Найти Π² Π”Π·Π΅Π½Π΅
Ильинская Π±ΠΎΠ»ΡŒΠ½ΠΈΡ†Π°

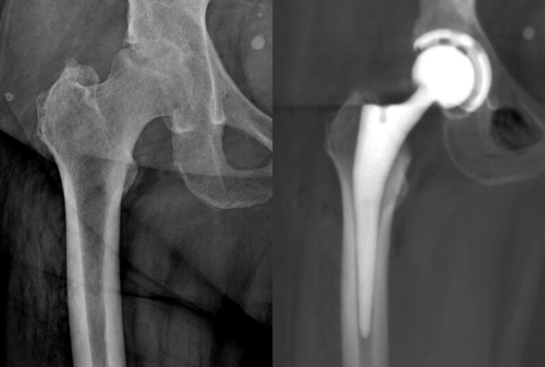
πŸ₯ ΠœΠΎΡ€Π±ΠΈΠ΄Π½ΠΎΠ΅ ΠΎΠΆΠΈΡ€Π΅Π½ΠΈΠ΅ Π½Π΅ ΠΏΠΎΠ²ΠΎΠ΄ для ΠΎΡ‚ΠΊΠ°Π·Π° Π² эндопротСзировании Ρ‚Π°Π·ΠΎΠ±Π΅Π΄Ρ€Π΅Π½Π½ΠΎΠ³ΠΎ сустава

