Найти в Дзене
В мире медицины

Необычные операции в медицине

Удаление половины мозга у ребенка, операция, продолжительностью в четыре дня или вмешательство на спинном мозге у плода беременной женщины ... Как вам такое? Недавно попалась на глаза информация о таких интересных случаях. Я решила подробнее ознакомиться с ними и поделиться с вами. 1. Итак, в 2008 году американский нейрохирург Бен Карсон (знаменит тем, что первым успешно разъединил сиамских близнецов, сросшихся затылками) вместе с коллегами провел операцию 6-летней девочке по поводу энцефалита Расмуссена и усовершенствовал данную методику. Это хроническое воспалительное заболевание коры головного мозга, характеризующееся его односторонней атрофией. Клинически энцефалит Расмуссена проявляется эпилептическими приступами, устойчивыми к терапии, односторонним гемипарезом (частичный паралич одной половины туловища), нарушением речи и выраженной когнитивной дисфункцией. Болезнь названа в честь американского нейрохирурга Теодора Расмуссена, описавшего её в 1958 году. Подробно на причинах
Оглавление
Удаление половины мозга у ребенка, операция, продолжительностью в четыре дня или вмешательство на спинном мозге у плода беременной женщины ... Как вам такое?

Недавно попалась на глаза информация о таких интересных случаях. Я решила подробнее ознакомиться с ними и поделиться с вами.

1. Гемисферэктомия при энцефалите Расмуссена

1. Итак, в 2008 году американский нейрохирург Бен Карсон (знаменит тем, что первым успешно разъединил сиамских близнецов, сросшихся затылками) вместе с коллегами провел операцию 6-летней девочке по поводу энцефалита Расмуссена и усовершенствовал данную методику.

Это хроническое воспалительное заболевание коры головного мозга, характеризующееся его односторонней атрофией.
Знаменитый нейрохирург Бен Карсон
Знаменитый нейрохирург Бен Карсон

Клинически энцефалит Расмуссена проявляется эпилептическими приступами, устойчивыми к терапии, односторонним гемипарезом (частичный паралич одной половины туловища), нарушением речи и выраженной когнитивной дисфункцией.

Болезнь названа в честь американского нейрохирурга Теодора Расмуссена, описавшего её в 1958 году.

Подробно на причинах останавливаться не буду (две версии: вирусы и наслоившийся аутоиммунный компонент). Дебютирует в возрасте до 15 лет. Постепенно прогрессирует и заканчивается крайне неблагоприятным исходом.

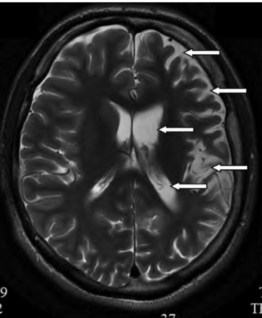
МРТ 7-летнего ребенка с данной формой энцефалита (пример из статьи Ващилина Т.С.): выражена асимметрия боковых желудочков, расширены субарахноидальные пространства
МРТ 7-летнего ребенка с данной формой энцефалита (пример из статьи Ващилина Т.С.): выражена асимметрия боковых желудочков, расширены субарахноидальные пространства

Динамика той же пациентки через 10 лет:

Динамика отрицательная, в виде нарастания асимметрии боковых желудочков и усиления атрофических изменений с одной стороны (слева)
Динамика отрицательная, в виде нарастания асимметрии боковых желудочков и усиления атрофических изменений с одной стороны (слева)

После удаления половины мозга клинически улучшается течение заболевания в виде уменьшения частоты и продолжительности эпи-припадков, а оставшаяся половина мозга частично берет на себя функцию утраченной половины.

В случае с той девочкой несмотря на сохранившийся гемипарез, ее имеющиеся на момент операции когнитивные функции и память не пострадали.

Как по мне, данный случай доказывает, насколько удивительным образом организм может компенсировать функции недостающей половины органа.

2. Киста яичника массой 139 кг и четырехдневная операция

С 4 по 8 февраля в 1951 году врачи из Чикаго четыря дня оперировали пациентку с гигантской кистой яичника. На момент операции вес женщины составлял 277 кг.

Это была самая продолжительная по времени операция в истории медицины, а длилась она 96 часов.

