Добавить в корзинуПозвонить
Найти в Дзене
Ferra.ru

Ортопед объяснил, почему появляется шишка на большом пальце ноги

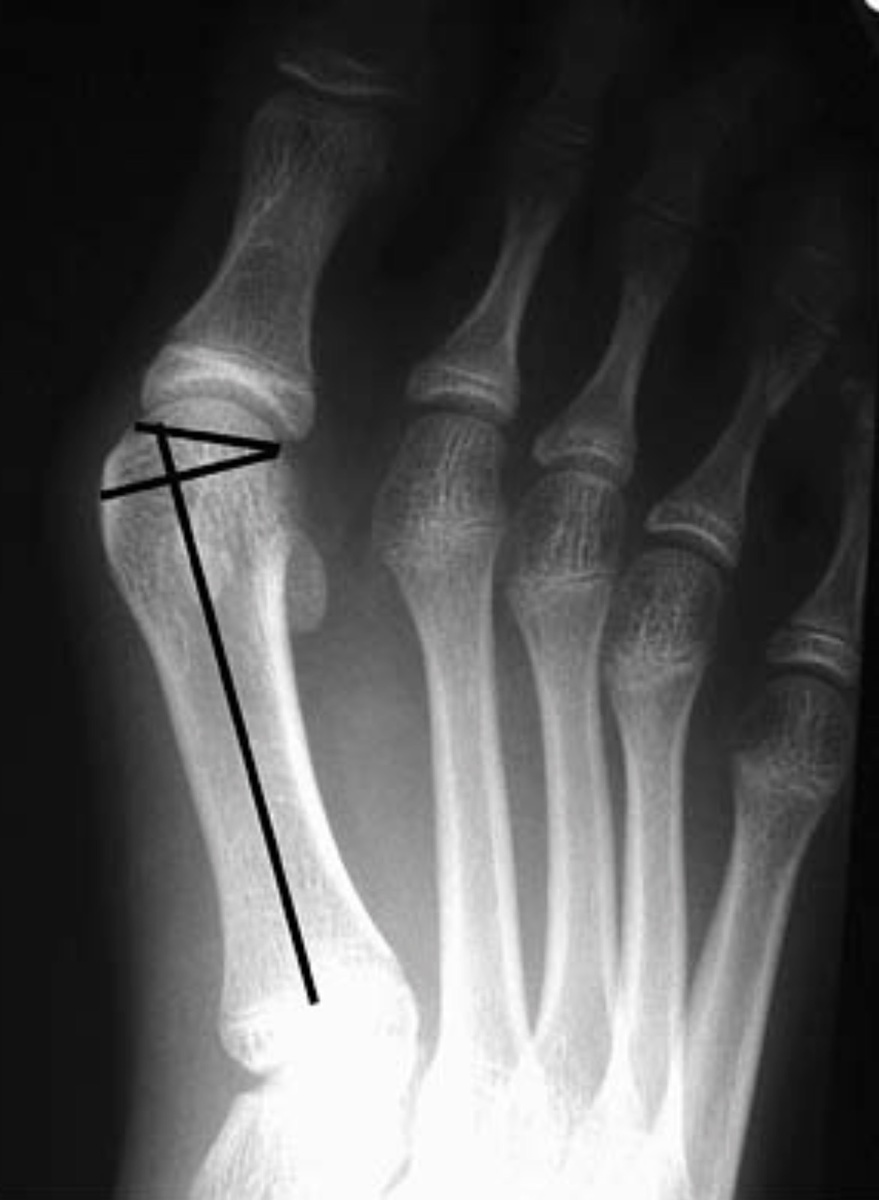
Врач высшей категории, травматолог-ортопед «СМ-Клиники», кандидат медицинских наук Михаил Дорошев рассказал, что влияет на развитие вальгусной деформации стопы (шишки на большом пальце ноги) и что может помочь. Врач отметил, что по его собственному опыту «та самая шишка на первом пальце стопы не появляется и не проходит сама по себе». Причин у подобной деформации может быть много. Среди основных факторов регулярное ношение неудобной и неподходящей обуви (в этом случае нарушается амортизация стопы), «нагрузка на стопу распределяется неравномерно, и в итоге страдают все отделы стопы, в том числе и плюсневые кости». Но повлиять на появление вальгусной деформации стопы могут травмы, особенно у спортсменов. Это может привести к разрывам сухожилий и травмам костей. Этот фактор — предпосылка к образованию шишки в месте перелома плюсневой кости. Повлиять могут и болезни, среди которых генетические, ревматоидный артрит, артроз, поражающие в том числе суставы стопы. Эти заболевания провоцируют д

Врач высшей категории, травматолог-ортопед «СМ-Клиники», кандидат медицинских наук Михаил Дорошев рассказал, что влияет на развитие вальгусной деформации стопы (шишки на большом пальце ноги) и что может помочь.

Врач отметил, что по его собственному опыту «та самая шишка на первом пальце стопы не появляется и не проходит сама по себе». Причин у подобной деформации может быть много.

Среди основных факторов регулярное ношение неудобной и неподходящей обуви (в этом случае нарушается амортизация стопы), «нагрузка на стопу распределяется неравномерно, и в итоге страдают все отделы стопы, в том числе и плюсневые кости».

Но повлиять на появление вальгусной деформации стопы могут травмы, особенно у спортсменов. Это может привести к разрывам сухожилий и травмам костей. Этот фактор — предпосылка к образованию шишки в месте перелома плюсневой кости.

Повлиять могут и болезни, среди которых генетические, ревматоидный артрит, артроз, поражающие в том числе суставы стопы. Эти заболевания провоцируют дегенерацию плюсневых костей, что связано с развитием шишки на ноге.

К дополнительным причинам могут относиться лишний вес, постоянная работа на ногах, плоскостопие.

А способ избавиться от шишки на ноге один — операция. Только так можно выздороветь и избавиться от боли.

«Если вы думаете, что про шишку на ноге можно просто забыть, достаточно поносить некоторое время ортопедические стельки, то глубоко заблуждаетесь. Последствия вальгусной деформации могут быть крайне неприятными. Прежде всего, это резкая боль при ходьбе и, как результат, стеснение движений. Согласитесь, никто в такой ситуации не готов это постоянно терпеть. Поэтому я как врач вижу единственный выход — в хирургическом удалении шишки», — подчеркнул специалист.

Материалы новостного характера нельзя приравнивать к назначению врача. Перед принятием решения посоветуйтесь со специалистом.