Добавить в корзинуПозвонить
Найти в Дзене

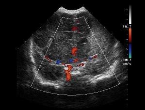
УЗИ с доплером – это база.

‼️Когда вы делаете УЗИ — требуйте ДОПЛЕР. Это не роскошь. Это необходимость. Я раньше наивно думала, что это делают всегда. Ну как иначе? Это же УЗИ, полноценное обследование. Но реальность другая: не все врачи включают доплер. Даже когда это жизненно важно. А теперь внимание: если вы проходите обследование с онкологической настороженностью — доплер должен быть обязательно. ✅ Опухоли любят кровоснабжение. Они «тянут» к себе сосуды. ✅ Доплер показывает, как течёт кровь в новообразовании. И если сосуды хаотичные, усиленные, атипичные — это сигнал. Иногда — очень тревожный. ✅ Можно отличить доброкачественное от злокачественного. Киста? Нет кровотока. Опухоль? Есть, и какой! ✅ Видно, есть ли метастазы — по изменённым лимфоузлам. ✅ Можно отслеживать динамику — работает ли лечение. 🚫 Без доплера — это просто картинка. 🚫 Без доплера можно пропустить рак. Да, так и есть. Что иногда пациент должен спрашивать сам: «А вы доплер включаете? Это с доплером?» А должен ли он вообще это контролирова
Оглавление

‼️Когда вы делаете УЗИ — требуйте ДОПЛЕР. Это не роскошь. Это необходимость.

Я раньше наивно думала, что это делают всегда. Ну как иначе? Это же УЗИ, полноценное обследование.

Но реальность другая: не все врачи включают доплер. Даже когда это жизненно важно.

При онко обследовании УЗИ с доплером – необходимость
При онко обследовании УЗИ с доплером – необходимость

А теперь внимание: если вы проходите обследование с онкологической настороженностью — доплер должен быть обязательно.

Вот почему:

✅ Опухоли любят кровоснабжение. Они «тянут» к себе сосуды.

✅ Доплер показывает, как течёт кровь в новообразовании. И если сосуды хаотичные, усиленные, атипичные — это сигнал. Иногда — очень тревожный.

✅ Можно отличить доброкачественное от злокачественного. Киста? Нет кровотока. Опухоль? Есть, и какой!

✅ Видно, есть ли метастазы — по изменённым лимфоузлам.

✅ Можно отслеживать динамику — работает ли лечение.

🚫 Без доплера — это просто картинка.

🚫 Без доплера можно пропустить рак. Да, так и есть.

И знаете, что расстраивает?

Что иногда пациент должен спрашивать сам: «А вы доплер включаете? Это с доплером?»

А должен ли он вообще это контролировать? Нет. Но пока система не идеальна — вы должны быть в курсе.

Пусть на вашем УЗИ будет всё по максимуму. Вы не обязаны разбираться в настройках аппарата, но вы имеете право на качественную диагностику.

И теперь вы знаете, что именно стоит спросить.

А что обязательно надо знать врачу о Вас и чтобы ваш прием прошел максимально эффективно я рассказала собрала в ДНЕВНИК ПАЦИЕНТА.

С заботой о Вашем здоровье, Доктор Лена.