Найти в Дзене

Случайно выявили аневризму головного мозга

36-летний пациент был доставлен в нашу клинику после обморока. Несколько дней назад он по назначению врача начал принимать комбинированный препарат для снижения артериального давления, и все эти дни чувствовал себя плохо: слабость, вялость, сонливость. При этом уровень давления не превышал 110/70. Несмотря на недомогание, пациент продолжал приём препарата – к лечению, вообще, он относится чрезвычайно серьёзно. Надо, значит, надо. Пациент мнительный и тревожный. Случайно выявив у себя повышенное давление, он обратился к участковому врачу. На приёме тонометр показал 170/100 (возможно, эффект белого халата), после чего ему был назначен комбинированный препарат, содержащий блокатор кальциевых каналов и ингибитор АПФ. Вчера уровень систолического давления не превышал 90 мм рт.ст, Тем не менее, он вышел из дома, упал в обморок, и фельдшерской бригадой скорой помощи прямо с улицы доставлен к нам. История не самая удивительная. Действительно, согласно действующим клиническим рекомендациям,

36-летний пациент был доставлен в нашу клинику после обморока.

Несколько дней назад он по назначению врача начал принимать комбинированный препарат для снижения артериального давления, и все эти дни чувствовал себя плохо: слабость, вялость, сонливость. При этом уровень давления не превышал 110/70. Несмотря на недомогание, пациент продолжал приём препарата – к лечению, вообще, он относится чрезвычайно серьёзно. Надо, значит, надо.

Пациент мнительный и тревожный. Случайно выявив у себя повышенное давление, он обратился к участковому врачу. На приёме тонометр показал 170/100 (возможно, эффект белого халата), после чего ему был назначен комбинированный препарат, содержащий блокатор кальциевых каналов и ингибитор АПФ.

Вчера уровень систолического давления не превышал 90 мм рт.ст, Тем не менее, он вышел из дома, упал в обморок, и фельдшерской бригадой скорой помощи прямо с улицы доставлен к нам.

История не самая удивительная. Действительно, согласно действующим клиническим рекомендациям, если на приёме зарегистрировано высокое артериальное давление, рекомендуется начинать лечение с комбинированного препарата. Это способствует приверженности лечению, но с другой стороны, эффект фиксированной комбинации может быть избыточным. Нередко при достижении равновесной концентрации препарата в крови (это обычно происходит не сразу, а через несколько дней) давление снижается настолько сильно, что многие пациенты отказываются от лечения вообще. А люди дисциплинированные просто падают в обморок.

Осмотр невролога показал, что пациент в целом здоров – признаков инсульта нет. Но перед выпиской ему назначена компьютерная томография – а вдруг пациент получил травму в результате падения. Или есть какая-то другая причина обморока.

Чаще всего компьютерная томография является формальностью, и патологии не выявляет. Но не в этот раз.

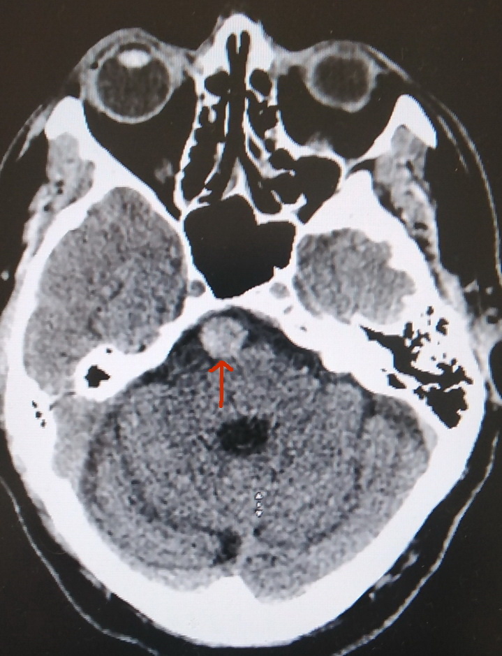
Этот "шарик" и есть аневризма.
Этот "шарик" и есть аневризма.

КТ выявила аневризму основной артерии головного мозга (arteria basilaris). К счастью, аневризма цела. При введении контрастного вещества признаков её разрыва не выявлено, но, безусловно, находка серьёзная. Разрыв таких аневризм чрезвычайно опасен, и обычно приводит к непоправимым последствиям.

Базилярная артерия в середине рисунка. Она снабжает кровью жизненно важные участки мозга.
Базилярная артерия в середине рисунка. Она снабжает кровью жизненно важные участки мозга.

Нейрохирург, осмотревший пациента, счёл внутрисосудистое вмешательство вполне возможным. Так что надеемся на благополучное продолжение этой истории. Обморок, возникший на фоне избыточного снижения давления, позволил выявить жизнеугрожающее заболевание.

О лечении аневризм головного мозга я писал здесь:

Подписывайтесь на меня в Телеграм, там я иногда публикую материалы, которых нет в Дзене.t.me/kardiologKrulev

Статья не является руководством к действию. Требуется консультация специалиста.