Добавить в корзинуПозвонить
Найти в Дзене
Parodoctor

Под "швейцарской залепухой" нашли кариес - когда клиновидные дефекты приходится пломбировать

"Как раз завтра еду в вашу клинику лечить именно клиновидные дефекты, которые мне в другом месте даже не запломбировали, а "залепили" каким-то "швейцарским суперским" материалом, который используется без обработки зуба. 10 месяцев это всё продержалось без проблем, но ваш доктор считает что это надо убирать и ставить другие пломбы. Вот теперь после прочтения статьи '"терзают смутные сомнения'"..." Комментарий прилетел в чат ТГ после публикации мною статьи о вреде пломбирования клиновидных дефектов. Я своим докторам точно доверяю, поэтому решила дождаться следующего дня и напрямую поинтересоваться у терапевта - а что это было? Мне нужны были пароли, явки - фотографии. Заинтересовала "швейцарская методика" не по детски! На следующий день задаю вопрос опытнейшей своей мастерице пломбировочного цеха: - Ну, было чего интересного утром? - Да, было. Отголоски статьи вчерашней быстро проявились. Приходила пациентка, у которой под "нанопломбами" был кариес, увы. Там невооружённым глазом всё в
Оглавление

"Как раз завтра еду в вашу клинику лечить именно клиновидные дефекты, которые мне в другом месте даже не запломбировали, а "залепили" каким-то "швейцарским суперским" материалом, который используется без обработки зуба. 10 месяцев это всё продержалось без проблем, но ваш доктор считает что это надо убирать и ставить другие пломбы. Вот теперь после прочтения статьи '"терзают смутные сомнения'"..."

Комментарий прилетел в чат ТГ после публикации мною статьи о вреде пломбирования клиновидных дефектов. Я своим докторам точно доверяю, поэтому решила дождаться следующего дня и напрямую поинтересоваться у терапевта - а что это было? Мне нужны были пароли, явки - фотографии.

Заинтересовала "швейцарская методика" не по детски!

Швейцарская залепушка и что под ней скрывалось

На следующий день задаю вопрос опытнейшей своей мастерице пломбировочного цеха:

- Ну, было чего интересного утром?

- Да, было. Отголоски статьи вчерашней быстро проявились. Приходила пациентка, у которой под "нанопломбами" был кариес, увы. Там невооружённым глазом всё видно, это безобразие оставлять нельзя...

- А что за "швейцарские пломбы" такие, поняли Вы?

- Нет, не поняла. Обычные пломбы с нарушением прилегания и кариес.

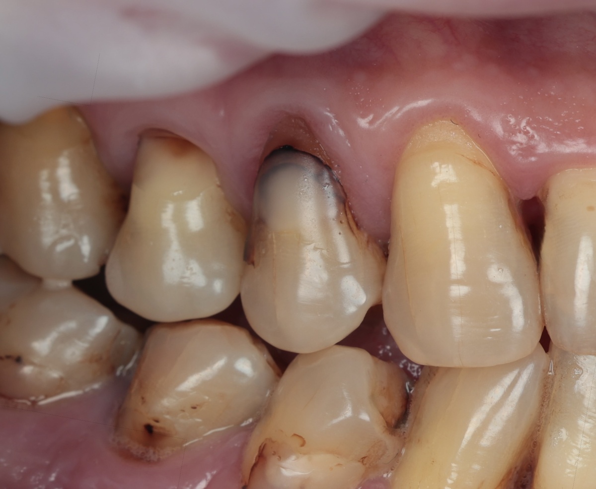
И показала мне фото:

Несостоятельная пломба на зубе 1.4, а под ней кариес
Несостоятельная пломба на зубе 1.4, а под ней кариес
Вспышка воспоминаний пронзила мой любопытный мозг - оказывается, во времена работы в поликлинике я таких технологий насмотрелась вволю. Так это не халтура "на отвали" была, а прогрессивная европейская методика... Однако.

Убрали "швейцарский суперматериал":

-3

Ну, не знаю насчёт отсутствия препарирования ранее, но кариес завёлся. Повезло, что до пульпы не добрался... Хотя был весьма близок.

-4

Материал, который обещал "запечатать без сверления", создал идеальные условия для развития кариеса. Негерметичная крышка над дефектом, а под ней - влажная среда, остатки пищи, бактерии.

10 месяцев всё продержалось и простояло бы дольше, пока пульпа не приказала бы долго жить. И тут никакая фея не смогла бы спасти пациента от лечения периодонтита или, что совсем плохо, от удаления зуба.

