Добавить в корзинуПозвонить
Найти в Дзене

Ультразвуковая диагностика дивертикулита толстой кишки.

УЗД дивертикулёза - в статье по адресу: https://dzen.ru/a/ZxDO7AgYcSelVXD-
Неосложненный дивертикулёз толстой кишки протекает без каких-либо клинических симптомов, и пациенты не предъявляют никаких жалоб. При воспалении дивертикула у пациентов с дивертикулярной болезнью развивается острый дивертикулит, который сопровождается болью в левой нижней части живота, нередко, повышением температуры. Это состояние требует неотложной диагностики, поскольку может привести к развитию таких осложнений как абсцесс брюшной полости, перитонит, стеноз кишки, внутренние и наружные кишечные свищи или кровотечение из дивертикула. Ведущими ультразвуковыми признаками дивертикулита являются утолщение его стенки (более 3 мм) вследствие отёка, признаки инфильтрации прилегающей жировой клетчатки и задержка содержимого ву дивертикуле (воздух, жидкость, копролиты). Также, необходимо учитывать такой ультразвуковой симптом, как локальная болезненность при прицельной дозированной компрессии датчиком, либо точечной

УЗД дивертикулёза - в статье по адресу: https://dzen.ru/a/ZxDO7AgYcSelVXD-

Рис. 01. Дивертикулит толшстой кишки. Изображение из свободного доступа.
Рис. 01. Дивертикулит толшстой кишки. Изображение из свободного доступа.

Неосложненный дивертикулёз толстой кишки протекает без каких-либо клинических симптомов, и пациенты не предъявляют никаких жалоб. При воспалении дивертикула у пациентов с дивертикулярной болезнью развивается острый дивертикулит, который сопровождается болью в левой нижней части живота, нередко, повышением температуры. Это состояние требует неотложной диагностики, поскольку может привести к развитию таких осложнений как абсцесс брюшной полости, перитонит, стеноз кишки, внутренние и наружные кишечные свищи или кровотечение из дивертикула.

Ведущими ультразвуковыми признаками дивертикулита являются утолщение его стенки (более 3 мм) вследствие отёка, признаки инфильтрации прилегающей жировой клетчатки и задержка содержимого ву дивертикуле (воздух, жидкость, копролиты). Также, необходимо учитывать такой ультразвуковой симптом, как локальная болезненность при прицельной дозированной компрессии датчиком, либо точечной пальцевой компрессии под контролем ультразвука. Есть, также, описание случаев выявления локального спазма кишки на уровне дивертикула и параколитического скопления жидкости.

Дивертикулы толстой кишки являются ложными, поскольку содержат не все слои кишечной стенки - в составе стенки дивертикула отсутствует мышечный и подслизистый слой, поэтому стенка неосложненного дивертикула выглядит более тонкой, чем стенка кишки в смежных с дивертикулом отделах. При воспалении, вследствие отека наблюдается утолщение стенок дивертикула.

Рис. 02. Поперечное изображение сигмовидной кишки. Дивертикул на задней стенке с утолщенными стенками.
Рис. 02. Поперечное изображение сигмовидной кишки. Дивертикул на задней стенке с утолщенными стенками.
Рис. 03. Продольное изображение сигмовидной кишки. Дивертикул на задней стенке с утолщенными стенками.
Рис. 03. Продольное изображение сигмовидной кишки. Дивертикул на задней стенке с утолщенными стенками.

Видео 04. Ультразвуковое изображение сигмовидной кишки. Дивертикул на задней стенке с утолщенными стенками. Вследствие отека стенок может развиться сужение просвета шейки дивертикула (на видео просвет в шейке виден крайне неотчетливо), что приводит к задержке содержимого в полости дивертикула, которое определяется как неоднородное скопление.

В следующем наблюдении, помимо утолщения стенок, в дивертикуле определяется гиперэхогенное включение с дистальной акустической тенью - наиболе вероятно, копролит.

