Найти в Дзене
D2D Expert

ГИПОФИЗИТ

Гипофизит — это редкое воспалительное заболевание гипофиза, характеризующееся неопухолевой инфильтрацией гипофиза, приводящее к нарушению его функций и увеличению объема. Его распространенность оценивается как 1 новый случай на 7–9 млн населения в год, на долю гипофизита приходится 0,24–0,88% всех заболеваний гипофиза. Выделяют первичную (идиопатическую) форму гипофизита, которая возникает вследствие аутоиммунного воспаления непосредственно гипофиза, и вторичную форму, возникающую вследствие системных заболеваний или применения  иммуномодулирующих лекарственных средств. Вторичный гипофизит также может развиться на фоне образований хиазмально-селлярной области, таких как киста кармана Ратке, краниофарингиома, аденома, герминома. В качестве системных  заболеваний, приводящих к вторичному поражению гипофиза, выступают аутоиммунные (саркоидоз, гемохроматоз, гранулематоз Вегенера, болезнь Такаясу, болезнь Крона, гистиоцитоз из клеток Лангерганса и др.) или инфекционные заболевания (сифилис,

Гипофизит — это редкое воспалительное заболевание гипофиза, характеризующееся неопухолевой инфильтрацией гипофиза, приводящее к нарушению его функций и увеличению объема. Его распространенность оценивается как 1 новый случай на 7–9 млн населения в год, на долю гипофизита приходится 0,24–0,88% всех заболеваний гипофиза.

Выделяют первичную (идиопатическую) форму гипофизита, которая возникает вследствие аутоиммунного воспаления непосредственно гипофиза, и вторичную форму, возникающую вследствие системных заболеваний или применения  иммуномодулирующих лекарственных средств. Вторичный гипофизит также может развиться на фоне образований хиазмально-селлярной области, таких как киста кармана Ратке, краниофарингиома, аденома, герминома. В качестве системных  заболеваний, приводящих к вторичному поражению гипофиза, выступают аутоиммунные (саркоидоз, гемохроматоз, гранулематоз Вегенера, болезнь Такаясу, болезнь Крона, гистиоцитоз из клеток Лангерганса и др.) или инфекционные заболевания (сифилис, туберкулез, грибковая и вирусная инфекция у пациентов с иммунодефицитом).

Описано 5 гистологических вариантов первичного гипофизита: лимфоцитарный, гранулематозный, ксантоматозный, IgG4-ассоциированный (плазмоцитарный) и некротизирующий. Кроме того, описаны смешанные формы с одновременным сосуществованием гистологических признаков разных вариантов гипофизита.

В зависимости от распространенности воспалительного процесса, в соответствии с анатомическим строением гипофиза выделяют:

·        аденогипофизит (поражение передней доли гипофиза),

·        инфундибулонейрогипофизит (поражение воронки и задней доли гипофиза),

·        пангипофизит (поражение всего гипофиза).

У женщин чаще встречается аденогипофизит, у мужчин и детей — инфундибулонейрогипофизит.

Для клинической картины гипофизита, вне зависимости от этиологии, ввиду увеличения объема гипофиза характерны головная боль и нарушение функции зрения вследствие компрессии хиазмы. В зависимости от степени вовлечения в воспалительный процесс гипофиза проявлением заболевания является нарушение его функций.

В 65% случаев поражается аденогипофиз, что приводит к парциальному или тотальному гипопитуитаризму. В отличие от других причин гипопитуитаризма, снижение продукции адренокортикотропного гормона (АКТГ) и тиреотропного гормона (ТТГ) очень часто развивается на ранних стадиях первичного гипофизита, что относит  этих пациентов в группу повышенного риска развития  жизнеугрожающей надпочечниковой недостаточности. Также могут возникать снижение продукции гонадотропинов, дефицит гормона роста, гиперпролактинемия. Реже, приблизительно в 10% всех случаев, развивается инфундибулонейрогипофизит, что сопряжено со снижением уровня вазопрессина с развитием несахарного диабета, иногда присоединяются признаки дефицита тропных гормонов.

Клинические признаки поражения переднего и заднего отделов гипофиза сосуществуют при пангипофизите, его частота составляет 25%.