πŸ₯ ΠœΠΎΡ€Π±ΠΈΠ΄Π½ΠΎΠ΅ ΠΎΠΆΠΈΡ€Π΅Π½ΠΈΠ΅ Π½Π΅ ΠΏΠΎΠ²ΠΎΠ΄ для ΠΎΡ‚ΠΊΠ°Π·Π° Π² эндопротСзировании Ρ‚Π°Π·ΠΎΠ±Π΅Π΄Ρ€Π΅Π½Π½ΠΎΠ³ΠΎ сустава На ΠΊΠΎΠ½ΡΡƒΠ»ΡŒΡ‚Π°Ρ†ΠΈΡŽ ΠΎΠ±Ρ€Π°Ρ‚ΠΈΠ»Π°ΡΡŒ ΠΏΠ°Ρ†ΠΈΠ΅Π½Ρ‚ΠΊΠ° с Π²Ρ‹Ρ€Π°ΠΆΠ΅Π½Π½Ρ‹ΠΌΠΈ болями Π² области Ρ‚Π°Π·ΠΎΠ±Π΅Π΄Ρ€Π΅Π½Π½ΠΎΠ³ΠΎ сустава, Π²Ρ‹Π·Π²Π°Π½Π½Ρ‹ΠΌΠΈ Π½Π΅ΠΊΡ€ΠΎΠ·ΠΎΠΌ Π³ΠΎΠ»ΠΎΠ²ΠΊΠΈ Π±Π΅Π΄Ρ€Π΅Π½Π½ΠΎΠΉ кости. Π‘ΠΎΠ»ΠΈ Π²ΠΏΠ΅Ρ€Π²Ρ‹Π΅ появились послС лСчСния коронавирусной ΠΈΠ½Ρ„Π΅ΠΊΡ†ΠΈΠΈ большими Π΄ΠΎΠ·Π°ΠΌΠΈ стСроидных ΠΏΡ€Π΅ΠΏΠ°Ρ€Π°Ρ‚ΠΎΠ², ΠΈ со Π²Ρ€Π΅ΠΌΠ΅Π½Π΅ΠΌ эти Π±ΠΎΠ»ΠΈ лишили Π΅Ρ‘ возмоТности Π±Ρ‹Ρ‚ΡŒ Π°ΠΊΡ‚ΠΈΠ²Π½ΠΎΠΉ ΠΈ Π΄Π°ΠΆΠ΅ ΡΠ°ΠΌΠΎΡΡ‚ΠΎΡΡ‚Π΅Π»ΡŒΠ½ΠΎ Ρ…ΠΎΠ΄ΠΈΡ‚ΡŒ. На ΠΊΠΎΠ½ΡΡƒΠ»ΡŒΡ‚Π°Ρ†ΠΈΡŽ ΠΎΠ½Π° ΠΊ Π½Π°ΠΌ ΠΏΡ€ΠΈΠ±Ρ‹Π»Π° Π½Π° сидячСй коляскС. Помимо ΠΏΡ€ΠΎΠ±Π»Π΅ΠΌ с Ρ‚Π°Π·ΠΎΠ±Π΅Π΄Ρ€Π΅Π½Π½Ρ‹ΠΌ суставом, ΠΏΠ°Ρ†ΠΈΠ΅Π½Ρ‚ΠΊΠ° страдала ΠΌΠΎΡ€Π±ΠΈΠ΄Π½Ρ‹ΠΌ ΠΎΠΆΠΈΡ€Π΅Π½ΠΈΠ΅ΠΌ Ρ‚Ρ€Π΅Ρ‚ΡŒΠ΅ΠΉ стСпСни (ИМВ – 43), Ρ‡Ρ‚ΠΎ фактичСски создавало Π·Π°ΠΌΠΊΠ½ΡƒΡ‚Ρ‹ΠΉ ΠΊΡ€ΡƒΠ³ ΠΈΠ· Π³ΠΈΠΏΠΎΠ΄ΠΈΠ½Π°ΠΌΠΈΠΈ ΠΈ ΠΈΠ·Π±Ρ‹Ρ‚ΠΎΡ‡Π½ΠΎΠΉ массы Ρ‚Π΅Π»Π°. Π’ Π±ΠΎΠ»ΡŒΡˆΠΈΠ½ΡΡ‚Π²Π΅ ΠΊΠ»ΠΈΠ½ΠΈΠΊ Ρ‚Π°ΠΊΠΈΠΌ ΠΏΠ°Ρ†ΠΈΠ΅Π½Ρ‚Π°ΠΌ ΠΎΠ±Ρ‹Ρ‡Π½ΠΎ ΠΎΡ‚ΠΊΠ°Π·Ρ‹Π²Π°ΡŽΡ‚ Π² ΠΎΠΏΠ΅Ρ€Π°Ρ†ΠΈΠΈ, ΠΏΠΎΡΠΊΠΎΠ»ΡŒΠΊΡƒ риск возникновСния ослоТнСний слишком высок. Π’ Ильинской Π±ΠΎΠ»ΡŒΠ½ΠΈΡ†Π΅ благодаря Π²Ρ€Π°Ρ‡Π°ΠΌ ΠΎΠ±Ρ‰Π΅ΠΉ ΠΏΡ€Π°ΠΊΡ‚ΠΈΠΊΠΈ, анСстСзиологам ΠΈ Π³Ρ€Π°ΠΌΠΎΡ‚Π½ΠΎ составлСнному ΠΈΠΌΠΈ ΠΈΠ½Π΄ΠΈΠ²ΠΈΠ΄ΡƒΠ°Π»ΡŒΠ½ΠΎΠΌΡƒ ΠΏΠ»Π°Π½Ρƒ ΠΏΡ€Π΅Π΄ΠΎΠΏΠ΅Ρ€Π°Ρ†ΠΈΠΎΠ½Π½ΠΎΠ³ΠΎ обслСдования ΠΌΡ‹ смогли ΠΏΠΎΠ΄Π³ΠΎΡ‚ΠΎΠ²ΠΈΡ‚ΡŒ ΠΏΠ°Ρ†ΠΈΠ΅Π½Ρ‚ΠΊΡƒ ΠΊ Ρ…ΠΈΡ€ΡƒΡ€Π³ΠΈΠΈ, ΠΈ Π² Π½Π°Π·Π½Π°Ρ‡Π΅Π½Π½Ρ‹ΠΉ дСнь осущ

πŸ₯ ΠœΠΎΡ€Π±ΠΈΠ΄Π½ΠΎΠ΅ ΠΎΠΆΠΈΡ€Π΅Π½ΠΈΠ΅ Π½Π΅ ΠΏΠΎΠ²ΠΎΠ΄ для ΠΎΡ‚ΠΊΠ°Π·Π° Π² эндопротСзировании Ρ‚Π°Π·ΠΎΠ±Π΅Π΄Ρ€Π΅Π½Π½ΠΎΠ³ΠΎ сустава

