Добавить в корзинуПозвонить
Найти в Дзене

ЗИГЗАГИ ХИРУРГИИ СТОПЫ

Занимаюсь ревизией многих аспектов работы отделения, многие вещи вызывают воспоминания, отсылающие к неким событиям, теперь уже истории нашей ортопедии. И в ряде случаев выясняются парадоксальные вещи! Вот, взять, хотя бы, хирургию стопы. 2001 год. Я возглавил только что открывшееся отделение ортопедии. Оно пустое. Обстановка в больнице не очень здоровая - мы чужаки, больница считалась «гинекологической», и тут - травма с ортопедией! Любое совещание автоматически превращается в тыканье носом в пустующие ортопедические койки, травма хотя бы заполнилась травмой. Коек - 30. Потихоньку начали подкладывать травмированных. Я, умеющий протезировать суставы и оперировать стопы, в ступоре. Эндопротезов нет, ничего для хирургии стопы нет, пиляще-сверлящего оборудования тоже нет. Принимаю экстренные меры, рассылаю ординаторов и аспирантов по поликлиникам с листовками об открытии отделения, связываюсь с окружным Департаментом здравоохранения, покупаю в Ашане бытовые дрели, по сусекам наскребаю м

Занимаюсь ревизией многих аспектов работы отделения, многие вещи вызывают воспоминания, отсылающие к неким событиям, теперь уже истории нашей ортопедии. И в ряде случаев выясняются парадоксальные вещи!

Вот, взять, хотя бы, хирургию стопы.

2001 год. Я возглавил только что открывшееся отделение ортопедии. Оно пустое. Обстановка в больнице не очень здоровая - мы чужаки, больница считалась «гинекологической», и тут - травма с ортопедией! Любое совещание автоматически превращается в тыканье носом в пустующие ортопедические койки, травма хотя бы заполнилась травмой. Коек - 30. Потихоньку начали подкладывать травмированных.

Я, умеющий протезировать суставы и оперировать стопы, в ступоре. Эндопротезов нет, ничего для хирургии стопы нет, пиляще-сверлящего оборудования тоже нет.

Принимаю экстренные меры, рассылаю ординаторов и аспирантов по поликлиникам с листовками об открытии отделения, связываюсь с окружным Департаментом здравоохранения, покупаю в Ашане бытовые дрели, по сусекам наскребаю минимальный инструмент. Народ пошёл.

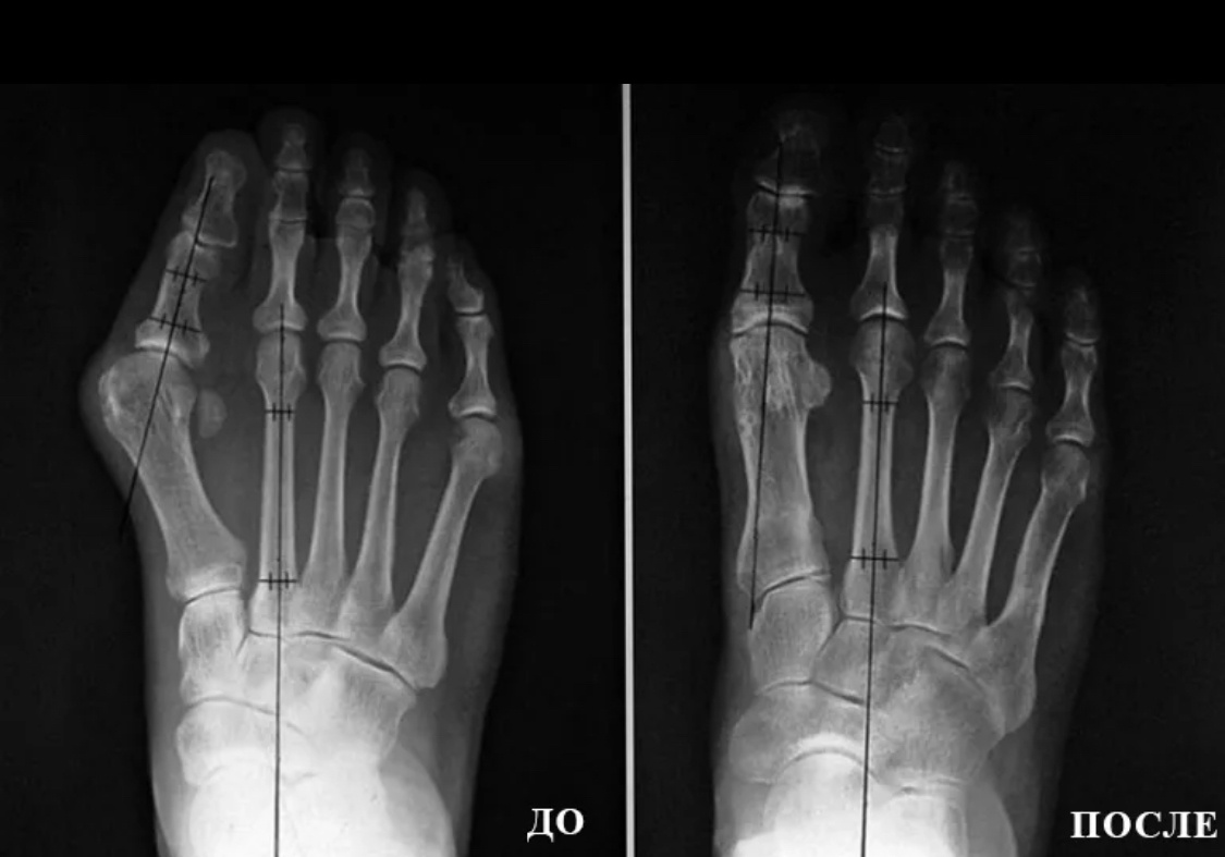
В том числе - с деформациями стоп. Больница городская, лечение бесплатное. Делаю всем максимально простую операцию МакБрайда - она не требует перепиливания костей, а специальную рассасывающуюся нить люди покупают, и приносят с собой.

