Добавить в корзинуПозвонить
Найти в Дзене
Ильинская больница

Спондилолистез, или «Доктор, у меня съехал позвонок!»

Разбираем главные диагностические инструменты спинального хирурга. Сегодня поговорим о частой проблеме, с которой пациенты приходят к спинальному хирургу: "У меня на МРТ съехал позвонок, что делать?" Что на самом деле стоит за этими словами и как врачи это диагностируют? Есть три ключевых исследования, без которых спинальному хирургу (нейрохирургу или травматологу-ортопеду) не обойтись — это МРТ, КТ и функциональная рентгенография. Что же это такое? Позвоночник — это не колонна, а динамическая структура! Каждый сегмент имеет небольшую, но жизненно важную амплитуду движений. Когда эта амплитуда становится избыточной, возникает нестабильность. Именно она и является причиной «съехавшего» позвонка. Научное название этого явления — спондилолистез (от греч. «spondylos» — позвонок, «listhesis» — смещение). Приставки антеро- (вперед), ретро- (назад) или латеро- (вбок) указывают направление смещения. В чем суть функциональных снимков? Пациент делает рентгеновские снимки не просто стоя, а в макс

Разбираем главные диагностические инструменты спинального хирурга. Сегодня поговорим о частой проблеме, с которой пациенты приходят к спинальному хирургу: "У меня на МРТ съехал позвонок, что делать?"

Что на самом деле стоит за этими словами и как врачи это диагностируют?

Есть три ключевых исследования, без которых спинальному хирургу (нейрохирургу или травматологу-ортопеду) не обойтись — это МРТ, КТ и функциональная рентгенография.

  • МРТ — лучший способ оценить «мягкий каркас» позвоночника: межпозвонковые диски, нервы, связки и спинной мозг.
  • КТ дает детальную 3D-картину костных структур, позволяет увидеть переломы, плотность кости и сложные анатомические особенности.
  • А вот третий метод — функциональная рентгенография — часто вызывает вопросы.

Что же это такое?

Позвоночник — это не колонна, а динамическая структура! Каждый сегмент имеет небольшую, но жизненно важную амплитуду движений. Когда эта амплитуда становится избыточной, возникает нестабильность. Именно она и является причиной «съехавшего» позвонка.

Научное название этого явления — спондилолистез (от греч. «spondylos» — позвонок, «listhesis» — смещение). Приставки антеро- (вперед), ретро- (назад) или латеро- (вбок) указывают направление смещения.

-2

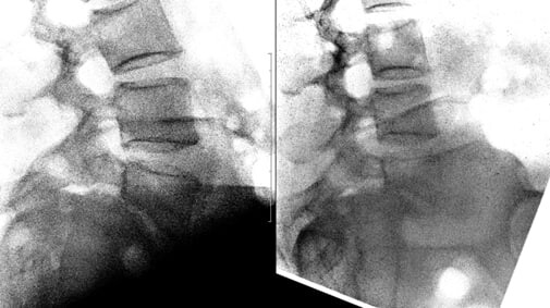
В чем суть функциональных снимков?

Пациент делает рентгеновские снимки не просто стоя, а в максимальном наклоне вперед и назад. Это показывает, как ведут себя позвонки в движении. Смещение, которое было незаметно в статике (на МРТ или КТ), может явно проявиться при сгибании-разгибании.

Почему это так важно?

Бывает, что спондилолистез, четко видимый на МРТ, оказывается стабильным на функциональных снимках — то есть позвонки не «ездят» друг относительно друга при движении. И наоборот, вроде бы небольшая проблема на МРТ может маскировать серьезную нестабильность.

Именно сочетание жалоб пациента и данных функциональной рентгенографии часто становится решающим аргументом в пользу операции, например, для установки системы стабилизации (металлофиксации).

Автор: нейрохирург Елисеев Александр Сергеевич.