Найти в Дзене
Два Дантиста

Раскрываем секрет красивой улыбки

Привлекательная улыбка — это здоровые, ухоженные зубы и десна, а также уверенность в себе. Всё это создает естественную, яркую и красивую улыбку, которая привлекает внимание окружающих.

-2

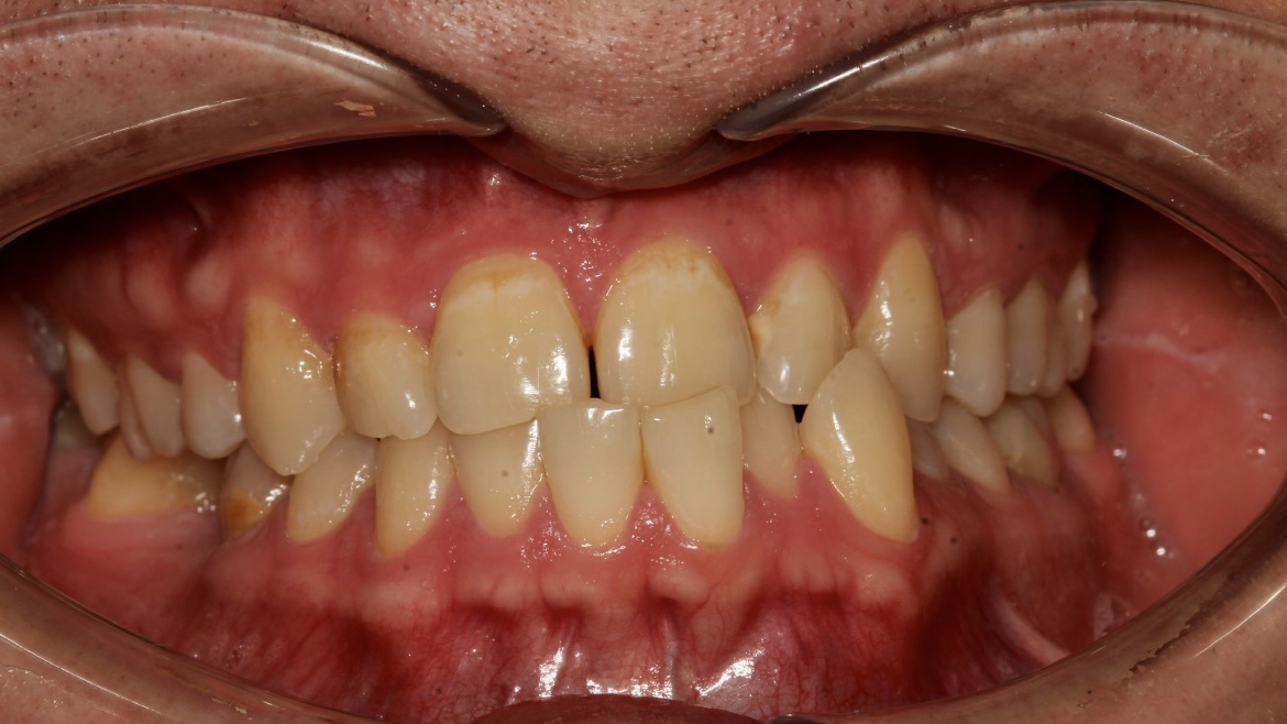
Пациент обратился в клинику «Два Дантиста» для восстановления эстетики зубов. Результат лечения его клинического случая — это совместная работа врача и пациента.

Работа врачей

-3

Джексенбаева Зарина Касымкановна, стоматолог-ортодонт, провела пациенту ортодонтическое лечение на элайнерах с использованием одного минивинта. Лечение длилось 2,5 года. По итогу получилось исправить прикус, скученность зубов, нормализовать контакты между верхней и нижней челюсти.

Также пациенту установили имплантат в месте отсутствующего зуба, на который Лукьяненко Артур Викторович, стоматолог-ортопед, зафиксировал керамическую коронку, восстановив целостность зубного ряда.

Кожокарь Карина Васильевна, стоматолог-терапевт, реставратор, с помощью композитного материала сделала реставрацию стертых единиц. Она нарастила края зубов, тем самым вернула единицам красивую и органичную форму.

-4

Дисциплина пациента

Самоконтроль и соблюдение рекомендаций пациентом играет важную роль в успешности и эффективности лечения.

  1. Регулярное выполнение назначенных процедур, гигиенических мероприятий и прием лекарств способствует быстрому и качественному выздоровлению.
  2. Своевременное выполнение рекомендаций помогает избежать развития осложнений, таких как воспаления, рецидивы или прогрессирование заболевания.
  3. Дисциплинированный подход обеспечивает достижение желаемых результатов в кратчайшие сроки и с минимальными рисками.
  4. Соблюдение всех указаний снижает необходимость повторных визитов, дополнительных процедур и затрат.
  5. Дисциплина в уходе за полостью рта или другим органом способствует укреплению организма в целом.
  6. Развитие ответственности за собственное здоровье мотивирует пациента к более внимательному отношению к себе и своему лечению.

Наш пациент проявил терпение и ответственное отношение на всех этапах восстановления: вовремя записывался на приемы, правильно носил элайнеры, выполнял все назначения врачей.

Врач и пациент вместе работают над достижением оптимальных результатов, а ответственность и соблюдение рекомендаций значительно повышают шансы на выздоровление.

Записаться в клинику «Два Дантиста» можно через сайт или по тел. 8 (812) 223-43-29