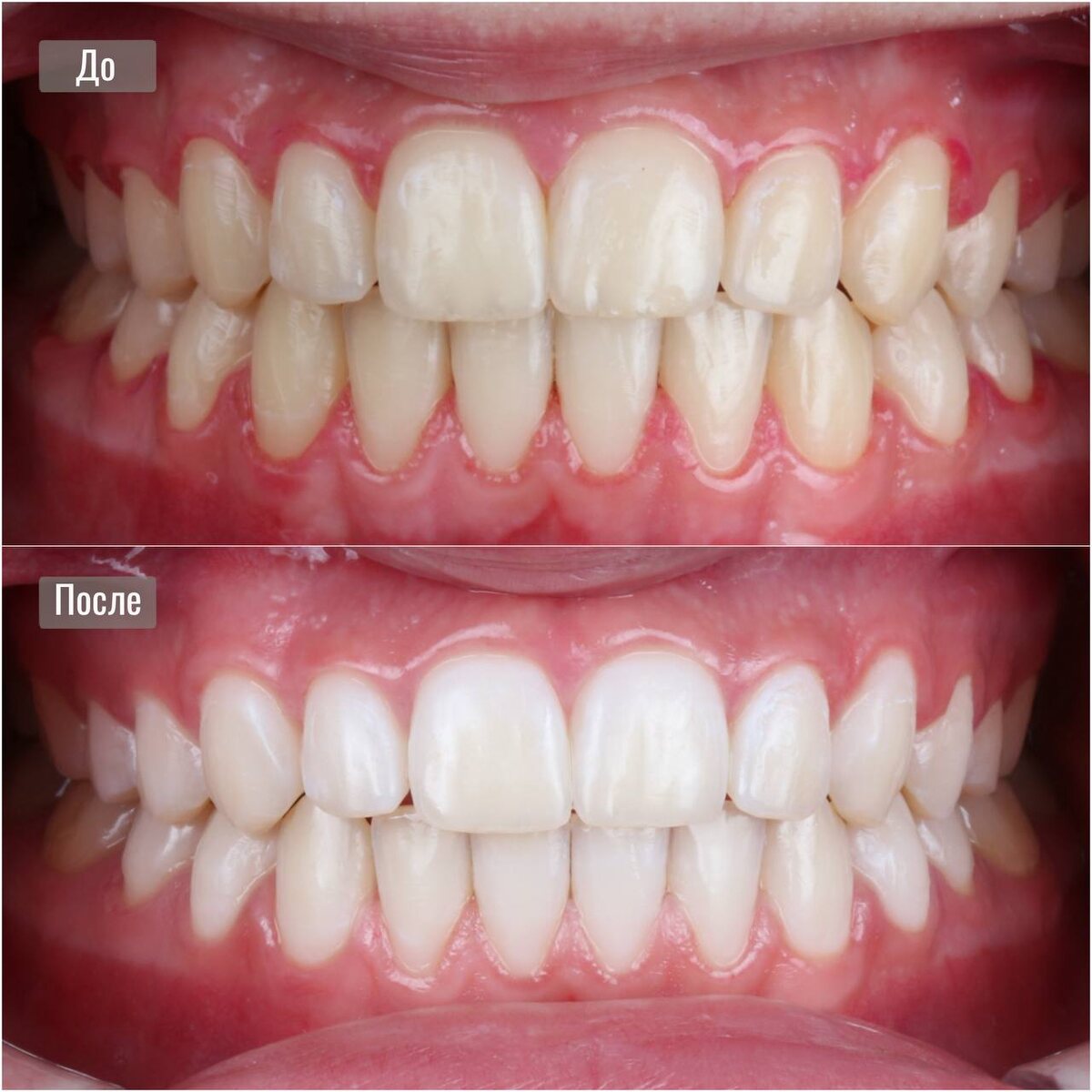
Мы недавно показали процесс отбеливания в видео — от подготовки до финального результата. На фото тот самый пациент, чью процедуру вы могли видеть в ролике. Результат получился действительно наглядным. Пациенты часто отмечают, что после отбеливания меняется не только цвет зубов. Улыбка становится свободнее, появляется ощущение лёгкости в общении и больше уверенности в себе. Zoom 4 — щадящая, но эффективная система отбеливания. Она: • даёт выраженный результат за одно посещение
• снижает риск чувствительности
• сохраняет эффект до 5 лет По сути, это небольшое вмешательство, которое способно заметно изменить восприятие собственной улыбки и то, как вы чувствуете себя в повседневных ситуациях.

Мы недавно показали процесс отбеливания в видео — от подготовки до финального результата. На фото тот самый пациент, чью процедуру вы могли видеть в ролике. Результат получился действительно наглядным.

Пациенты часто отмечают, что после отбеливания меняется не только цвет зубов. Улыбка становится свободнее, появляется ощущение лёгкости в общении и больше уверенности в себе.

-2

Что важно знать о Zoom 4

Zoom 4 — щадящая, но эффективная система отбеливания. Она:

• даёт выраженный результат за одно посещение

• снижает риск чувствительности

• сохраняет эффект до 5 лет

По сути, это небольшое вмешательство, которое способно заметно изменить восприятие собственной улыбки и то, как вы чувствуете себя в повседневных ситуациях.