В целом дифференциальная диагностика может быть затруднительна ввиду схожих проявлений заболеваний.

Обязательным диагностическим методом является выполнение МРТ с внутривенным контрастированием всем пациентам с подозрением на гипофизит.

Приведём несколько примеров гипофизита:

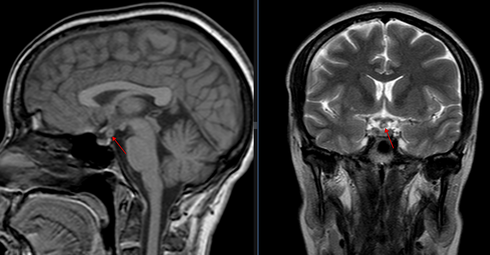
Пациентка В. 36 лет, жалобы на головную боль, головокружение, нарушение менструального цикла.

-2

Рис. 1. Т1-ВИ сагиттальная плоскость, Т2-ВИ корональная плоскость (слева направо).

В области воронки гипофиза утолщение в виде округлой формы образования неоднородной структуры, размером 0.6х0.6х0.7 см. Гипофиз в размерах не увеличен, ткань гипофиза имеет обычный сигнал. Хиазмальная цистерна не изменена. Параселлярные структуры без особенностей. Внутривенное контрастное усиление данной пациентки не проводилось (в связи с полученным отказом).

Пациентка Е. 25 лет, жалобы на нарушение менструального цикла.

-3

Рис. 2. Т1 в трёх плоскостях сканирования + в/в контрастное усиление.

Отмечается утолщение воронки гипофиза до 0.35 см, интенсивно накапливающее контрастное вещество. Гипофиз в размерах не увеличен, ткань гипофиза имеет обычный сигнал. Хиазмальная цистерна не изменена. Параселлярные структуры без особенностей.

Пациентка А. 29 лет, жалобы на нарушение менструального цикла, гиперпролактинемия, набор веса-10 кг за три месяца.

-4

Рис. 3. Т1+ в/в контрастное усиление, сагиттальная и корональная плоскости (слева направо)

Отмечается утолщение воронки гипофиза до 0.4 см в проксимальных отделах. Гипофиз в размерах не увеличен, ткань гипофиза имеет обычный сигнал. Хиазмальная цистерна не изменена. Параселлярные структуры без особенностей.

Данные клинические случаи показывают проявления гипофизита, что хорошо визуализируется и выявляется с помощью МРТ исследования.

Несмотря на то что гипофизит в последнее время выявляется чаще, диагностика заболевания остается сложной задачей. Трудности диагностики гипофизитов обусловлены многообразием диагнозов со схожими клиническими симптомами и гормональными нарушениями, отсутствием однозначных рентгенологических паттернов. Гормональные и рентгенологические исследования в динамике упрощают диагностику гипофизитов, делая ее более очевидной для клиницистов и рентгенологов.

Список информационных источников:

1.     Воронцов А.В., Бабаева Д.М., Владимирова В.П., Дубовицкая Т.А., Гаврилова А.О., Белая Ж.Е., Мокрышева Н.Г. Клинико-рентгенологическая диагностика гипофизита: обзор литературы и собственные наблюдения. Проблемы Эндокринологии. 2022;68(2):16-33. URL: https://doi.org/10.14341/probl12777

2.     Gorbova NY, Vladimirova VP, Rozhinskaya LY, Belaya ZE. Hypophysitis and reversible hypopituitarism developed after COVID-19 infection — a clinical case report. Problems of Endocrinology. 2022;68(3):50-56. doi: https://doi.org/10.14341/probl12896 file:///C:/Users/MSI-Notebook/Downloads/0eb904a78606eef9cdc07aacdd5fd4f7.pdf

3.     Митрофанова Л.Б., Коновалов П.В., Рязанов П.А., Распопова О.М., Антонова И.В. Первичный и вторичный гипофизит. Клинико-морфологическое исследование. Архив патологии. 2016;78(6):43‑51. URL: https://www.mediasphera.ru/issues/arkhiv-patologii/2016/6/1000419552016061043

Автор: Морозова Татьяна Владимировна,  врач-рентгенолог, «МРТ Эксперт» г. Орёл