Но тут зуб остался жив, здоров и красив. Лечение было с коффердамом, поэтому десна чуть повреждена и отодвинута кверху - заживёт быстро и опустится на зуб.

Слышали про закон парных случаев? Очень часто срабатывает. Вот и другой мой терапевт поделился своим клиническим опытом пломбирования того, что когда-то было некариозным дефектом - чуть ли не день в день ситации приключились. Но там всё менее позитивно, хоть зуб и спасли - только каналы пришлось избавлять от пульпы, дефект дошел до корня.

Хочу заметить, что оба клинических случая из этой статьи касаются верхних четвёрок - премоляров. Не случайно.

Почему именно четвёрки часто страдают от клиновидных дефектов

Верхние клыки и первые премоляры (четвёрки, пятёрки) - любимое место локализации клиновидных дефектов.

И вот почему:

  • Анатомия челюсти - эти зубы находятся на "повороте" зубной дуги, где она изгибается от передних зубов к жевательным. Именно здесь концентрируются максимальные изгибающие напряжения при жевании.
  • Биомеханика прикуса - при смыкании челюстей клыки и премоляры первыми принимают боковые нагрузки. Если прикус неправильный, эти зубы получают травмирующие силы под углом.
  • Тонкая эмаль в пришеечной области - у клыков и премоляров эмаль в области шейки особенно тонкая. Это самое слабое место, которое первым не выдерживает перегрузки.
  • Работа жевательных мышц - при напряжении мышц (стресс, бруксизм) максимальное давление приходится именно на область клыков и премоляров.

Вот почему в обоих наших случаях пострадали все эти зубы, хоть и спасали от кариеса 4. Если посмотреть на фото выше, можно заметить, что поражения в пришеечных областях клыков и 5 зубов имеются тоже. Только им повезло не столкнуться с "швейцарской пломбой".

Пломбировать обязательно - кариес не оставишь под наблюдением

Пациентка была права в своих сомнениях - клиновидные дефекты, действительно, лучше не трогать без показаний (и отправляться к ортодонту при обнаружении подобного сюрприза). Но здесь показание было железное - кариес.

Кариозный процесс не остановишь наблюдением. Не "залепишь" чудо-материалом. Нужно удалить поражённые ткани, обработать полость, поставить адекватную пломбу герметично, без зазоров, адгезивно.

Второй случай - сильное разрушение, периодонтит

Другой пациент, другая история, другой доктор. Но суть та же и зуб точно такой же, 4 справа сверху - кариес в области клиновидного дефекта:

Кариес в области клиновидного дефекта
Кариес в области клиновидного дефекта

Только здесь процесс зашёл куда дальше. Поражение достигло пульпы, нерв погиб (пациент жаловался на боли, но думал, что боит другой зуб). На снимке виден канал в корне, чёрная бороздка вертикальная - зуб был на грани удаления.

Но мой замечательный терапевт зуб спас (вообще каждый раз в восторге нахожусь от осознания того, что к моим врачам можно повернуться спиной и не ждать проблем, они безопасны, они профи). Удалили кариес, канал "торчит наружу":

Пролечили каналы.

-8

Восстановили утерянные стенки зуба коронковую часть. Сложно, долго, ювелирная работа, десну пришлось травмировать. Но результат того стоил.

-9

Десна заживёт, так всегда бывает. Был выполнен билдап с СВШ (Макролок), зуб нуждаетсяв коронке.

-10

Пятёрка тоже выглядит довольно паршивенько... Но я не интересовалась её судьбой у доктора.

Как клиновидный дефект превращается в кариес

Сам по себе клиновидный дефект - это не кариес. Это механическое разрушение эмали от перегрузки. Там нет бактерий, нет инфекции, просто скололась эмаль.

Но кариес в области клиновидного дефекта может развиться двумя путями.

Первый путь - под пломбой или "залепушкой"

Когда на клиновидный дефект ставят пломбу, край пломбы становится слабым местом. Материал даёт усадку при затвердевании, образуется микрощель между пломбой и зубом. В эту щель забиваются остатки пищи, там поселяются бактерии.

Препарирование бором делает ткани зуба более уязвимыми. Здоровая эмаль обработана, защитный слой нарушен. Если пломба отвалится или даст краевую щель - кариес начнётся именно там.

