Добавить в корзинуПозвонить
Найти в Дзене
Ильинская больница

Уретральная хирургия в Ильинской больнице: случай лечения стриктуры уретры

Хирургия мочеиспускательного канала у мужчин, или уретральная хирургия, с самого открытия Ильинской больницы была одним из ведущих направлений деятельности урологического отделения. Этот раздел хирургии и урологии является основной специализацией главного врача больницы, д-ра Живова Алексея Викторовича, который является известным в России и за рубежом экспертом по данной проблеме. Сегодня мы расскажем всего об одном из недавних случаев оперативного лечения стриктуры уретры, или рубцового сужения мочеиспускательного канала, которое может развиваться после травм таза и промежности, воспалительных заболеваний (от инфекций, передаваемых половым путем, до склероатрофического лихена или рубцового изменения кожи и уретры аутоиммунного характера), хирургических операций на предстательной железе или по поводу врожденных аномалий мочеиспускательного канала, таких как гипоспадия (врожденное аномальное расположение наружного отверстия мочеиспускательного канала). К нам обратился мужчина 52 лет с ж

Хирургия мочеиспускательного канала у мужчин, или уретральная хирургия, с самого открытия Ильинской больницы была одним из ведущих направлений деятельности урологического отделения. Этот раздел хирургии и урологии является основной специализацией главного врача больницы, д-ра Живова Алексея Викторовича, который является известным в России и за рубежом экспертом по данной проблеме.

Сегодня мы расскажем всего об одном из недавних случаев оперативного лечения стриктуры уретры, или рубцового сужения мочеиспускательного канала, которое может развиваться после травм таза и промежности, воспалительных заболеваний (от инфекций, передаваемых половым путем, до склероатрофического лихена или рубцового изменения кожи и уретры аутоиммунного характера), хирургических операций на предстательной железе или по поводу врожденных аномалий мочеиспускательного канала, таких как гипоспадия (врожденное аномальное расположение наружного отверстия мочеиспускательного канала).

К нам обратился мужчина 52 лет с жалобами на значительное ослабление струи мочи; максимальная скорость мочеиспускания составляла у него 6,5 мл/сек, что на практике означает 50% шанс острой задержки или полного прекращения мочеиспускания в течение ближайших 1-2 месяцев. Вот как выглядел график мочеиспускания пациента, или урофлоуметрия, на котором мы видим типичную для стриктуры уретры так называемую плоскую кривую.

Рис. 1. График мочеиспускания пациента до операции.
Рис. 1. График мочеиспускания пациента до операции.

Когда мы регистрируем подобный график, проведя очень простое исследование – урофлоуметрию, мы для выяснения локализации и протяженности стриктуры уретры и определения степени сужения мочеиспускательного канала выполняем рентгеновское исследование – уретрографию. Вот так выглядела картинка уретрографии до операции (рисунок 2).

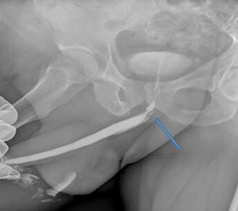
Рис. 2. Уретрография пациента до операции. Стриктура уретры показана стрелкой.
Рис. 2. Уретрография пациента до операции. Стриктура уретры показана стрелкой.

Это исследование представляет собой рентгеновский снимок мочеиспускательного канала, в который вводят жидкий рентгеновский контраст. Мы видим значительное рубцовое сужение мочеиспускательного канала, которое, судя по рассказу пациента, было связано с перенесенной несколько лет назад мочеполовой инфекцией. Пациента несколько раз лечили от мнимого «простатита», а диагноз стриктуры уретры был установлен нами впервые. Какого-либо дополнительного обследования пациенту не требовалось, ему сразу было предложено оперативное лечение (реконструктивная хирургическая операция) в объеме анастомотической пластики уретры.

Суть предложенной операции состоит в удалении пораженного сегмента или рубцовых тканей мочеиспускательного канала и соединении между собой здоровых концов уретры. Такая операция в наших руках занимает не более 2 часов. При благоприятном течении ближайшего послеоперационного периода пациент на следующие сутки после операции выписывается домой с установленным уретральным катетером. Находясь дома, пациент принимает антибиотик и периодически посещает врача (не более 1  –  2 раз за 10 – 14 дней после операции), что необходимо для полного заживления зоны операции, или уретрального анастомоза. В нашем случае на 12 сутки после операции пациенту была выполнена контрольная уретрография.

Рис. 3. Уретрография пациента на 12 сутки после операции.
Рис. 3. Уретрография пациента на 12 сутки после операции.

Исследование показало отсутствие подтекания контраста и какой-либо деформации мочеиспускательного канала в зоне бывшей стриктуры. На снимке даже не видно следов большой реконструктивной операции; единственное, что напоминает о ней, – это металлические скобки, использованные для ушивания кожной раны, которые хорошо видны в проекции промежности. Сразу после удаления уретрального катетера и заполнения мочевого пузыря пациент свободно помочился. Ниже представлен график урофлоуметрии.

Рис. 4. График скорости мочеиспускания (урофлоуметрии) на 12 сутки после операции.
Рис. 4. График скорости мочеиспускания (урофлоуметрии) на 12 сутки после операции.

На представленном выше графике мы видим буквально выдающийся показатель максимальной скорости мочеиспускания в 44,3 мл/сек, что втрое превосходит показатель нижней границы нормы и более чем в 7 раз показатель скорости мочеиспускания до операции. Было выпущено около 400 мл мочи, что говорит об адекватной накопительной функции мочевого пузыря; остаточной мочи после мочеиспускания в мочевом пузыре не было, что подтверждает адекватную его эвакуаторную функцию.

Теперь пациенту предстоят контрольные обследования через 3, 6 и 12 месяцев после операции. Через 1 месяц после операции пациент вернется к обычным физическим нагрузкам и возобновит половую жизнь.

Что же позволило свершиться этому успеху? Здесь и точная диагностика, и правильно выбранный метод оперативного лечения, и опыт хирурга и его ассистентов, и безупречная чистота в операционной и отсутствие госпитальной инфекции, и правильно организованная послеоперационная реабилитация. Всем этим аспектам помощи нашим пациентам в Ильинской больнице уделяется большое внимание с использованием всех необходимых сил и средств. Достигнутый эффект оперативного лечения позволяет надеяться на пожизненно хороший его результат. Мы же остаемся всегда рядом с пациентом, который всегда может рассчитывать на нашу помощь.

Автор: уролог, онкоуролог Живов Алексей Викторович.