Добавить в корзинуПозвонить
Найти в Дзене

Сломать челюсть чтобы исправить прикус или для чего нужна ортогнатическая операция

В этой статье хочу раскрыть тему ортогнатической операции в рамках ортодонтического лечения. Ортогнатичекская операция – это хирургическое вмешательство для изменения размеров и положения челюстей друг относительно друга и в пространстве лицевого отдела черепа. Применяется при сильно выраженных аномалиях и диспропорциях в челюстно-лицевой области влияющих на качество жизни и эстетические параметры лица. Расскажу вам подробнее на примере моего пациента: Пациент Юлия, 35 лет, обратилась в клинику для исправления асиметрии лица и неправильного прикуса. На первичном осмотре выявлен перекрестный прикус, сужение верхней челюсти, увеличение размеров нижней челюсти. Скученность верхних и нижних резцов При анализе пропорций лица выявлена выраженная асиметрия всего лица, смещение нижней челюсти влево. В результате проведенного комплекса диагностических процедур был составлен план лечения который состоял из 3 основных этапов: 1. Хирургическое расширение верхней челюсти 2. Фиксация брекет-сист

В этой статье хочу раскрыть тему ортогнатической операции в рамках ортодонтического лечения.

Ортогнатичекская операция – это хирургическое вмешательство для изменения размеров и положения челюстей друг относительно друга и в пространстве лицевого отдела черепа.

Применяется при сильно выраженных аномалиях и диспропорциях в челюстно-лицевой области влияющих на качество жизни и эстетические параметры лица.

Расскажу вам подробнее на примере моего пациента:

Пациент Юлия, 35 лет, обратилась в клинику для исправления асиметрии лица и неправильного прикуса.

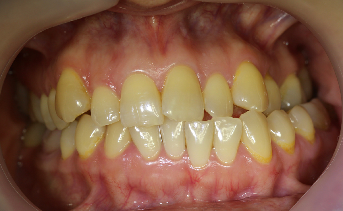
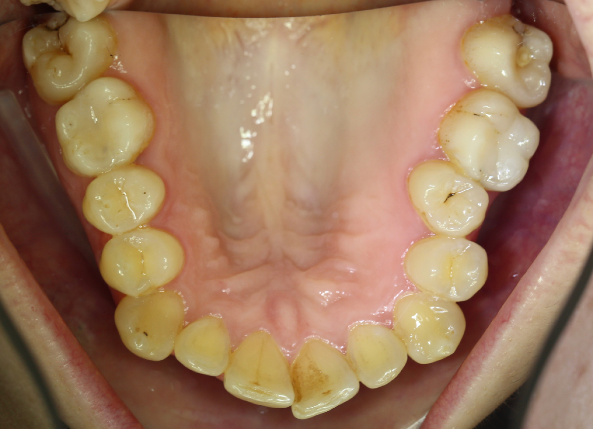
На первичном осмотре выявлен перекрестный прикус, сужение верхней челюсти, увеличение размеров нижней челюсти.

Скученность верхних

-2

и нижних резцов

-3

При анализе пропорций лица выявлена выраженная асиметрия всего лица, смещение нижней челюсти влево.

-4

-5

В результате проведенного комплекса диагностических процедур был составлен план лечения который состоял из 3 основных этапов:

1. Хирургическое расширение верхней челюсти

2. Фиксация брекет-системы для подготовки зубных рядов к операции

3. Ортогнатичекская операция 

Пациента такой план лечения устроил поскольку был запрос на устранение асиметрии и улучшение работы зубо-челюстной системы. Была направлена нами на консультацию в отделение челюстно-лицевой хирургии института стоматологии.

1-й этап:

Хирургическое расширение верхней челюсти и установка небного дистрактора для удержания полученного промежутка между центральными резцами.

Появившееся расстояние между резцами характеризует степень расширения челюсти
Появившееся расстояние между резцами характеризует степень расширения челюсти

Небный дистрактор устанавливается до образования костно мозоли, приблизительно 6 месяцев.
Небный дистрактор устанавливается до образования костно мозоли, приблизительно 6 месяцев.

2-й этап:

Фиксация брекет-системы и ортодонтическая подготовка зубных рядов к следующему этапу:

Данный этап занял 12 месяцев. Фото сделано перед операцией.
Данный этап занял 12 месяцев. Фото сделано перед операцией.

3-й этап:

Ортогнатичекая операция - делается под общим наркозом. Требует пребывания в стационаре около 2 недель.

Итог:

-9

-10

-11

-12

-13

Лечение заняло в общей сложности 19 месяцев, в результате получено существенное улучшение симметричности лица и идеально соотношение зубных рядов и зубов. Пациент не пожалел несмотря на огромный объем работы.

Кстати, операции проводят бесплатно, для этого нужно только получить квоту.

Лечение проводил Суджаев С.Р. – главный врач клиники,врач-ортодонт.

Совместно с коллегой из кафедры ЧЛХ МГМСУ Александром Глушко