Рис. 05. Продольное изображение сигмовидной кишки. Дивертикул на задней стенке кишки, с утолщением стенок и копролитом.
Рис. 05. Продольное изображение сигмовидной кишки. Дивертикул на задней стенке кишки, с утолщением стенок и копролитом.
Рис. 06. Поперечное изображение сигмовидной кишки. Дивертикул на задней стенке кишки, с утолщением стенок и копролитом.
Рис. 06. Поперечное изображение сигмовидной кишки. Дивертикул на задней стенке кишки, с утолщением стенок и копролитом.

Видео 07. Ультразвуковое изображение сигмовидной кишки. Дивертикул на задней стенке кишки, с утолщением стенок и копролитом.

Следующее наблюдение. Достаточно крупный воспаленный дивертикул на задней стенке кишки с гиперэхогенным содержимым, образующим артефакт "хвост кометы" - наиболее вероятно, скопление газа. На кинопетле визуализируются толстые стенки дивертикула и очень тонкий канал в его шейке.

Рис. 08. Продольное изображение сигмовидной кишки. Дивертикул на задней стенке кишки, с утолщением стенок и скоплением газа в полости.
Рис. 08. Продольное изображение сигмовидной кишки. Дивертикул на задней стенке кишки, с утолщением стенок и скоплением газа в полости.

Видео 09. Ультразвуковое изображение сигмовидной кишки. Дивертикул на задней стенке кишки, с утолщением стенок и скоплением газа в полости. Виден узкий просвет в шейке дивертикула.

В следующем наблюдении в воспаленном дивертикуле также можно увидеть скопление газа, особенно при дозированной компрессии датчиком, когда наблюдается смещение газа из полости дивертикула в просвет кишки. Помимо дивертикулита у этого пациента имеется дистальный колит, что прояявляется в утолщении стенки сигмовидной кишки с потерей стратификации слоёв.

Рис. 10. Продольное изображение сигмовидной кишки. Стенки  утолщены, пониженной эхогенности, стратификация не прослеживается.
Рис. 10. Продольное изображение сигмовидной кишки. Стенки утолщены, пониженной эхогенности, стратификация не прослеживается.
Рис. 11. Поперечное изображение сигмовидной кишки. Стенки  утолщены, пониженной эхогенности, стратификация не прослеживается. На боковой поверхности определяется дивертикул с утолщенными стенками и гиперэхогенным содержимым.
Рис. 11. Поперечное изображение сигмовидной кишки. Стенки утолщены, пониженной эхогенности, стратификация не прослеживается. На боковой поверхности определяется дивертикул с утолщенными стенками и гиперэхогенным содержимым.

Видео 12. Ультразвуковое изображение сигмовидной кишки продольно и поперечно. Стенки утолщены, пониженной эхогенности, стратификация не прослеживается. На боковой поверхности определяется дивертикул с утолщенными стенками и гиперэхогенным содержимым.

Дальнейшее исследование проводилось линейным датчиком.

Рис. 13. Поперечное изображение сигмовидной кишки. Стенки  утолщены, пониженной эхогенности, стратификация не прослеживается. На боковой поверхности определяется дивертикул с утолщенными стенками и гиперэхогенным содержимым. Прилегающие к дивертикулу ткани имеют повышенную эхогенность - воспалительная инфильтрация жировой клетчатки брыжейки.
Рис. 13. Поперечное изображение сигмовидной кишки. Стенки утолщены, пониженной эхогенности, стратификация не прослеживается. На боковой поверхности определяется дивертикул с утолщенными стенками и гиперэхогенным содержимым. Прилегающие к дивертикулу ткани имеют повышенную эхогенность - воспалительная инфильтрация жировой клетчатки брыжейки.

Видео 14. Поперечное изображение сигмовидной кишки. Стенки утолщены, пониженной эхогенности, стратификация не прослеживается. На боковой поверхности определяется дивертикул с утолщенными стенками и гиперэхогенным содержимым. Прилегающие к дивертикулу ткани имеют повышенную эхогенность - воспалительная инфильтрация жировой клетчатки брыжейки.

