Добавить в корзинуПозвонить
Найти в Дзене
D2D Expert

ДИССЕМИНИРОВАННЫЙ ЛЕЙОМИОМАТОЗ БРЮШИНЫ. МРТ-ДИАГНОСТИКА. КЛИНИЧЕСКИЙ СЛУЧАЙ

Диссеминированный перитонеальный лейомиоматоз (ДПЛ) – доброкачественное заболевание, характеризующееся наличием рассеянных по сальнику, париетальной и висцеральной брюшине множественных узловых образований, соответствующих по строению лейомиоме и часто напоминающих метастазы злокачественной опухоли, однако имеющее благоприятный прогноз. [1] С момента первого описания в 1952 году Уилсоном и Пирл в англоязычной литературе зарегистрировано менее 150 случаев ДПЛ. [2] Этиология ДПЛ остается неясной, и существует несколько теорий его патогенеза. Некоторые авторы предполагают, что процесс стимулируется гормональными факторами, что подтверждается преобладанием ДПЛ у женщин репродуктивного возраста, во время беременности или после длительного приема оральных контрацептивов [3]. В последнее время появляется все больше сообщений о ятрогенной диссеминации после лапароскопической миомэктомии, что указывает на ее возможную роль в развитии ДПЛ [4]. Хотя большинство случаев ДПЛ доброкачественны и имею

Диссеминированный перитонеальный лейомиоматоз (ДПЛ) – доброкачественное заболевание, характеризующееся наличием рассеянных по сальнику, париетальной и висцеральной брюшине множественных узловых образований, соответствующих по строению лейомиоме и часто напоминающих метастазы злокачественной опухоли, однако имеющее благоприятный прогноз. [1] С момента первого описания в 1952 году Уилсоном и Пирл в англоязычной литературе зарегистрировано менее 150 случаев ДПЛ. [2]

Этиология ДПЛ остается неясной, и существует несколько теорий его патогенеза. Некоторые авторы предполагают, что процесс стимулируется гормональными факторами, что подтверждается преобладанием ДПЛ у женщин репродуктивного возраста, во время беременности или после длительного приема оральных контрацептивов [3].

В последнее время появляется все больше сообщений о ятрогенной диссеминации после лапароскопической миомэктомии, что указывает на ее возможную роль в развитии ДПЛ [4].

Хотя большинство случаев ДПЛ доброкачественны и имеют благоприятный прогноз, в литературе описаны случаи с атипичными гистологическими признаками или злокачественной трансформацией. Цитологическая атипия, полиморфизм ядер, гиперхроматоз, некроз опухолевых клеток и увеличенное количество митозов являются гистологическими признаками злокачественной трансформации [5].

При наличии интактной или удаленной матки, когда узлы расположены только по брюшине, брыжейке или забрюшинно, особенно при сливном характере процесса, при отсутствии четкой визуализации яичника, на МРТ ДПЛ необходимо дифференцировать с неопластическим процессом (опухоль яичника, кишки). При опухолевом процессе визуальная картина изменений может быть аналогичной, особенно при наличии мелких узелков в полости таза, которые часто принимаются за лимфатические узлы, а критерием вторичных изменений лимфоузлов служат округлые контуры и неоднородная структура [6].

Типичные признаки ДПЛ при визуализации включают:

· Множественные солидные перитонеальные или брыжеечные образования, схожие с лейомиомами матки.

· Четко очерченные гипоинтенсивные образования на T1- и T2-взвешенных МР-изображениях.

· Гомогенное контрастное усиление при динамическом исследовании [7].

При злокачественной трансформации ДПЛ в образованиях могут обнаруживаться некроз и кровоизлияния [8].

Гладкомышечная опухоль с неопределенным злокачественным потенциалом / Smooth Muscle Tumor of Uncertain Malignant Potential (STUMP)/ матки обычно проявляется как миометральное образование с гиперинтенсивным сигналом на T2-взвешенных изображениях. Диффузионно-взвешенная МРТ (ДВИ) также информативна: STUMP и лейомиосаркомы могут проявлять ограничение диффузии в отличие от доброкачественных аналогов [7].

При выявлении ДПЛ или лейомиомы матки с высоким сигналом на T2-ВИ и ограничением диффузии следует рассматривать атипичные варианты с высокой клеточностью. Учитывая неблагоприятный прогноз при злокачественной трансформации ДПЛ, критически важны ранняя диагностика и корректная тактика ведения на основании клинико-рентгенологических данных[9].

Рассмотрим клинический пример.

Женщина, 50 лет, с жалобами на дискомфорт в области таза, ощущения уплотнения внизу живота. В анамнезе – экстирпация матки по поводу множественных лейомиом.

1. В полости малого таза определяются многочисленные однотипные объёмные солидные образования, преимущественно округлой формы, наиболее крупное - неправильной формы с бугристыми контурами, остальные - с ровными контурами, размером от 0.7х0.6 см до 8.1х8.6х8.8 см, преимущественно однородной структуры, тканевой интенсивности МР-сигнала, сравнимой с типичным сигналом от миометрия матки (рис. 1).

-2

Рис. 1. Т2 ВИ sag/cor. Желтыми стрелками указаны однотипные объёмные образования с МР-сигналом, схожим с миометрием матки.

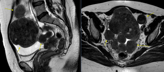
2. Образования расположены преимущественно вдоль брюшины полости малого таза, единичные в области большого сальника, без достоверных признаков инфильтрации забрюшинных пространств (рис. 2).

