Найти в Дзене

Открытое овальное окно стало причиной инсульта у мужчины 40 лет

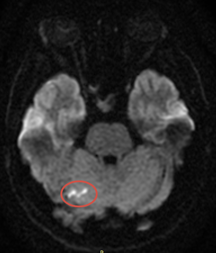
В отделение экстренной помощи поступил пациент 40 лет. Накануне он выполнял физическую нагрузку, после чего прилёг на кровать. При попытке встать с кровати внезапно возникли звон в ушах, головокружение, боль в области шеи, тошнота, рвота и расфокусировка зрения. Со временем жалобы постепенно регрессировали. При проведении магнитно-резонансной томографии головного мозга выявлены множественные очаги острого ишемического инфаркта в вертебро-базилярном бассейне с обеих сторон. Одной из частых причин развития такой патологии является наличие открытого овального окна (ООО) — анатомического сообщения между правым и левым предсердиями, которое в норме должно самостоятельно закрываться после рождения. При наличии ООО возможен парадоксальный эмболизм: тромбы из венозной системы через малый круг кровообращения попадают в артериальный (большой) круг. У пациента при проведении эхокардиографии было выявлено открытое овальное окно. В связи с этим рекомендовано дополнительное обследование для исключен

В отделение экстренной помощи поступил пациент 40 лет. Накануне он выполнял физическую нагрузку, после чего прилёг на кровать. При попытке встать с кровати внезапно возникли звон в ушах, головокружение, боль в области шеи, тошнота, рвота и расфокусировка зрения. Со временем жалобы постепенно регрессировали.

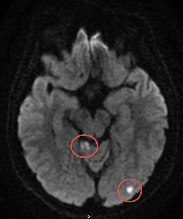
При проведении магнитно-резонансной томографии головного мозга выявлены множественные очаги острого ишемического инфаркта в вертебро-базилярном бассейне с обеих сторон.

Одной из частых причин развития такой патологии является наличие открытого овального окна (ООО) — анатомического сообщения между правым и левым предсердиями, которое в норме должно самостоятельно закрываться после рождения. При наличии ООО возможен парадоксальный эмболизм: тромбы из венозной системы через малый круг кровообращения попадают в артериальный (большой) круг.

У пациента при проведении эхокардиографии было выявлено открытое овальное окно. В связи с этим рекомендовано дополнительное обследование для исключения генетической предрасположенности к тромбообразованию, а также рассмотрение возможности хирургического закрытия дефекта (эндоваскулярная окклюзия).

-2

Автор: анестезиолог-реаниматолог Эзугбая Бека Сосоевич.