-2

Вот так это выглядело - стягивание костей своим сухожилием. Быстро, просто, ни пилы, ни винтов не требуется. Операцию я подсмотрел у французов, но довольно скоро выяснилось, что эта операция подходит не во всех случаях.

Ладно, заказал на каком-то полумертвом заводе винтики из титана. Приспособил полумёртвое лезвие от артроскопического набора к отечественной пиле для протезирования.

Начал пилить, сверлить, вкручивать. Через год стояла очередь из желающих «удалить шишку», выровнять пальцы….

Набор винтов для стопы
Набор винтов для стопы

К тому времени по моей просьбе протезные дистрибьютеры стали завозить в страну расходку для хирургии стопы, в том числе винты Барука. Это специальные титановые винты для таких операций, они вкручиваются в кости заподлицо, дают компрессию между костными фрагментами, позволяют обойтись без гипса. Каждый винт - 150 долларов. На стопу нужно 6 винтов. Это было очень дорого. Постепенно цена снизилась до 80-100, но это всё равно дорого (на мой взгляд). Тем более, что иногда требовалось по 8-10 винтов на стопу. Тогда все перепиленные кости нужно было фиксировать. Опять проблема.

Это лучший, на мой взгляд, инструмент для стопы
Это лучший, на мой взгляд, инструмент для стопы

Тем временем стали завозить и электроинструменты для стоп. Тот набор, что на фото, сейчас стоит больше 20 тысяч долларов. Там еще электронный блок питания за кадром. В то время привозили за 10, но всё равно - для горбольницы дорого, и - «нерентабельно». Больнице было всё равно, чем мы пилим, пилим ли вообще, главное - чтобы были заполнены койки, и жалоб не было.

Дальше - интереснее. Появилась послеоперационная обувь, появились фрезы для чрескожных остеотомий, появился интерес врачей к хирургии стопы, появились ученики, вышли мои книжки по хирургии стопы, в 2009 году и докторская диссертация.

Довольно много лет золотым стандартом были методики операций, привезенные мной из Европы, и укоренившиеся в нашей среде очень прочно. Десятки и сотни хирургов-ортопедов стали оперировать стопы. Сейчас у меня практически нет иногородних пациентов (чаще из-за границы приезжают!), везде работают последователи.

Но интересно другое. Постепенно акцент в хирургии стопы стал смещаться от обязательной фиксации костей к необязательной.

-5

Вот здесь - классика. Перепилили две кости - зафиксировали две кости.

Правда, есть слегка безумный вариант, когда кости пepeпиливают через проколы кожи, из эстетических

соображений, зато для фиксации костей используют огромные винты! Как по мне - полный бред!!

-6

Я традиционно сторонник золотой середины:

-7

Что нужно сделать через боковые классические доступы, и классически зафиксировать - так и делаю.

-8

Что требует открытой хирургии и дополнительной фиксации спицами через пальцы - открыто и через пальцы.

-9

Комбинация открытой и чрескожной хирургии - пожалуйста, вот она.

Так фреза делает пропил
Так фреза делает пропил

Кстати, для остеотомии костей через проколы кожи мы используем фрезы, вот такие:

-11

Они толщиной со спичку, и позволяют перепилить любую кость в любом месте через прокол кожи. Что интересно - такие остеотомии можно оставлять без винтов, удерживать пальцы в нужном положении специальными повязками. Получается, что то, что сдерживало развитие хирургии стопы - отсутствие винтов и пил - теперь не нужно вообще!! Парадокс!

На первый взгляд - да. С другой стороны, мы должны были пройти этот путь. Врачи обучились, натренировались, знают теорию, умеют оперировать разными способами, понимают варианты и могут выбирать - как, когда, кому и сто делать. Это очень круто.

Что до меня с моими идеями - хочу организовать амбулаторную хирургию стопы. Как в Америке. Там на хирурга-подиатра учатся 4 года. Оперируют не в операционной, а в кабинете, под местной (или проводниковой) анестезией. 90% операций можно делать именно так. Без госпитализации.

Примерно так
Примерно так

Конечно, в этом случае только простые деформации, и по одной стопе зараз. Зато - быстро, и бескровно.

-13

Подобным образом когда-то оперировал немецкий хирург Bösch, но он для пущей уверенности проводил через палец спицу. Удалял через три недели.

Сейчас покажу пример, как за 30 секунд можно избавиться от болезненной шишки на внешнем крае стопы.

-14

-15

-16

Линия остеотомии идет косо, и сухожилия сами стягивают выступающую кость в правильное положение. За 4 недели она срастётся даже без фиксации. Да, перелом. Да, без фиксации. Да, можно ходить. Невероятно, но факт.

Любопытно, что эта история с хирургией стопы развивается по некоей спирали: бесплатно-недорого-дорого-недорого-почти бесплатно.

Диалектика!