Добавить в корзинуПозвонить
Найти в Дзене
Ильинская больница

Рак молочной железы: рентгенологическая картина может быть обманчива

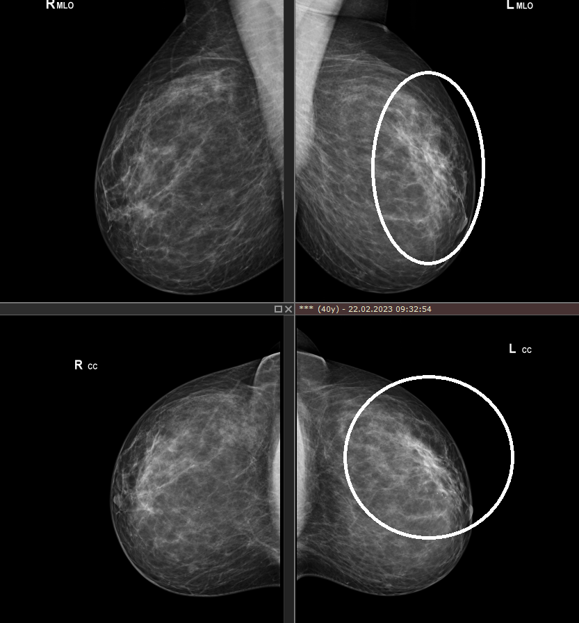
Здоровье сбережешь, от беды уйдешь. (русс.народн. посл.) История 40-летней пациентки началась с того, что при плановой маммографии была выявлена тотальная асимметрия (между правой и левой молочной железой), с подозрением на злокачественный процесс в левой молочной железе. Повышенный риск в отношении рака молочной железы не выявлен. Асимметрия на маммограммах отмечалась в двух проекциях, была достаточно выраженной, до 7 см в наибольшем измерении, и при раке молочной железы имела бы клиническое отображение (рис.1). Но ни при осмотре, ни при пальпации изменения структуры железы не были выявлены. При УЗИ молочных желез также не были выявлены изменения, и с целью дообследования пациентке было назначено МРТ. При МРТ молочных желез с внутривенным контрастированием в левой железе не было выявлено никаких изменений (!), но в правой молочной железе в нижне-внутреннем квадранте отчетливо определялось патологическое образование 9.0 х 7.5 мм, быстро и неоднородно накапливающее контрастное в-во, с п

Здоровье сбережешь, от беды уйдешь. (русс.народн. посл.)

История 40-летней пациентки началась с того, что при плановой маммографии была выявлена тотальная асимметрия (между правой и левой молочной железой), с подозрением на злокачественный процесс в левой молочной железе.

Повышенный риск в отношении рака молочной железы не выявлен.

Асимметрия на маммограммах отмечалась в двух проекциях, была достаточно выраженной, до 7 см в наибольшем измерении, и при раке молочной железы имела бы клиническое отображение (рис.1).

Но ни при осмотре, ни при пальпации изменения структуры железы не были выявлены.

При УЗИ молочных желез также не были выявлены изменения, и с целью дообследования пациентке было назначено МРТ. При МРТ молочных желез с внутривенным контрастированием в левой железе не было выявлено никаких изменений (!), но в правой молочной железе в нижне-внутреннем квадранте отчетливо определялось патологическое образование 9.0 х 7.5 мм, быстро и неоднородно накапливающее контрастное в-во, с признаками его вымывания в отсроченную фазу контрастирования (рис.2). Все это свидетельствовало в пользу злокачественного новообразования.

-2

Для верификации диагноза показана биопсия образования под контролем метода, который выявляет его более отчетливо. Но образование отчётливо визуализировалось только при МРТ.

Простота исполнения, более краткое время процедуры, меньшая травматизация и стоимость процедуры в ряде случаев делают трепан-биопсию под УЗ-контролем более предпочтительной, чем вакуумная биопсия под МР-контролем. При прицельном УЗИ правой молочной железы достоверно патологическое образование не визуализировалось. Был произведен прицельный рентгеновский снимок правой молочной железы с локальной компрессией зоны интереса – патологическое образование также не определялось (рис.3.).

-3

Ориентируясь на местоположение новообразования по данным МРТ при повторном прицельном УЗИ с трудом было выявлено новообразование, мало отличающееся от окружающих тканей, без УЗ-признаков злокачественности. (рис. 4) По результатам произведенной трепан-биопсии был установлен окончательный диагноз: рак молочной железы.

-4

С учетом ранней стадии заболевания на первом этапе пациентке выполнена операция в объеме резекции молочной железы с биопсией сигнального лимфатического узла. Онкопластическая операция позволила сделать незаметным хирургическое лечение – послеоперационные рубцы располагаются в складке под молочной железой (доступ к опухоли) и в правой аксиллярной области (рис. 5).

Окончательный диагноз: инвазивный протоковый рак молочной железы pT1cN0 (sn) Pn0 R0, G2, люминальный В, HER2 -негативный.

Из этой непростой истории можно сделать следующие выводы: и рентгенологическая картина даже в двух проекциях может быть обманчива, рак крайне редко, но может быть не виден ни при маммографии, ни при УЗИ, а только при МРТ.

"Здоровье — мудрых гонорар". Пьер-Жан Беранже

Автор: маммолог, мультимодальный лучевой диагност заболеваний молочной железы Якобс Ольга Эдмундовна