Найти в Дзене
Ильинская больница

Ниша в области рубца после кесарева сечения

С ростом процента оперативных родов в мире мы будем получать все больше осложнений или так называемых «болезней оперированной матки». Кесарево сечение само по себе увеличивает риск развития таких заболеваний, как аденомиоз (эндометриоз матки), очаговые гиперпластические процессы в полости матки (полипы эндометрия), хронические эндометриты. Но главная недооцененная проблема последствий кесарева сечения — это вероятное формирование ниш (дефектов) миометрия в области рубца (истмоцеле). Образование ниш в области рубца после кесарева сечения может проявляться аномальными маточными кровотечениями в виде длительных «мажущих» скудных выделений у женщин (иногда до, но чаще после менструации). Женщинам, больше не планирующим беременность, в таком случае может быть предложена гистерорезектоскопическая коагуляция и резекция краёв ниши с возможной установкой одномоментно ВМС-ЛНГ (внутриматочная система с левоноргестрелом) в полость матки для купирования аномальных кровотечений. Если женщина планиру
Оглавление

С ростом процента оперативных родов в мире мы будем получать все больше осложнений или так называемых «болезней оперированной матки».

Кесарево сечение само по себе увеличивает риск развития таких заболеваний, как аденомиоз (эндометриоз матки), очаговые гиперпластические процессы в полости матки (полипы эндометрия), хронические эндометриты. Но главная недооцененная проблема последствий кесарева сечения — это вероятное формирование ниш (дефектов) миометрия в области рубца (истмоцеле).

Образование ниш в области рубца после кесарева сечения может проявляться аномальными маточными кровотечениями в виде длительных «мажущих» скудных выделений у женщин (иногда до, но чаще после менструации).

Женщинам, больше не планирующим беременность, в таком случае может быть предложена гистерорезектоскопическая коагуляция и резекция краёв ниши с возможной установкой одномоментно ВМС-ЛНГ (внутриматочная система с левоноргестрелом) в полость матки для купирования аномальных кровотечений.

Если женщина планирует беременность, крайне важно точно измерить толщину резидуального (оставшегося целого) миометрия (мышечного слоя стенки матки).

«Некоторые специалисты для этого используют УЗИ-исследование, обязательно сделанное в 2-х срезах. Я предпочитаю оценивать нишу перед операцией по МРТ-снимкам, которые дают наиболее точные данные, позволяющие принять окончательное решение о пластике рубца перед планированием следующей беременности», - гинеколог-хирург Ю.П.Нуруллина.

При выявлении истончения миометрия менее 3 мм над рубцом и наличии у женщины репродуктивных планов необходимо выполнить операцию — метропластику. Это лапароскопическое (через проколы в брюшной стенке) иссечение старого истончённого рубца на матке с наложением новых швов и формированием нового состоятельного рубца.

Стоит отдельно заметить, что техника проведения операции кесарева сечения никак не коррелирует с риском формирования ниш. Кроме того, уменьшение резидуального миометрия менее 3 мм совсем не обязательно приведёт к несостоятельности рубца во время беременности, НО риски несостоятельности намного выше именно при таких показателях.

Клинический случай

Пациентка приехала к нам из другой страны. Ей 27 лет. У неё была 1 беременность, которая закончилась операцией кесарева сечения. Спустя несколько лет пациентка приняла решение о повторном планировании беременности, и при обследовании перед планированием по данным УЗИ у неё выявлены признаки ниши в области рубца на матке.

К Юлии Нуруллиной она обратилась за вторым мнением дистанционно. По результатам МРТ наш предварительный диагноз подтвердился, и на следующий день пациентка была прооперирована.

