Добавить в корзинуПозвонить
Найти в Дзене

Инъекции красоты

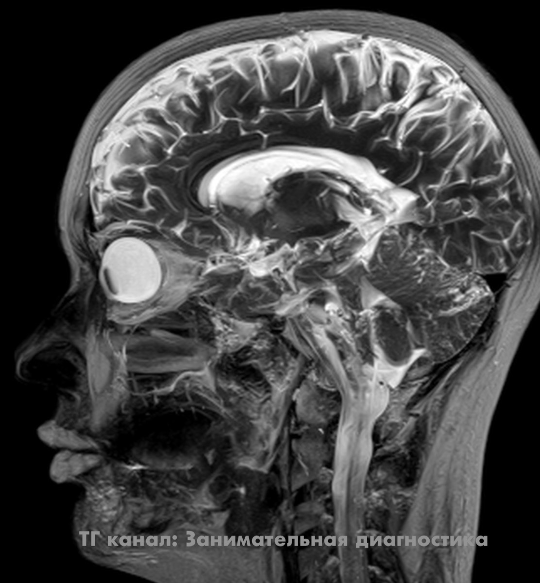
Каких нибудь 20 лет назад доктор, анализируя МРТ, мог бы впасть в ступор, пытаясь понять что такое с губами. Но мы то в наше время живём и понимаем - это просто молодая особа сделала в губы инъекции филлера (гиалуроновой кислоты). Красота! Коллега предположил, что такими губами, наверное, хорошо играть на губной гармошке. P.S. тёмные линии в толще губ на боковых срезах - это мышцы. Также хорошо видно зубы. *** Читать ещё на Дзен:

Каких нибудь 20 лет назад доктор, анализируя МРТ, мог бы впасть в ступор, пытаясь понять что такое с губами.

Но мы то в наше время живём и понимаем - это просто молодая особа сделала в губы инъекции филлера (гиалуроновой кислоты).

Красота!

Коллега предположил, что такими губами, наверное, хорошо играть на губной гармошке.

-2

P.S. тёмные линии в толще губ на боковых срезах - это мышцы. Также хорошо видно зубы.

***

Telegram канал автора: https://t.me/prodiagnosi

Читать ещё на Дзен:

Клинический случай: "Рак, которого могло не быть"
Занимательная диагностика | Pro.Diagnosi5 мая 2024