Добавить в корзинуПозвонить
Найти в Дзене

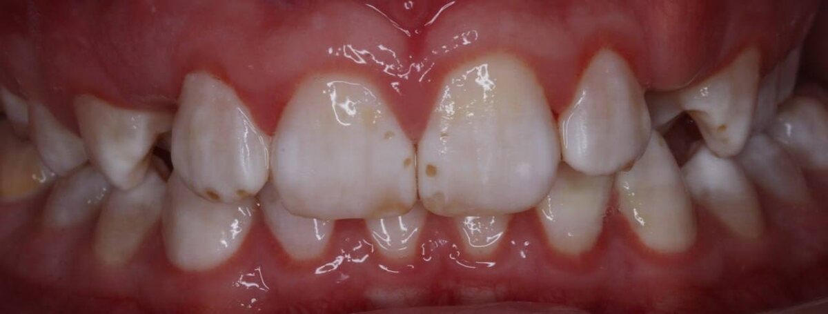
Щадящий подход при флюорозе у детей. Кейс из практики

Поделюсь одним кейсом из практики работы с флюорозом. На прием пришли пациенты с жалобой на эстетические дефекты на зубах у мальчика. Он не улыбался, и родители были уверены, что нужно сразу делать реставрацию. Я предложила другой путь. Учитывая стадию, степень и форму флюороза — лёгкая форма, которую можно купировать — уговорила попробовать щадящий метод: микроабразия + ICON. ✅ Сделали всё в тот же день, прямо на первичной консультации. Результат понравился: мальчик и родители ушли довольными. Договорились про осмотр, но они, конечно, больше не пришли — потому что кариеса и других проблем у ребёнка не было, и основную проблему решили сразу. 💡Отмечу важный момент - при флюорозе редко бывают масштабные кариозные поражения. Чаще это именно деминерализация, которая со временем приводит к сколам и дефектам тканей. Коллеги, вопрос - вы в своей практике при работе с флюорозом чаще идёте сразу в реставрацию или пробуете ICON/микроабразию?

Поделюсь одним кейсом из практики работы с флюорозом.

На прием пришли пациенты с жалобой на эстетические дефекты на зубах у мальчика.

Он не улыбался, и родители были уверены, что нужно сразу делать реставрацию.

Я предложила другой путь. Учитывая стадию, степень и форму флюороза — лёгкая форма, которую можно купировать — уговорила попробовать щадящий метод: микроабразия + ICON.

Сделали всё в тот же день, прямо на первичной консультации.

Результат понравился: мальчик и родители ушли довольными. Договорились про осмотр, но они, конечно, больше не пришли — потому что кариеса и других проблем у ребёнка не было, и основную проблему решили сразу.

💡Отмечу важный момент - при флюорозе редко бывают масштабные кариозные поражения. Чаще это именно деминерализация, которая со временем приводит к сколам и дефектам тканей.

Коллеги, вопрос - вы в своей практике при работе с флюорозом чаще идёте сразу в реставрацию или пробуете ICON/микроабразию?