Добавить в корзинуПозвонить
Найти в Дзене
Ильинская больница

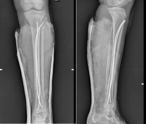
🏥 Как восстанавливают кости голени у детей без длительного ношения громоздкого гипса

🏥 Как восстанавливают кости голени у детей без длительного ношения громоздкого гипса Переломы костей голени - частая травма у детей. Применение современных малотравматичных методов остеосинтеза позволяет детям восстановиться гораздо быстрее и комфортнее, чем раньше. Что такое остеосинтез титановыми эластичными стержнями? Остеосинтез – это операция по фиксации перелома. Фиксация титановыми эластичными стержнями - это современный метод лечения, при котором через небольшие хирургические доступы внутрь кости вводят тонкие гибкие стержни из титана. Благодаря конструкции и правильной технике имплантации они удерживают отломки в правильном положении, пока кость срастается. В чем плюсы такого метода? 🔹малотравматичная операция (для установки TENов достаточно двух небольших хирургических доступов по несколько сантиметров); 🔹надёжная фиксация; 🔹нет необходимости в длительной гипсовой фиксации; 🔹ребёнок раньше начинает ходить и восстанавливаться; 🔹как только спадает отёк после операции

🏥 Как восстанавливают кости голени у детей без длительного ношения громоздкого гипса

Переломы костей голени - частая травма у детей. Применение современных малотравматичных методов остеосинтеза позволяет детям восстановиться гораздо быстрее и комфортнее, чем раньше.

Что такое остеосинтез титановыми эластичными стержнями?

Остеосинтез – это операция по фиксации перелома.

Фиксация титановыми эластичными стержнями - это современный метод лечения, при котором через небольшие хирургические доступы внутрь кости вводят тонкие гибкие стержни из титана. Благодаря конструкции и правильной технике имплантации они удерживают отломки в правильном положении, пока кость срастается.

В чем плюсы такого метода?

🔹малотравматичная операция (для установки TENов достаточно двух небольших хирургических доступов по несколько сантиметров);

🔹надёжная фиксация;

🔹нет необходимости в длительной гипсовой фиксации;

🔹ребёнок раньше начинает ходить и восстанавливаться;

🔹как только спадает отёк после операции – гипсовая повязка снимается и ребенок начинает наступать на ногу.

А как же гипс?

Фиксация в гипсе — тоже вариант, особенно при неосложнённых переломах.

Но у этого метода есть минусы:

🔹возможен риск смещения костных отломков;

🔹требуется длительная иммобилизация;

🔹восстановление обычно проходит тяжелее.

Благодаря титановой фиксации дети быстрее возвращаются к активной жизни.

🔗Травматолог-ортопед Геннадий Сергеевич Галкин

#Травматология