Добавить в корзинуПозвонить
Найти в Дзене

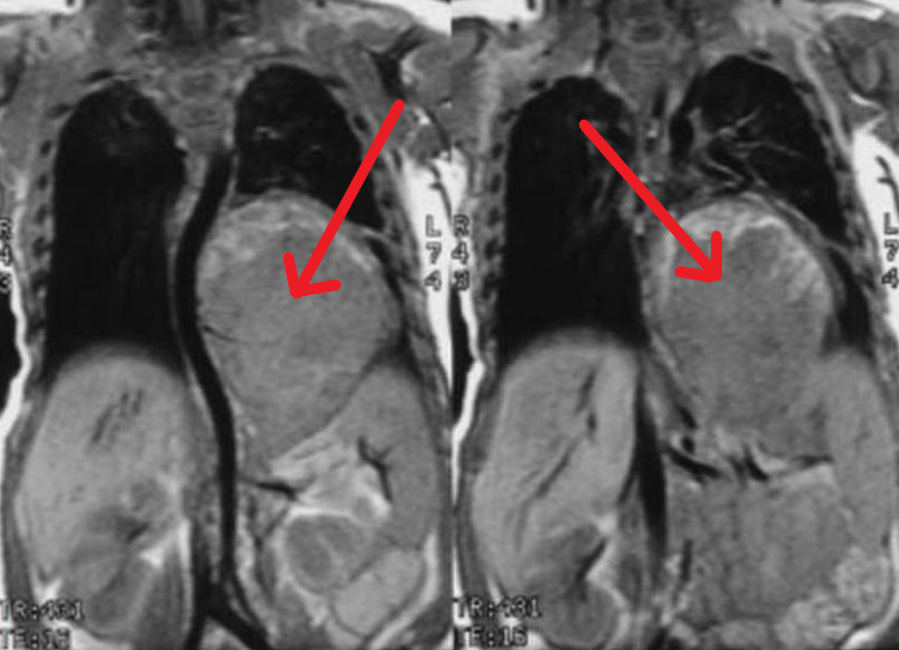
Злокачественные новообразования: Нейробластома

Добрый день уважаемые подписчики! Продолжаем разбирать злокачественные опухоли и сегодня еще одно коварное новообразование - нейробластома. Мне кажется, что у нее даже название страшное. Нейробластома - высокозлокачественная опухоль симпатической нервной системы, которая практически встречается исключительно у детей. Опухоль может развиваться везде, где есть симпатические клетки вегетативной нервной системы, но в подавляющем большинстве располагается в одном из надпочечников. У нейробластомы есть некоторые особенности, отличные от других злокачественных новообразований: - часто она ведет себя как агрессивное злокачественное новообразование со способностью к быстрому росту и развитию метастазов. - иногда нейробластома, напротив, самопроизвольно регрессирует, вплоть до полного излечения. - самопроизвольное «созревание», превращение злокачественной опухоли в доброкачественную - ганглионеврому. Такие особенности могут объясняться тем, что нейробластома образуется из эмбриональных нейроблас

Добрый день уважаемые подписчики! Продолжаем разбирать злокачественные опухоли и сегодня еще одно коварное новообразование - нейробластома. Мне кажется, что у нее даже название страшное.

Нейробластома - высокозлокачественная опухоль симпатической нервной системы, которая практически встречается исключительно у детей. Опухоль может развиваться везде, где есть симпатические клетки вегетативной нервной системы, но в подавляющем большинстве располагается в одном из надпочечников.

У нейробластомы есть некоторые особенности, отличные от других злокачественных новообразований:

- часто она ведет себя как агрессивное злокачественное новообразование со способностью к быстрому росту и развитию метастазов.

- иногда нейробластома, напротив, самопроизвольно регрессирует, вплоть до полного излечения.

- самопроизвольное «созревание», превращение злокачественной опухоли в доброкачественную - ганглионеврому.

Такие особенности могут объясняться тем, что нейробластома образуется из эмбриональных нейробластов – зародышевых нервных клеток, которые должны превращаться в зрелые нейроны. Поэтому она обычно встречается у детей, причем чаще всего до 2 лет (около половины всех случаев), затем частота резко падает с возрастом и у детей старше 10 лет нейробластома наблюдается крайне редко. Кроме того, развитие симпатической нервной системы наиболее интенсивно происходит в раннем детском возрасте, то и вероятность ее опухолей наиболее высока в этом возрасте. Причем, у младенцев до года это самая частая опухоль.

Подозрение на нейробластому возникает, когда обнаруживается увеличение размеров живота, а при пальпации выявляется плотная, практически несмещаемая опухоль.

Чаще всего нейробластома метастазирует в кости, костный мозг и лимфатические узлы.

К сожалению, в большинстве случаев опухоль обнаруживается уже на IV стадии, что сильно ухудшает прогноз. Однако, при обнаружении нейробластомы на I-II стадиях опухолевого процесса вероятность излечения достаточно высокая.

Необычна ситуация с младенцами в возрасте до года с IVS стадией болезни, т.к. несмотря на отдаленные метастазы, шансы на выживание у таких детей обычно высоки.