Найти в Дзене
Parodoctor

Пятна, эрозии, бороздки, точки на зубах - проявления системной гипоплазии эмали

Если вы заметили на своих зубах что-то, чего раньше не было - это плохой знак. Ну или вы человек невнимательный. Но часто бывает, что через всю жизнь индивид проносит зубную особенностью, название которой он знать не знает. Природа бывает весьма несправедлива к своим детям и может "награждить" их бякой, на которую никак человек повлиять не мог. И заслужить плохими делами тоже не успел бы. Беда (или особенность, в зависимости от тяжести случая) поражает ни в чём неповинное существо ещё на этапе формирования зубных зачатков. И не спихнёшь тут проблему на нечищенные зубы... Начать хочу именно с гипоплазии, потому что тема интересная, далеко не всем понятная, да и свежий клинический случай перед глазами стоит ярко. Гипоплазия эмали может случиться как на временных зубах, так и на постоянных. Что-то должно было произойти в период, когда зубы не прорезались. И это что-то повлияло на функцию клеток, формирующих эмаль. Энамелобласты - клетки эпителиального происхождения, которые отвечают т
Оглавление

Если вы заметили на своих зубах что-то, чего раньше не было - это плохой знак. Ну или вы человек невнимательный. Но часто бывает, что через всю жизнь индивид проносит зубную особенностью, название которой он знать не знает.

Природа бывает весьма несправедлива к своим детям и может "награждить" их бякой, на которую никак человек повлиять не мог. И заслужить плохими делами тоже не успел бы.

Беда (или особенность, в зависимости от тяжести случая) поражает ни в чём неповинное существо ещё на этапе формирования зубных зачатков. И не спихнёшь тут проблему на нечищенные зубы...

Некариозные поражения эмали - системная гипоплазия

Начать хочу именно с гипоплазии, потому что тема интересная, далеко не всем понятная, да и свежий клинический случай перед глазами стоит ярко.

Гипоплазия эмали
Гипоплазия эмали

Гипоплазия эмали может случиться как на временных зубах, так и на постоянных. Что-то должно было произойти в период, когда зубы не прорезались. И это что-то повлияло на функцию клеток, формирующих эмаль.

Энамелобласты - клетки эпителиального происхождения, которые отвечают только за формирование эмали и к моменту, когда зуб прорезывается, атрофируются.

Факторы, влияющие на эмаль до рождения (пренатальные):

  • приём матерью некоторых лекарственных средств длительное время;
  • заболевания и патологии, дефициты, случившиеся с матерью во время вынашивания плода;
  • плохое питание;
  • радиационное излучение.

Факторы, воздействующие на эмаль в ранний послеродовой период (неонатальные):

  • неонатальная гипокальциемия, токсические повреждения, неврологические заболевания, гипербилирубинемия, длительная диарея и рвота, неонатальные инфекции с высокой температурой;
  • недоношенность, дефицит массы;
  • асфиксия в родах, травмы.

Послеродовые факторы (постнатальные) - самые многочисленные:

  • эндокринные заболевания (проблемы щитовидной и паращитовидной желёз);
  • токсическая диспепсия;
  • лучевая терапия челюстей в период раннего возраста;
  • врожденные пороки сердца;
  • врожденная аллергия и сопутствующее ей нарушение водно-минерального обмена;
  • фенилкетонурия, алкаптонурия;
  • заболевания органов пищеварения;
  • острые инфекции, сопровождающиеся лихорадкой;
  • токсическая диспепсия;
  • нарушение обмена кальция и фосфора;
  • гиповитаминоз A, С, D, E, алиментарная дистрофия;
  • гемолитическая желтуха;
  • заболевания почек;
  • отравление ртутью;
  • длительный прием медикаментов.

Смотря какой силы и продолжительности будет поражающий фактор, смотря на каком этапе формирования зуба он случится - гипоплазия эмали будет более или менее ярко выражена. Ведь разнообразных проявлений у неё не мало.

Так же по расположению дефектов можно узнать период, в котором произошло внешнее воздействие на клетки, формирующие эмаль (энамелобласты) - будет поражена та или иная группа зубов. Или все зубы.

  • Внутриутробный период - поражены временные зубы.
  • С 6 месяцев после рождения до года - дефекты постоянных зубов на режущих краях резцов, на клыках, на буграх первых моляров, на вторых (боковых) резцах нижней челюсти.
  • После 1 года - дефекты на боковых резцах верхней челюсти.
  • 3 - 4 годы жизни - поражены все отделы коронковой части зубов, жевательные поверхности премоляров и вторых моляров.