На ΠΊΠΎΠ½ΡΡƒΠ»ΡŒΡ‚Π°Ρ†ΠΈΡŽ ΠΎΠ±Ρ€Π°Ρ‚ΠΈΠ»Π°ΡΡŒ ΠΏΠ°Ρ†ΠΈΠ΅Π½Ρ‚ΠΊΠ° с Π²Ρ‹Ρ€Π°ΠΆΠ΅Π½Π½Ρ‹ΠΌΠΈ болями Π² области Ρ‚Π°Π·ΠΎΠ±Π΅Π΄Ρ€Π΅Π½Π½ΠΎΠ³ΠΎ сустава, Π²Ρ‹Π·Π²Π°Π½Π½Ρ‹ΠΌΠΈ Π½Π΅ΠΊΡ€ΠΎΠ·ΠΎΠΌ Π³ΠΎΠ»ΠΎΠ²ΠΊΠΈ Π±Π΅Π΄Ρ€Π΅Π½Π½ΠΎΠΉ кости. Π‘ΠΎΠ»ΠΈ Π²ΠΏΠ΅Ρ€Π²Ρ‹Π΅ появились послС лСчСния коронавирусной ΠΈΠ½Ρ„Π΅ΠΊΡ†ΠΈΠΈ большими Π΄ΠΎΠ·Π°ΠΌΠΈ стСроидных ΠΏΡ€Π΅ΠΏΠ°Ρ€Π°Ρ‚ΠΎΠ², ΠΈ со Π²Ρ€Π΅ΠΌΠ΅Π½Π΅ΠΌ эти Π±ΠΎΠ»ΠΈ лишили Π΅Ρ‘ возмоТности Π±Ρ‹Ρ‚ΡŒ Π°ΠΊΡ‚ΠΈΠ²Π½ΠΎΠΉ ΠΈ Π΄Π°ΠΆΠ΅ ΡΠ°ΠΌΠΎΡΡ‚ΠΎΡΡ‚Π΅Π»ΡŒΠ½ΠΎ Ρ…ΠΎΠ΄ΠΈΡ‚ΡŒ. На ΠΊΠΎΠ½ΡΡƒΠ»ΡŒΡ‚Π°Ρ†ΠΈΡŽ ΠΎΠ½Π° ΠΊ Π½Π°ΠΌ ΠΏΡ€ΠΈΠ±Ρ‹Π»Π° Π½Π° сидячСй коляскС.

Помимо ΠΏΡ€ΠΎΠ±Π»Π΅ΠΌ с Ρ‚Π°Π·ΠΎΠ±Π΅Π΄Ρ€Π΅Π½Π½Ρ‹ΠΌ суставом, ΠΏΠ°Ρ†ΠΈΠ΅Π½Ρ‚ΠΊΠ° страдала ΠΌΠΎΡ€Π±ΠΈΠ΄Π½Ρ‹ΠΌ ΠΎΠΆΠΈΡ€Π΅Π½ΠΈΠ΅ΠΌ Ρ‚Ρ€Π΅Ρ‚ΡŒΠ΅ΠΉ стСпСни (ИМВ – 43), Ρ‡Ρ‚ΠΎ фактичСски создавало Π·Π°ΠΌΠΊΠ½ΡƒΡ‚Ρ‹ΠΉ ΠΊΡ€ΡƒΠ³ ΠΈΠ· Π³ΠΈΠΏΠΎΠ΄ΠΈΠ½Π°ΠΌΠΈΠΈ ΠΈ ΠΈΠ·Π±Ρ‹Ρ‚ΠΎΡ‡Π½ΠΎΠΉ массы Ρ‚Π΅Π»Π°.

Π’ Π±ΠΎΠ»ΡŒΡˆΠΈΠ½ΡΡ‚Π²Π΅ ΠΊΠ»ΠΈΠ½ΠΈΠΊ Ρ‚Π°ΠΊΠΈΠΌ ΠΏΠ°Ρ†ΠΈΠ΅Π½Ρ‚Π°ΠΌ ΠΎΠ±Ρ‹Ρ‡Π½ΠΎ ΠΎΡ‚ΠΊΠ°Π·Ρ‹Π²Π°ΡŽΡ‚ Π² ΠΎΠΏΠ΅Ρ€Π°Ρ†ΠΈΠΈ, ΠΏΠΎΡΠΊΠΎΠ»ΡŒΠΊΡƒ риск возникновСния ослоТнСний слишком высок.

