Гемангиома При УЗИ: Лимфангиома (лимфатическая мальформация) При УЗИ: Гамартома При УЗИ: Липома При УЗИ: При УЗИ: Метастатические опухоли селезенки При УЗИ: Автор - Иогансен Юрий Александрович, врач ультразвуковой диагностики, кандидат медицинских наук.
Гемангиома При УЗИ: Лимфангиома (лимфатическая мальформация) При УЗИ: Гамартома При УЗИ: Липома При УЗИ: При УЗИ: Метастатические опухоли селезенки При УЗИ: Автор - Иогансен Юрий Александрович, врач ультразвуковой диагностики, кандидат медицинских наук.
...Читать далее
- Опухоли селезенки встречаются редко.
- Частота первичных опухолей не превышает 0,003% в популяции.
- В структуре заболеваний селезенки неоплазии составляют 0,5-2%.
- Чаще встречаются доброкачественные опухоли - гемангиома, лимфангиома
и гамартома. - Из первичных злокачественных опухолей чаще встречаются лимфомы и саркомы (ангиосаркомы, лимфосаркомы, ретикулосаркомы и фибросаркомы).
- Вторичные (метастатические) злокачественные опухоли селезенки встречаются чаще первичных.
- Обычно дифференциация опухолей селезенки при УЗИ почти невозможна, за исключением некоторых форм гемангиомы.
Доброкачественные опухоли селезенки
Гемангиома
- Наиболее частая опухоль селезенки (0,3-14% аутопсий).
- Является васкулярной доброкачественной опухолью из кровеносных сосудов.
- Могут быть одиночными и множественными.
- По строению могут быть капиллярными, кавернозными и смешанными.
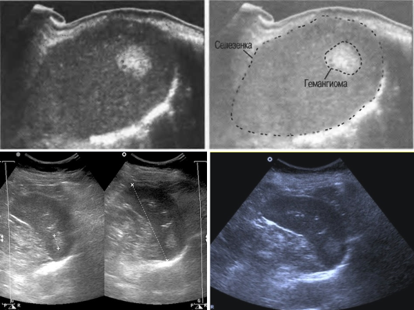
При УЗИ:
- При капиллярном типе - округлые гиперэхогенные образования с ровным четким четким контуром различных размеров (чаще не более 2 см).
- При кавернозном типе – в структуре определяются гипоэхогенные включения.
- При ЦДК определяется питающая артерия и дренирующая вена.
Лимфангиома (лимфатическая мальформация)
- Встречаются редко.
- Является васкулярной доброкачественной опухолью из лимфатических сосудов.
- Состоит из кистозных полостей с соединительной основой и эндотелиальной выстилкой.
- По строению могут быть капиллярными, кавернозными и кистозными.
При УЗИ:
- Многокамерные кистозные образования или одиночные округлые очаги повышенной эхогенности с ровными контурами с гипоэхогенными включениями.
Гамартома
- Гамартома (спленома или спленаденома) является опухолеподобным образованием из элементов красной пульпы и относится к дизэмбриоплазиям.
- Состоит из тех же тканевых компонентов, что и селезенка, но отличается аномальным строением и степенью дифференцировки тканей.
- Впервые описана в 1861 году К. Рокитанским термином «спленома», а термин «гамартома» предложил Е. Альбрехт в 1904 году.
- Частота – 0,13% аутопсий.
- Малигнизация гамартомы в гамартобластому происходит менее чем в 1% случаев.
При УЗИ:
- Округлые образования изоэхогенные или пониженной эхогенности
однородной структуры. - Редко наблюдается кистозная трансформация и кальцификация.
Липома
- Встречается крайне редко.
При УЗИ:
- Округлые гиперэхогенные образования обычно небольших размеров с ровными четкими контурами.
Злокачественные опухоли селезенки
- Встречаются редко.
- Выделяют первичные (реже) и вторичные (метастатические) опухоли.
- Из первичных злокачественных опухолей наиболее часто встречаются лимфомы (лимфома Ходжкина и неходжкинские лимфомы), а также саркомы (гематосаркомы, лимфосаркомы, ретикулосаркомы).
- Первичная лимфома встречается реже (до 30-40%), чем вторичная, и чаще представлена неходжкинским вариантом.
- Частота ангиосаркомы селезенки - 0,15-0,26 случая на 1 000 000 человек.
- Для злокачественных опухолей селезенки характерно лимфогенное метастазирование в регионарные лимфоузлы и отдаленное метастазирование в печень и другие органы.
- Чаще метастазируют в печень (70%), легкие, плевру, кости, головной мозг (30%).
- Из вторичных опухолей чаще встречаются метастазы меланомы, молочной железы, рака легкого, желудка, толстой кишки, печени.
- Нередким осложнением бывает спонтанный разрыв селезенки.
При УЗИ:
- Форма и размеры селезенки могут меняться за счет опухоли.
- Саркомы чаще визуализируются как образования неправильной округлой формы неоднородной структуры с неровными нечеткими контурами.
- Лимфомы чаще визуализируются в виде одиночных или множественных округлых образований различных размеров пониженной эхогенности с ровными нечеткими контурами.
- Очаговое поражение наблюдается в 50% случаев.
- Может быть спленомегалия без визуализируемых очаговых изменений.
- Может быть лимфаденопатия в области ворот селезенки.
Метастатические опухоли селезенки
- Встречаются редко.
- Частота метастатических поражений селезенки - 0,3-7,3%, 7% аутопсий при онкологических заболеваниях.
- Чаще встречаются метастазы меланомы (34-50%), рака молочной железы (12-21%), легкого (9-18%), яичника (8%), желудка (7%), предстательной железы (6%), толстой кишки, почек, печени.
- Чаще гематогенный путь метастазирования по селезеночной артерии.
- Может быть прямая инвазия в селезенку опухолей желудка, хвоста предстательной железы, ободочной кишки, левой почки и др.
- Также может быть лимфогенный путь метастазирования и ретроградный путь по селезеночной вене (при портальной гипертензии).
- Чаще множественные (60%), реже множественные (30-40%).
При УЗИ:
- Характерен полиморфизм.
- Одиночные или множественные образования неправильной округлой формы различной эхогенности и структуры с неровными нечеткими контурами разных размеров.
Автор - Иогансен Юрий Александрович, врач ультразвуковой диагностики, кандидат медицинских наук.