"Залепушки" без обработки создают ложное чувство безопасности. Под негерметичной крышкой создаётся влажная среда, идеальная для размножения бактерий. Снаружи всё выглядит хорошо, а внутри идёт разрушение.

Второй путь - кислоты и налёта

Кариес может развиться и в непломбированном клиновидном дефекте, но не всегда это закономерно, я не скау, что это частое являение. Механизм таков - в глубокой выемке скапливается налёт, если гигиена недостаточная. Бактерии в налёте вырабатывают кислоту, она разрушает дентин - начинается деминерализация, потом присоединяется кариозный процесс.

Что способствует развитию кариеса в непломбированном дефекте:

Плохая гигиена - щётка не достаёт до глубины выемки. Скученность зубов - между ними застревает пища. Сухость во рту - слюна не омывает эту зону. Кислая диета - газировки, цитрусовые, вино усиливают деминерализацию.

Важный момент - в непломбированном дефекте кариес, обычно, развивается медленнее, чем под краем пломбы! Потому что там нет замкнутого пространства между пломбой и зубом, где бактерии размножаются в идеальных условиях.

Получается, что пытались защитить зуб от чувствительности пломбой, но создали условия для быстрого развития кариеса. Или не следили за гигиеной в области дефекта - получили кариес "от налёта".

Когда клиновидные дефекты нужно пломбировать

Есть ситуации, когда пломбирование как-то может быть оправдано.

  • острая чувствительность, которая мешает есть и пить. Когда невозможно прикоснуться к зубу холодным или горячим без острой боли. Можно попробовать использовать профессиональные фротсодержащие средства (знаю те, что мгновенный эффект дают) и дать время зубы естественную защиту выработать. Но не все терпеть способны;
  • очень большой дефект с риском перелома зуба. Когда клиновидная выемка настолько глубокая, что зуб может треснуть при нагрузке;
  • эстетическая зона - передние зубы, где дефект сильно заметен при улыбке. Но имейте в виду, что можете усугубить ситуацию и потерять зубы;
  • кариес в области дефекта - как в наших случаях. Здесь выбора нет, нужно лечить в 100% случаев из 100.
Но даже в этих ситуациях сначала нужно устранить причину перегрузки! Исправить прикус, пролечить бруксизм, нормализовать работу жевательных мышц.

Альтернативы пломбированию

В большинстве случаев клиновидные дефекты можно не пломбировать, а контролировать, наблюдать в динамике.

Но вот варианты решения проблемы:

  • реминерализирующая терапия укрепляет эмаль, делает её более устойчивой к разрушению;
  • десенситайзеры снижают чувствительность, закрывая дентинные канальцы;
  • фторирование усиливает защитные свойства эмали от кариеса (в 10 раз выше шансы не заполучить кариес);
  • исправление прикуса устраняет причину образования дефектов - самый правильный вариант.
Эти методы не дают мгновенного эффекта, как пломба. Но они безопаснее и работают на перспективу.

Вывод

Первый случай показал - дне всё то "инновация", что хотят "продать" под этим соусом. Пломбировочные материалы без обработки зуба могут навредить! Под "швейцарской залепушкой" развился кариес, который пришлось лечить обычной пломбой.

Второй случай доказал - кариес в области клиновидного дефекта может зайти очень далеко, вплоть до гибели нерва. Но даже такой зуб можно спасти при правильном подходе, когда пациент обратился не слишком поздно. Но тут уже без коронки не обойтись.

Общий вывод простой - клиновидные дефекты без кариеса лучше не трогать вовсе! Чистить зубы очень качественно и мягкими многощетинковыми щётками, монопучками. Отправляться к ортодонту, пока дефекты не стали настолько глубокими, что их невозможно хорошо очистить. Но если началось кариозное поражение - лечить нужно обязательно, и лечить правильно.

Наблюдайте за зубами с клиновидными дефектами, если не хотите отправляться к ортодонту. Регулярные осмотры, профессиональная гигиена, контроль состояния. При первых признаках кариеса - к врачу.

Только не спешите пломбировать просто потому, что "есть дырка" и так надо. Дырка от перегрузки и дырка от кариеса - это разные вещи, требующие разного подхода.

Статья, побудившая пациентку оставить комментарий:

Ответы на комментарии, клинические случаи (даже противопоказанные для Дзен), живое обсуждение и решениенасущных вопросов - в моём ТГ канале:

Parodoctor

С уважением, Лежачёва Наталия Александровна, хирург-пародонтолог и главный врач стоматологии Parodent, СПб.