Π’ Ильинской Π±ΠΎΠ»ΡŒΠ½ΠΈΡ†Π΅ благодаря Π²Ρ€Π°Ρ‡Π°ΠΌ ΠΎΠ±Ρ‰Π΅ΠΉ ΠΏΡ€Π°ΠΊΡ‚ΠΈΠΊΠΈ, анСстСзиологам ΠΈ Π³Ρ€Π°ΠΌΠΎΡ‚Π½ΠΎ составлСнному ΠΈΠΌΠΈ ΠΈΠ½Π΄ΠΈΠ²ΠΈΠ΄ΡƒΠ°Π»ΡŒΠ½ΠΎΠΌΡƒ ΠΏΠ»Π°Π½Ρƒ ΠΏΡ€Π΅Π΄ΠΎΠΏΠ΅Ρ€Π°Ρ†ΠΈΠΎΠ½Π½ΠΎΠ³ΠΎ обслСдования ΠΌΡ‹ смогли ΠΏΠΎΠ΄Π³ΠΎΡ‚ΠΎΠ²ΠΈΡ‚ΡŒ ΠΏΠ°Ρ†ΠΈΠ΅Π½Ρ‚ΠΊΡƒ ΠΊ Ρ…ΠΈΡ€ΡƒΡ€Π³ΠΈΠΈ, ΠΈ Π² Π½Π°Π·Π½Π°Ρ‡Π΅Π½Π½Ρ‹ΠΉ дСнь ΠΎΡΡƒΡ‰Π΅ΡΡ‚Π²ΠΈΡ‚ΡŒ Π·Π°Π΄ΡƒΠΌΠ°Π½Π½ΠΎΠ΅. ΠŸΡ€ΠΈΠΌΠ΅Π½ΠΈΠ² соврСмСнный ΠΌΠΈΠ½ΠΈ-ΠΈΠ½Π²Π°Π·ΠΈΠ²Π½Ρ‹ΠΉ способ Ρ…ΠΈΡ€ΡƒΡ€Π³ΠΈΠΈ, ΠΌΡ‹ смогли Π²Π΅Ρ€Π½ΡƒΡ‚ΡŒ Π΅ΠΉ Π²ΠΎΠ·ΠΌΠΎΠΆΠ½ΠΎΡΡ‚ΡŒ Ρ…ΠΎΠ΄ΠΈΡ‚ΡŒ. Π£ΠΆΠ΅ Π² ΠΏΠ΅Ρ€Π²Ρ‹Π΅ сутки послС ΠΎΠΏΠ΅Ρ€Π°Ρ†ΠΈΠΈ ΠΎΠ½Π° вновь смогла Π²ΡΡ‚Π°Ρ‚ΡŒ ΠΈ Π΄Π΅Π»Π°Ρ‚ΡŒ ΠΏΠ΅Ρ€Π²Ρ‹Π΅ шаги ΡƒΠΆΠ΅ Π±Π΅Π· Π±ΠΎΠ»ΠΈ, ΠΈ Ρ‡Π΅Ρ€Π΅Π· нСсколько Π΄Π½Π΅ΠΉ ΠΎΠ½Π° Π±Π»Π°Π³ΠΎΠΏΠΎΠ»ΡƒΡ‡Π½ΠΎ Π±Ρ‹Π»Π° выписана Π΄ΠΎΠΌΠΎΠΉ.

Π₯ΠΈΡ€ΡƒΡ€Π³ΠΈ: Π‘.Π‘.Никитин, Π“.Π‘.Π“Π°Π»ΠΊΠΈΠ½.

πŸ”—ΠŸΠΎΠ΄Ρ€ΠΎΠ±Π½Π΅Π΅ ΠΎΠ± эндопротСзировании Ρ‚Π°Π·ΠΎΠ±Π΅Π΄Ρ€Π΅Π½Π½Ρ‹Ρ… суставов Π² Ильинской Π±ΠΎΠ»ΡŒΠ½ΠΈΡ†Π΅

#ΠžΡ€Ρ‚ΠΎΠΏΠ΅Π΄ΠΈΡ