-2
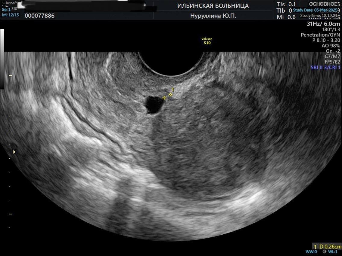
УЗИ матки до операции
УЗИ матки до операции
Заключение МРТ: МР-признаки истмоцеле
Заключение МРТ: МР-признаки истмоцеле
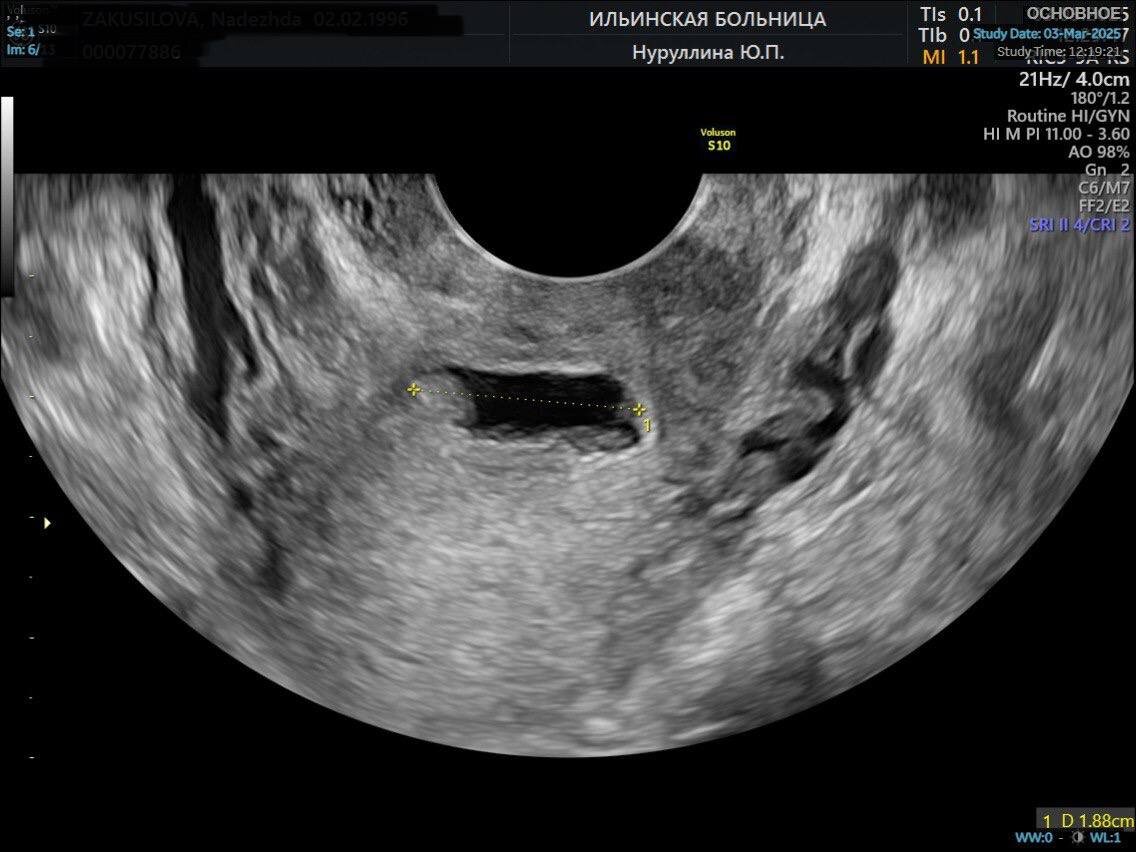
УЗИ матки после операции
УЗИ матки после операции

Ссылки на источники:

  1. Isthmocele: an overview of diagnosis and treatment
    Thaysa Guglieri Kremer¹, Isadora Bueloni Ghiorzi², Raquel Papandreus Dibi³
  2. Laparoscopic Repair of Cesarean Scar Defect "Isthmocele"
    Bulent Urman¹, Tonguc Arslan², Sertan Aksu³, Cagatay Taskiran¹
  3. Periodic Bleeding from a Cesarean Section Scar Fistula
    Gilbert Georg Klamminger¹, Daniel-Christoph Wagner², Martin Beeres³⁴, Annette Hasenburg⁴, Roxana Schwab⁴
  4. When and how should we treat cesarean scar defect - isthmocoele?
    Konrad Futyma, Krzysztof Gałczyński¹, Katarzyna Romanek, Aleksandra Filipczak, Tomasz Rechberger
  5. Hysteroscopic repair of cesarean scar isthmocele
    Ari P Sanders¹, Ally Murji²
  6. Prediction of complete uterine rupture by sonographic evaluation of the lower uterine segment
  7. PubMedTISurgical management of niche, isthmocele, uteroperitoneal fistula, or cesarean scar defect: a critical rebirth in the medical literature.
    AUNezhat C, Falik R, Li A SOFertil Steril. 2017;107(1):69. Epub 2016 Nov 16.
  8. Emmanuel Bujold, MD, MSc, FRCSCa,b emmanuel.bujold@crchul.ulaval.ca ∙ Nicole Jastrow, MDb ∙ Jessica Simoneau, RTb ∙ Suzanne Brunet, RTb ∙ Robert J. Gauthier, MD, FRCSCb

Автор: гинеколог, хирург, врач УЗ-диагностики Нуруллина Юлия Петровна