Добавить в корзинуПозвонить
Найти в Дзене

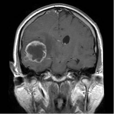
Злокачественные новообразования: Глиома

Глиомы - это менее известные опухоли, чем остальные новообразования, однако не менее опасные, даже если имеют доброкачественное течение. Например, при глиобластоме - наиболее распространённой форме глиомы (примерно 45 % всех глиом), в течение 5 лет выживают только 5 % пациентов. В целом эта группа опухолей, самые распространенные первичные опухоли головного мозга, возникающие из нейроглии, вспомогательных клеток нервной ткани. Эти клетки создают микроокружение для нейронов, обеспечивая условия для возникновения и передачи нервных импульсов, помогают питанию нейрона. Глиальные (глиоциты) и нервные клетки (нейроны) не могут существовать друг без друга, вместе образуя нервную систему - поэтому, хотя глиальные клетки являются вспомогательными, они играют очень важную роль в жизнедеятельности организма. В настоящее время увеличение выявляемости глиом связано, в первую очередь, широкому проведению диспансеризации и доступности высокотехнологичного обследования, например МРТ. Как уже было ска

Глиомы - это менее известные опухоли, чем остальные новообразования, однако не менее опасные, даже если имеют доброкачественное течение. Например, при глиобластоме - наиболее распространённой форме глиомы (примерно 45 % всех глиом), в течение 5 лет выживают только 5 % пациентов. В целом эта группа опухолей, самые распространенные первичные опухоли головного мозга, возникающие из нейроглии, вспомогательных клеток нервной ткани. Эти клетки создают микроокружение для нейронов, обеспечивая условия для возникновения и передачи нервных импульсов, помогают питанию нейрона.

Глиальные (глиоциты) и нервные клетки (нейроны) не могут существовать друг без друга, вместе образуя нервную систему - поэтому, хотя глиальные клетки являются вспомогательными, они играют очень важную роль в жизнедеятельности организма.

В настоящее время увеличение выявляемости глиом связано, в первую очередь, широкому проведению диспансеризации и доступности высокотехнологичного обследования, например МРТ.

Как уже было сказано, глиомы опасны, даже если протекают доброкачественно, т.е. не прорастая и не разрушая ткань мозга, потому что при росте начинают сдавливать отделы мозга, вызывая различные неврологические нарушения.

Клинические проявления - зависят от того, где именно расположена опухоль, а также от ее размеров. Наиболее частыми проявлениями глиомы головного мозга являются:

- постоянные головные боли, сопровождающиеся тошнотой и рвотой, не приносящей облегчения

- судорожный синдром (внезапные и непроизвольные приступы мышечных сокращений)

- нарушения речи

- изменение движений в конечности(ях), любой части тела и/или лица (слабость или полное отсутствие таковых)

- нарушения зрения, осязания, координации движений и походки

- изменения психики (в том числе памяти и мышления), изменение в поведении

- нарушения циркуляции спинномозговой жидкости (ликвора), проявляющиеся повышением внутричерепного давления (внутричерепной гипертензией) и гидроцефалией (чрезмерным накоплением жидкости в головном мозге).