Добавить в корзинуПозвонить
Найти в Дзене

Тромб в артерии. Выявить и устранить.

Ежегодно в России регистрируют около 50 тысяч инфарктов миокарда. Это заболевание всегда требует госпитализации, так как именно в сосудистых центрах круглосуточно работают операционные, в которых проводится стентирование коронарных артерий. В действительности же всё намного сложнее, чем кажется, и изображение, которое хирург видит на экране, сильно отличается от того, что нарисовано на схеме. 57-летний пациент был доставлен в нашу клинику в 5 часов утра. Типичный «ночной» инфаркт. Считается, что одна из причин таких инфарктов – активация свёртывающей системы крови – именно утром она становится более вязкой, и склонной к образованию тромбов. О том, что сосуды находятся в критическом состоянии, пациент раньше не знал – чувствовал себя неплохо буквально до последнего дня перед заболеванием. Нельзя сказать, что заболевание явилось следствием нездорового образа жизни – пациент не курил, не был гипертоником. С гордостью он рассказал, что зимой он бегал на лыжах по 10 км. Ну, что ж, в 57 лет
Оглавление

Ежегодно в России регистрируют около 50 тысяч инфарктов миокарда. Это заболевание всегда требует госпитализации, так как именно в сосудистых центрах круглосуточно работают операционные, в которых проводится стентирование коронарных артерий.

Если посмотреть на схематическое изображение стентирования, то кажется, что всё просто:

  • ввели контрастное вещество в коронарные артерии
  • выявили участок сосуда, поражённый атеросклеротической бляшкой
  • ввели катетер (тонкую трубочку), по нему – тонкий проводник
  • баллоном «раздавливается» бляшка, и просвет сосуда возвращается к нормальным размерам
  • устанавливается стент для предотвращения повторного сужения сосуда.

В действительности же всё намного сложнее, чем кажется, и изображение, которое хирург видит на экране, сильно отличается от того, что нарисовано на схеме.

57-летний пациент был доставлен в нашу клинику в 5 часов утра. Типичный «ночной» инфаркт. Считается, что одна из причин таких инфарктов – активация свёртывающей системы крови – именно утром она становится более вязкой, и склонной к образованию тромбов.

О том, что сосуды находятся в критическом состоянии, пациент раньше не знал – чувствовал себя неплохо буквально до последнего дня перед заболеванием. Нельзя сказать, что заболевание явилось следствием нездорового образа жизни – пациент не курил, не был гипертоником. С гордостью он рассказал, что зимой он бегал на лыжах по 10 км. Ну, что ж, в 57 лет коронарный атеросклероз встречается даже у относительно здоровых людей – такое бывает.

Качество жизни пациента во многом зависит от того, насколько быстро восстановлен кровоток по поражённой артерии. Здесь как со жгутом, наложенным на руку: сняли через час – процедура прошла без последствий. Задержали на три часа – наступают необратимые изменения. Если стентирование проведено не позднее, чем через 2 часа от начала болей, шансы на успех очень велики.

Пациенту повезло: скорая помощь приехала быстро, и на операционный стол он был подан чуть больше, чем через час от момента заболевания.

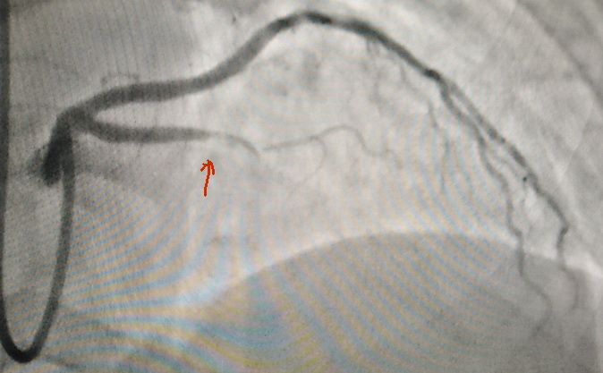
И вот что удалось сделать хирургам:

стрелка показывает на бляшку. В норме контрастное вещество должно заполнять артерию, но бляшка препятствует нормальному кровотоку.
стрелка показывает на бляшку. В норме контрастное вещество должно заполнять артерию, но бляшка препятствует нормальному кровотоку.

На коронарографии выявлен стеноз передней межжелудочковой ветви.

Стрелка показывает на проводник. Он введён через зону стеноза от устья артерии до её дистальной трети.
Стрелка показывает на проводник. Он введён через зону стеноза от устья артерии до её дистальной трети.

В эту артерию введён проводник (на фото выглядит, как тонкая проволочка).

-4

По проводнику введён стент и баллон (края его помечены двумя точками).

-5

Баллон раздут.

-6

Проводник удалён, и кровоток по артерии полностью восстановлен.

Вся процедура заняла всего лишь 30 минут.

Остаётся только восхититься квалификацией хирургов, которые буквально на потоке выполняют такие вмешательства.

Подписывайтесь на меня в Телеграм, там я иногда публикую материалы, которых нет в Дзене.t.me/kardiologKrulev

Здесь про симптомы ишемической болезни сердца:

Статья не является руководством к действию. Требуется консультация специалиста.