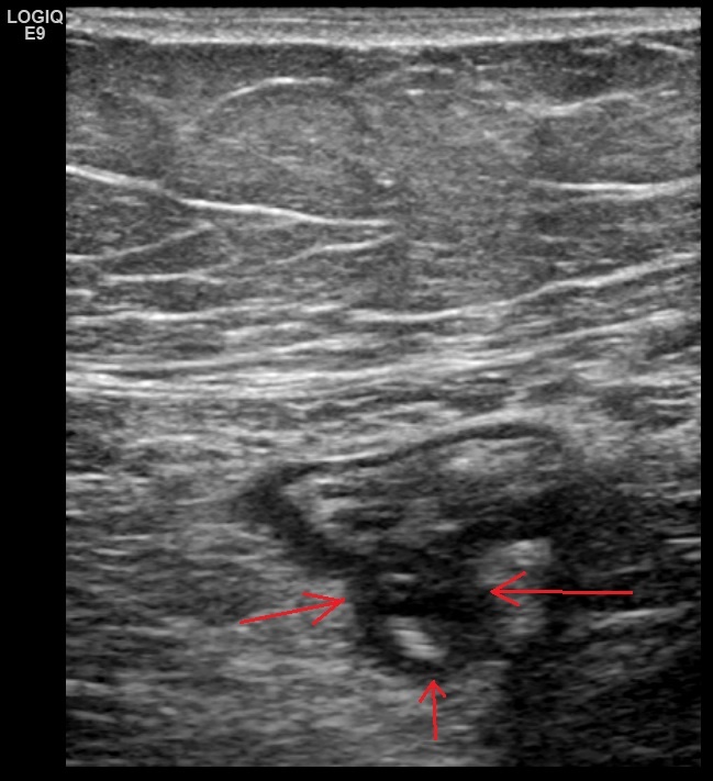
Рис. 15. Это изображение является пояснением к последующему видео. Выполнена дозированная компрессия датчиком в проекции дивертикула (дивертикул указан красными стрелками), и прослеживается смещение пузырьков воздуха через узкую шейку дивертикула в просвет кишки (тонкие зеленые стрелки).
Рис. 15. Это изображение является пояснением к последующему видео. Выполнена дозированная компрессия датчиком в проекции дивертикула (дивертикул указан красными стрелками), и прослеживается смещение пузырьков воздуха через узкую шейку дивертикула в просвет кишки (тонкие зеленые стрелки).

Видео 16. Поперечное изображение сигмовидной кишки с визуализацией дивертикула на боковой стенке. При компрессии датчиком отмечается смещение пузырьков воздуха из полости дивертикула через узкую шейку в просвет сигмовидной кишки.

В следующем наблюдении помимо признаков дивертикулита можно увидеть признаки локального повышения тонуса кишки.

Рис. 17. Продольное сканирование сигмовидной кишки конвексным датчиком. На боковой стенке определяется округлый дивертикул с утолщенными стенками. Содержимое гиперэхогенное.
Рис. 17. Продольное сканирование сигмовидной кишки конвексным датчиком. На боковой стенке определяется округлый дивертикул с утолщенными стенками. Содержимое гиперэхогенное.

Видео 18. Продольное сканирование сигмовидной кишки конвексным датчиком. На боковой стенке определяется округлый дивертикул с утолщенными стенками. От дивертикула видна бледная дистальная акустическа тень - возможно, в его полости имеется копролит.

Далее исследование продолжено линейным датчиком.

Рис. 19. Продольное сканирование сигмовидной кишки. Дивертикул на боковой стенке.
Рис. 19. Продольное сканирование сигмовидной кишки. Дивертикул на боковой стенке.

Видео 20. Продольное сканирование сигмовидной кишки. Дивертикул на боковой стенке. Обратите внимание на втяжение противоположной стенки кишки. Картина несколько напоминает "указующий перст" (симптом Де-Кервена), который мы можем наблюдать рентгенологически при язве желудка - в результате гипертонуса противоположная от язвы стенка подтягивается к язве. Аналогично и в этом наблюдении - противоположная стенка кишки подтянута к устью воспаленного дивертикула.

Благодарю за внмимание!