Найти в Дзене

Пять ошибок родителей, из-за которых страдают зубы ребёнка

Оглавление

Здоровье детских зубов — это не только красивая улыбка, но и залог общего здоровья ребёнка. Однако даже самые заботливые родители иногда допускают ошибки, которые могут привести к развитию кариеса и другим проблемам. Рассказываем о самых распространённых — и что с ними делать.

❌ Ошибка №1: «Молочные зубы всё равно выпадут — зачем их лечить?»

Это одно из самых опасных заблуждений. Молочные зубы играют ключевую роль:

  • помогают правильно развиваться челюстям,
  • участвуют в формировании речи,
  • удерживают место для будущих постоянных зубов.

Если молочный зуб поражён кариесом и его вовремя не вылечить — воспаление может перекинуться на зачаток постоянного зуба. Ухаживать за полостью рта нужно с появления самого первого зуба — сначала это может быть силиконовый напальчник, позже — мягкая детская щётка и специальную пасту с подходящим количеством фторидов.

❌ Ошибка №2: «Чрезмерное употребление сладостей и напитков с сахаром»

Сладости и сладкие напитки — главные враги детских зубов. Это не просто «вредно», они питание для бактерий, которые разрушают эмаль.

Особенно опасны:

  • конфеты-леденцы, которые долго держат во рту,
  • сладкие напитки, особенно в бутылочках или поильниках на ночь,
  • перекусы типа батончиков и соков без последующей чистки.

!!!Родителям важно ограничивать количество быстрых углеводов в рационе и приучать ребёнка полоскать рот водой после еды.

Контролируйте у ребенка:

  • количество потребляемого сахара в рационе,
  • предлагайте воду вместо сладких напитков,
  • после сладкого — прививайте привычку полоскать водой, а еще лучше приучать чистить зубы.
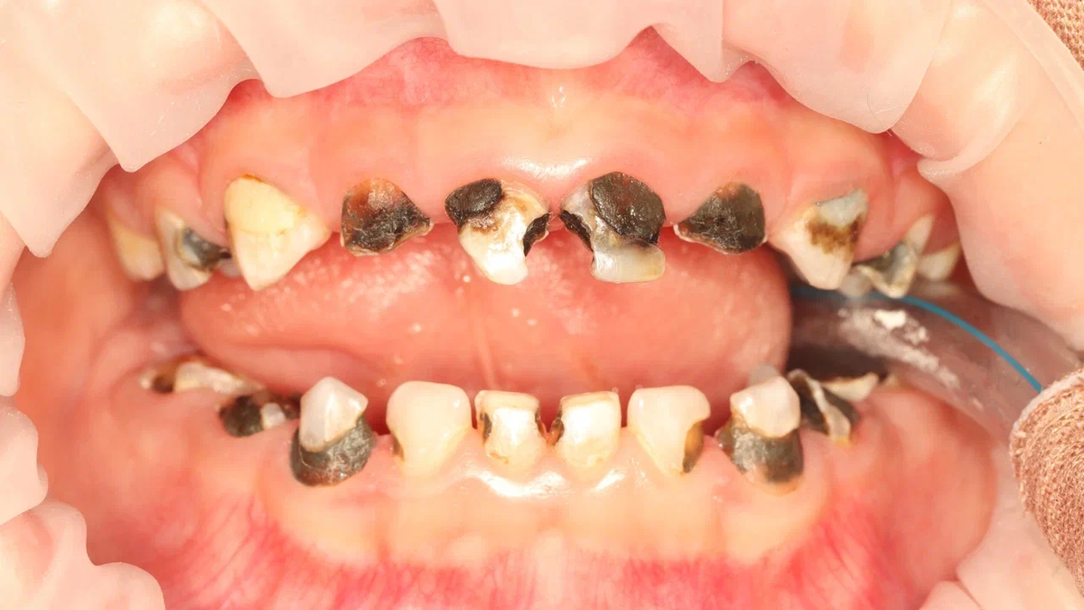
-2

Пример маленького пациента у Карасевой Анастасии Андреевны. Случай крайнего запущенного кариеса. Поверхности зубов поражены практически полностью, большая часть коронок разрушена, присутствуют чёрные зоны — результат активной деятельности кариозных бактерий

❌ Ошибка №3: «Пока ничего не болит — идти к стоматологу незачем»

К сожалению, кариес на ранней стадии не болит и не виден, особенно родителям. Когда появляется боль — часто уже нужно лечить канал или удалять зуб.

!!! Именно поэтому профилактические осмотры у стоматолога нужны 2 раза в год, даже если у ребёнка всё "вроде бы хорошо" и ничего не болит.

❌ Ошибка №4: «Вроде чистит зубы сам — значит всё хорошо»

Маленькие дети не могут качественно чистить зубы самостоятельно до 7–8 лет. А иногда — и позже. Они пропускают задние зубы, жуют щётку, не дотягиваются до дальних участков, чистят меньше 30 секунд и считают, что “это правильно”, потому что никто их не контролирует и не учит правильной чистке.

✅ Совет родителям: обязательно периодически контролируйте чистку:

  • чистите зубы вместе с ребёнком,
  • проверяйте результат,
  • используйте таймер или песенку, чтобы приучить к чистке длительностью не менее 2-х минут
  • применяйте специальные обучающие щётки и пасты.

!!!Детям старше 5–6 лет можно давать щётки с таймером или использовать визуальные раскраски налёта — они покажут, что было пропущено.

Мальчик 2 года. Мама обратилась с жалобами на эстетические дефекты на поверхности зуба. Отказывался чистить зубы.

❌ Ошибка №5: «Игнорирование важности здорового питания»

Здоровье зубов напрямую связано с рационом ребёнка. И речь не только об углеводах. Эмаль зуба формируется и обновляется изнутри и питание один из главных факторов, которые на это влияют.

Для крепких зубов нужны:

  • кальций (молочные продукты, брокколи),
  • витамин D (яйца, рыба, солнце),
  • фосфор (творог, мясо),
  • клетчатка (овощи, фрукты — и заодно помогает очищать зубы механически).

!!! Не уделяя должного внимания сбалансированному питанию, родители повышают риск развития кариеса у ребенка. Частые перекусы, особенно углеводистые (печенье, булки, снеки), создают постоянную кислотную среду, где бактерии чувствуют себя как дома. Важно включать в рацион свежие овощи, фрукты, молочные продукты.

✅ Как избежать всех проблем с зубами?

  • Начинать уход за зубами с первого зубика
  • Ограничивать употребление сахара у ребенка и перекусов, сформировать привычку правильно питаться
  • Обучить ребенка правильной техники чистки — и родительский контроль
  • Регулярно посещать детского стоматолога с первого года жизни
-4

Заключение

Здоровье детских зубов во многом зависит от правильных привычек, которые родители формируют с раннего возраста. Избегая этих пяти ошибок, вы значительно снизите риск развития кариеса и создадите прочную основу для красивой и здоровой улыбки вашего ребёнка. Если у вас возникли вопросы или нужен совет специалиста, записывайтесь на консультацию в нашу клинику — мы всегда рады помочь!

Карасева Анастасия Олеговна - детский стоматолог, заведующая детским отделением: чем раньше мы начнём заботиться о молочных зубах, тем меньше проблем будет с постоянными. Профилактика в детстве — это лучшая инвестиция в здоровую улыбку на всю жизнь.

“32 Белых” - стоматология, где вас ждет понятный предсказуемый результат, уверенность в завтрашнем дне и врачи, которых полюбите вы и ваши детки.

Запишитесь на консультацию по ссылке: 32белых.рф