Добавить в корзинуПозвонить
Найти в Дзене
Ferra.ru

Учёные создали в лаборатории ключевой признак болезни Паркинсона

Ученые из Монреальского института неврологии воссоздали процесс образования телец Леви в нейронах человека, что является важным шагом к пониманию болезни Паркинсона. В ходе эксперимента использовались стволовые клетки для создания дофаминергические нейронов, наиболее подверженных риску при этом заболевании. Ключевой вывод исследования — образование телец Леви происходит только при сочетании двух факторов: повышения уровня белка альфа-синуклеина и стимуляции иммунной системы. Без этого иммунного ответа тельца не формируются, что указывает на важную роль воспалительных процессов в развитии болезни. Это открытие также показывает, что тельца Леви не состоят исключительно из неправильно свернутых белков, как считалось ранее, а содержат мембраны и фрагменты других клеточных структур. Этот новый взгляд на природу телец Леви может помочь в разработке эффективных лекарств. Результаты исследования подчеркивают, что воздействие на иммунную систему может играть ключевую роль в развитии болезни Пар

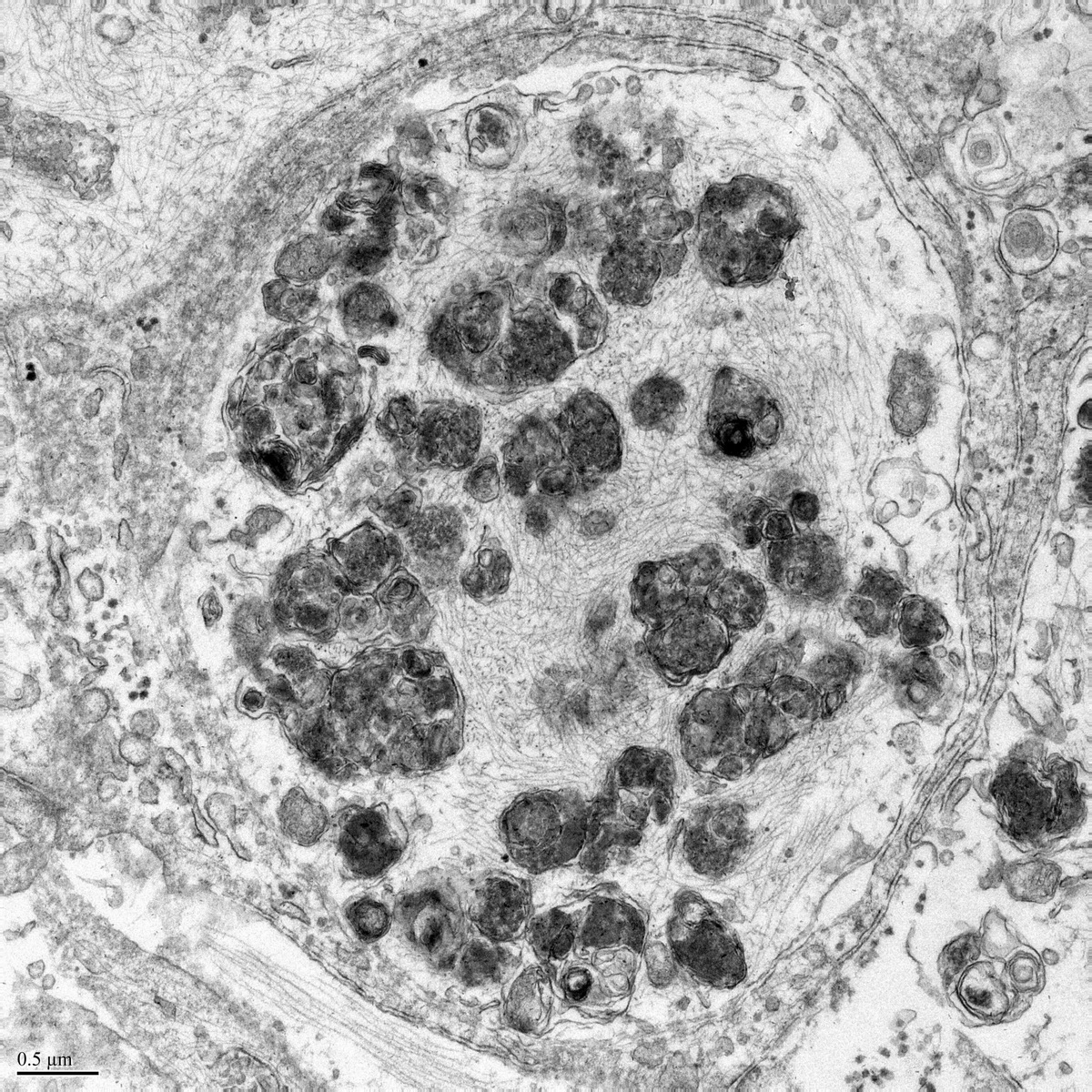
Ученые из Монреальского института неврологии воссоздали процесс образования телец Леви в нейронах человека, что является важным шагом к пониманию болезни Паркинсона. В ходе эксперимента использовались стволовые клетки для создания дофаминергические нейронов, наиболее подверженных риску при этом заболевании.

Ключевой вывод исследования — образование телец Леви происходит только при сочетании двух факторов: повышения уровня белка альфа-синуклеина и стимуляции иммунной системы. Без этого иммунного ответа тельца не формируются, что указывает на важную роль воспалительных процессов в развитии болезни.

Это открытие также показывает, что тельца Леви не состоят исключительно из неправильно свернутых белков, как считалось ранее, а содержат мембраны и фрагменты других клеточных структур. Этот новый взгляд на природу телец Леви может помочь в разработке эффективных лекарств.

Результаты исследования подчеркивают, что воздействие на иммунную систему может играть ключевую роль в развитии болезни Паркинсона, даже если у человека нет генетической предрасположенности к этому.

   Armin Bayati from Peter McPherson Lab, The Neuro
Armin Bayati from Peter McPherson Lab, The Neuro