Добавить в корзинуПозвонить
Найти в Дзене

Бруксизм: что это такое и как с ним справиться

Очень часто в последнее время приходят пациенты и жалуются на бруксизм. Их направляют другие врачи к стоматологам-ортодонтам с надеждой избавиться от этой проблемы. Давайте разберёмся подробнее: что это за состояние, какие виды бывают и можно ли его лечить. Бруксизм — это непроизвольное сжатие зубов.
Выделяют несколько его видов: Его не так просто обнаружить. Чаще всего близкие замечают скрип зубов во сне. Особенно часто это встречается у детей — и у них такое состояние считается скорее вариантом нормы, чем патологией. У взрослых и подростков основной причиной ночного бруксизма считают нарушения фаз сна. Важно помнить: не всегда ночное сжатие зубов сопровождается скрипом. Иногда звуков нет, но сила давления при этом очень велика. Признаки ночного бруксизма: Главная его причина — психоэмоциональное напряжение. Проверьте себя: когда Вы за рулём, работаете за компьютером или сосредоточенно слушаете кого-то — не замечаете ли, что зубы постоянно сжаты, а жевательные мышцы напряжены? Отличие
Оглавление

Очень часто в последнее время приходят пациенты и жалуются на бруксизм. Их направляют другие врачи к стоматологам-ортодонтам с надеждой избавиться от этой проблемы. Давайте разберёмся подробнее: что это за состояние, какие виды бывают и можно ли его лечить.

Что такое бруксизм

Бруксизм — это непроизвольное сжатие зубов.
Выделяют несколько его видов:

  • Ночной бруксизм
  • Дневной бруксизм
  • Бруксизм, связанный с неврологическими заболеваниями

Ночной бруксизм

Его не так просто обнаружить. Чаще всего близкие замечают скрип зубов во сне. Особенно часто это встречается у детей — и у них такое состояние считается скорее вариантом нормы, чем патологией.

У взрослых и подростков основной причиной ночного бруксизма считают нарушения фаз сна. Важно помнить: не всегда ночное сжатие зубов сопровождается скрипом. Иногда звуков нет, но сила давления при этом очень велика.

Признаки ночного бруксизма:

  • истирание зубов;
  • ощущение тугости при открывании рта по утрам, усталость в жевательных мышцах.
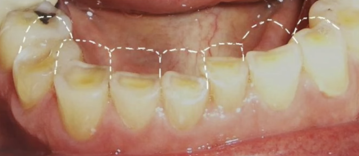
Истирание зубов
Истирание зубов

Дневной бруксизм

Главная его причина — психоэмоциональное напряжение.

-3

Проверьте себя: когда Вы за рулём, работаете за компьютером или сосредоточенно слушаете кого-то — не замечаете ли, что зубы постоянно сжаты, а жевательные мышцы напряжены?

-4

Отличие дневного бруксизма в том, что человек может его контролировать. В отличие от ночного, который происходит бессознательно.

Бруксизм при неврологических заболеваниях

Есть и отдельная категория — бруксизм на фоне неврологических нарушений. Например, при болезни Гентингтона. В этом случае человек непроизвольно сжимает зубы из-за сильного спазма жевательной мускулатуры. Это наиболее сложный вариант бруксизма.

-5

Чем опасен бруксизм

Бруксизм приводит к патологической стираемости зубов. Да, зубы стираются у всех — это физиологично. Но при бруксизме нагрузка на них возрастает многократно: сила сжатия может доходить до 800 кг вместо привычных 80–120 кг.

Истертые зубы
Истертые зубы

Из-за этого зубы быстро разрушаются, появляются боли в жевательных мышцах, усиливается усталость.

Лечение бруксизма: мифы и реальность

Очень важно понимать:

  • Ортодонтическое лечение не избавляет от бруксизма. Прикус не является его причиной!
  • Протезирование тоже не решает проблему.

Все дело в нервной системе, сне и психоэмоциональном состоянии человека.

Что действительно помогает

  • Сомнолог. При ночном бруксизме стоит обратиться к специалисту по сну. Помогают корректировка гигиены сна и медикаменты.
  • Ботокс. Инъекции в жевательные мышцы снижают их активность и уменьшают проявления бруксизма.
-7
  • Медикаменты. В сложных случаях назначают антидепрессанты, миорелаксанты, транквилизаторы.
  • Капы. Они не лечат бруксизм, но защищают зубы от истирания. Наиболее эффективны — жёсткие индивидуальные.
Капа
Капа
  • Когнитивно-поведенческая терапия. Особенно при дневном бруксизме. Существуют мобильные приложения, которые напоминают: «Расслабь зубы». Постепенно это становится привычкой.
  • Упражнения. Например: сделать вдох и медленный выдох через слегка разомкнутые зубы. Это помогает расслабить мышцы.
  • Психологическая помощь. В тяжёлых случаях важна работа с психологами, неврологами, а иногда и психиатрами.

Итоги

Бруксизм — это состояние, которое встречается у очень многих людей, в разное время и с разной интенсивностью. Бояться его не нужно, но контролировать стоит.

  • Дневной бруксизм можно отследить и корректировать.
  • Ночной требует помощи сомнолога и защитных мер.
  • В любом случае, капа помогает сохранить зубы.

Помните: стоматолог может защитить Ваши зубы, но сам бруксизм лечится в первую очередь работой со сном, эмоциями и нервной системой.

Если у Вас есть вопросы - переходите и подписывайтесь в наш телеграм-канал. В нём мы публикуем много важной врачебной информации на все темы стоматологии!