Хирурги действовали очень медленно во избежание резкого падения давления у женщины, учитывая ее сопутствующую патологию со стороны сердечно-сосудистой системы.

По факту это было обычное дренирование кисты (откачивание жидкости из нее в течение нескольких дней) с последующим удалением стенок самого образования. Когда размер последнего уже не представлял серьезной опасности, кисту удалили, а ее объем сравнили с "бушелем". Это английская система измерения объема (составляет она примерно 36 литров). После этого пациентке провели ещё и операцию по удалению лишней кожи, масса которой составила 22 кг.

В данном случае меня впечатлил не столько временной промежуток операции, а размер образования и сам факт того, что киста не разорвалась со всеми вытекающими последствиями. Очень необычно, на мой взгляд.

3. Закрытие дефекта нервной трубки у плода на сроке беременности 27 недель

18 февраля 2020 г. в ФГБУ «НИИ ОММ» Минздрава России команда уральско-сибирских врачей успешно провела первую в России фетоскопическую операцию по коррекции spina bifida у плода в утробе матери.

Первые три изображения - УЗИ, последнее - МРТ. Демонстрируют признаки аномалии Арнольда - Киари II типа (на МРТ неплохо видно опущение миндалин мозжечка ниже БЗО и признаки нарастающей гидроцефалии) и миеломенингоцеле (пунктиры на УЗИ-сканах и 3Д изображение) на уровне пояснично-крестцового отдела у плода. Пример со статьи Косовцова Н.В."Первый в России опыт внутриутробной эндоскопической коррекции менингомиелоцеле"
Первые три изображения - УЗИ, последнее - МРТ. Демонстрируют признаки аномалии Арнольда - Киари II типа (на МРТ неплохо видно опущение миндалин мозжечка ниже БЗО и признаки нарастающей гидроцефалии) и миеломенингоцеле (пунктиры на УЗИ-сканах и 3Д изображение) на уровне пояснично-крестцового отдела у плода. Пример со статьи Косовцова Н.В."Первый в России опыт внутриутробной эндоскопической коррекции менингомиелоцеле"

Продолжительность операции составила почти 5 часов, явления нарастающей гидроцефалии у плода купированы, а беременная доходила беременность почти до окончания срока. В итоге путем экстренного КС родилась девочка с баллами 7/8 по шкале Апгар.

Для того, чтобы клинически внедрить данную методику в практику, врачам потребовались годы тренировок. Сначала учились на беременных овцах, затем моделировали беременную матку с использованием нежизнеспособных плодов и согласия пациенток.

Изменённое изображение для оформления статьи
Изменённое изображение для оформления статьи

Путем долгих экспериментов хирургам удалось отработать методику по закрытию дефекта нервной трубки и начать применять ее на практике.

В итоге общепризнанным принятие операций у плодов при данных дефектах произошло лишь в 2011 г.

С тех пор, по разным данным, в РФ врачи прооперировали около сотни детей с данным пороком и избавили их от инвалидного кресла, дав шанс на полноценную жизнь наравне с другими детьми.

Отдельно хотела рассказать про историю становления фетальной хирургии. Наверное, многие из вас знают фото, где ручка плода держит палец оперировавшего его хирурга. Как раз операцию провели по поводу закрытия данного порока.

Это, пожалуй, одна из самых невероятных методик в медицине - оперировать крошечных детей весом менее килограмма в животе матери. Как считаете?

У меня на примете есть ещё подборка похожих и неординарных случаев (например, как хирург Рогозов в условиях экспедиции в Антарктиду сам себе удалил аппендикс или операция Демихова по пересадке головы щенка на тело взрослой собаки, а ещё как Шмелев провел пластическую операцию лидеру коммунистов из Чили Л. Корвалану), а также ряд необычных болезней (синдром Абрамса, или "человек-волк", почему возникает феномен бабочки или что такое "болезнь вампиров").

Если вам интересно, могу продолжить данную подборку. Все равно Дзен особо не радует показами на сложные статьи. Буду считать это очередной попыткой побороться за канал. Пишите пожелания в комментариях: на какие темы хотите поговорить. Всем спасибо и до скорых встреч.

P.S. про кортизол начала писать. Как закончу, опубликую.