-3

Рис. 2. Желтыми стрелками указаны вышеописанные образования, расположенные по брюшине и в структуре большого сальника.

3. В режиме DWI определяется умеренное повышение сигнала от образований, с изоинтенсивным мышечной ткани сигналом на картах ADC (рис. 3).

-4

Рис 3. DWI. Желтыми стрелками указано нерезкое повышение интенсивности сигнала в DWI, с нерезким снижением сигнала на картах ADC, что идентично сигнальным характеристикам от миометрия матки.

4. Левый яичник широко прилежит к левому контуру наиболее крупного солидного образования, с отсутствием симптома "клюва", что говорит в пользу внеяичникового происхождения образований. Правый яичник частично прикасается к вышеописанным солидным образованиям, без признаков инфильтрации (рис. 4).

-5

Рис. 4. Желтыми стрелками указаны интактные яичники.

5. При внутривенном контрастировании определяется интенсивное неоднородное накопление контрастного препарата практически всеми солидными образованиями, за исключением единичного узла, расположенного вдоль брюшины на уровне левой подвздошной области, размером 3.0х3.0х3.6 см, накапливающий контраст только периферическими отделами по типу капсулы, толщиной до 0.6 см (рис. 6).

-6

Рис. 6. Желтой стрелкой слева указан единичный узел с периферическим типом накопления. Справа желтой стрелкой указано диффузное накопление контрастного препарата остальными узлами.

Сформировано заключение: Состояние после ампутации матки. С учетом анамнеза множественных миом, оперативного лечения, сигнальных характеристик образований, расположения вдоль брюшины малого таза и в сальнике, без признаков инфильтрации забрюшинно расположенных тканей и органов, без признаков истинного ограничения диффузии от солидных узлов, внеяичникового расположения, МР-картина более характерна для диссеминированного лейомиоматоза брюшины.

По данным послеоперационного морфологического исследования опухоли выявленные изменения соответствуют лейомиомам.

Лапароскопия является окончательным клиническим методом диагностики. При морфологическом исследовании обнаруживают простую или клеточную лейомиому. Опухоль имеет низкую степень злокачественности и характеризуется благоприятным прогнозом. Во всех случаях рекомендуется отмена препаратов, содержащих эстрогены, так как ДПЛ, как правило, связан с высоким уровнем экзогенных и эндогенных женских половых стероидов [10].

Основное лечение – хирургическое. Показана миомэктомия, гистерэктомия, резекция большого сальника и, по возможности, удаление всех новообразований. Эффективна также терапия прогестагенами, которая приводит к регрессии остаточных опухолей [11].

Список информационных источников:

1.   Kurman R.J., Ellenson L.H., Ronnett B.M. Blaustein’s pathology of the female genital tract. 6th ed. New York, Dodrecht, Heidelberg, London: Springer; 2011. 470 p.

2.   Willson JR, Peale AR. Multiple peritoneal leiomyomas associated with a granulosa-cell tumor of the ovary. Am J Obstet Gynecol 1952;64:204-208

3.   Al-Talib A, Tulandi T. Pathophysiology and possible iatrogenic cause of leiomyomatosis peritonealis disseminata. Gynecol Obstet Invest 2010;69:239-244

4.   Thiry T, Dohan A, Naneix AL, et al. Diffuse abdominopelvic leiomyomatosis: CT and MR imaging findings with histopathological correlation. Diagn Interv Imaging 2014;95:105-108

5.   Wu C, Zhang X, Tao X, Ding J, Hua K. Leiomyomatosis peritonealis disseminata: a case report and review of the literature. Mol Clin Oncol 2016;4:957-958

6.   Demir M.K. Disseminated peritoneal leiomyomatosis: magnetic resonance imaging and differential diagnosis. Australas Radiol. 2007; 51(Suppl.): B268-71.

7.   Sato K, Yuasa N, Fujita M, Fukushima Y. Clinical application of diffusion-weighted imaging for preoperative differentiation between uterine leiomyoma and leiomyosarcoma. Am J Obstet Gynecol 2014;210:368 e361-368 e368

8.   Syed M, Parida B, Mankeshwar T, Patil A. Imaging findings in a rare case of leiomyomatosis peritonealis disseminata with malignant transformation. Pol J Radiol 2017;82:426 430

9.   Ryu K, Lee EJ, Chang YW, Hong SS, Hwang J, Oh E, Nam BD, Choi I, Lee HP. Disseminated Peritoneal Leiomyomatosis with Atypical Features and Comorbid Uterine STUMP: a Case Report and Review of the Literature. Investig Magn Reson Imaging. 2020 Sep;24(3):162-167. https://doi.org/10.13104/imri.2020.24.3.162

10. Drake A., Dhundee J., Buckley C.H., Woolas R. Disseminated leiomyomatosis peritonealis in association with oestrogen secreting ovarian fibrothecoma. Br. J. Obstet. Gynaecol. 2001; 108(6): 661-4.

11. Parente J.T., Levy J., Chinea F., Espinosa B., Brescia M.J. Adjuvant surgical and hormonal treatment of leiomyomatosis peritonealis disseminata. A case report. J. Reprod. Med. 1995; 40(6): 468-70.

Автор: Стрижаков Григорий Александрович, врач-рентгенолог «Клиника Эксперт Воронеж»