Чем ШИРЕ дефект - тем дольше длился негатив. Чем ГЛУБЖЕ - тем мощнее была сила поражающего фактора. Чем БОЛЬШЕ очагов поражения - тем чаще случались негативные эпизоды.

Признаки системной гипоплазии

  • Зубы при прорезывании УЖЕ имеют дефекты.
  • Дефекты эти +/- правильной формы, с ровными краями.
  • Вовлекаются зубы одного периода формирования, дефекты довольно симметрично располагаютсяна эмали этих зубов.
  • Чаще всего поражения находятся на щёчной поверхности (и губной). Ну и на жевательных тоже.

Как выявить гипоплазию

Нужно посмотреть своими глазами на зубы - дефекты явно визуализируются, цвет эмали неоднороден (пятна), могут быть углубления. Болезненности нет, реакция на температурные раздражители может быть, но она кратковременная и не супер-острая.

Пятна НЕ ОКРАШИВАЮТСЯ от красителей - метиленовый синий, жидкость для определения налёта.

Формы сиситемной гипоплазии

Пятнистая форма гипоплазии

Пятнистая форма системной гипоплазии
Пятнистая форма системной гипоплазии

Молочно-белые пятна, реже желтоватые. Эмаль имеет только эстетический дефект (особенность), ткани не поражены. Поверхность гладкая, блестящая. Время идёт - пятна размер не меняют.

Не окрашиваются красителями, на рентгене себя не проявляют никак.

Эрозивная форма гипоплазии

Эрозивная форма системной гипоплазии (VOKA)
Эрозивная форма системной гипоплазии (VOKA)

Опять же, эстетика страдает. Может быть реакция на температурные и химические раздражители.

На эмали можно разглядеть углубления, которые располагаются в горизонтальной плоскости, не соединяются между собой. Эмаль в этих участках истончена, может быть окрашена пишевыми красителями. Зондирование боли не причиняет.

Из открытых источников сети интернет
Из открытых источников сети интернет

Может завестись кариес в этих самых ямках.

Бороздчатая форма системной гипоплазии

Бороздчатая форма системной гипоплазии. Из открытых источников сети интернет
Бороздчатая форма системной гипоплазии. Из открытых источников сети интернет

Жало бы всё те же - не очень симпатично, иногда больно.

Дефекты в виде борозд, расположенных горизонтально. Кариес тоже случаться может.

VOKA
VOKA

Волнистая форма системной гипоплазии

Думаю, теперь будет достаточно картинок для понимания. Текст один и тот же.

Волнистая форма системной гипоплазии (VOKA)
Волнистая форма системной гипоплазии (VOKA)

Чашеобразная форма системной гипоплазии

Чашеобразная форма гипоплазии эмали (VOKA)
Чашеобразная форма гипоплазии эмали (VOKA)

Смешанная форма системной гипоплазии

Смешанная форма гипоплазии (VOKA)
Смешанная форма гипоплазии (VOKA)

Аплазия эмали

Тяжёлая степень гипоплазии, когда эмаль отсутствует на некоторых участках зубной коронки полностью.

Аплазия эмали (VOKA)
Аплазия эмали (VOKA)

Лечение гипоплазии эмали

Не всякая гипоплазия требует лечения (пятнистая форма).

Иногда в ход идёт реминерализация, микроабразия, отбеливание. Это для лёгкого проявления проблем.

При серьёзных же патологиях применяют композитные пломбировочные материалы, восстановление зубов винирами, коронками, вкладками. Всегда стоит помнить про кариес, который охотно "заводится" в слабых местах, где эмаль имеет дефект не визуальный.

Надеюсь, кому-то статья поможет понять, что происходит с их эмалью.

А вот так выглядят зубы с пятнистой формой гипоплазии эмали через 1.5 года ношения брекетов - фото сделано с поляризационным фильтром:

Пятнистая форма гипоплазии эмали, поляризационный фильтр
Пятнистая форма гипоплазии эмали, поляризационный фильтр

Как видим, никаких ухудшений не случилось.

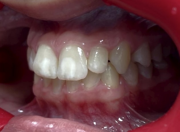
Гипоплазия эмали до исправления прикуса на брекет-системе
Гипоплазия эмали до исправления прикуса на брекет-системе

Мои статьи по ортопедии:

Ортопедия и материалы | Parodoctor | Дзен

Ответы на вопросы, интересные случаи из практики, связь со мной и докторами клиники - в моем тг канале:

Parodoctor

С уважением, Лежачёва Наталия Александровна, хирург-пародонтолог и главный врач стоматологии Parodent, СПб.