Добавить в корзинуПозвонить
Найти в Дзене

Доброкачественные новообразования: Киста

Данный вид опухоли представляет собой полость в тканях и органах у которой имеется стенка и содержимое. В истинных кистах стенка изнутри выстлана эпителиальными клетками. Самые частые виды кист – ретенционные, возникающие в органах, выделяющих какой ни будь секрет или жидкость (поджелудочная железа, молочная железа, почки, яичники и пр.). При сгущении секрета, закупорки или сдавлении протока, жидкость накапливается – образуется истинная киста. Рамолиционные кисты (от размягчения) образуются в местах некроза после кровоизлияния, воспаления или инфаркта. Происходит размягчение, рассасывание мертвых тканей с формированием полости – ложная киста, стенка которой состоит из тканей самого органа. Часто такие кисты образуются после инсультов. Паразитарные кисты развиваются при заражении ленточными червями в их личиночной стадии (эхинококк, цистицерк). При эхинококкозе человек является промежуточным хозяином паразита, заражение происходит при употреблении пищи или воды, обсемененной яйцами или

Данный вид опухоли представляет собой полость в тканях и органах у которой имеется стенка и содержимое. В истинных кистах стенка изнутри выстлана эпителиальными клетками.

Самые частые виды кист – ретенционные, возникающие в органах, выделяющих какой ни будь секрет или жидкость (поджелудочная железа, молочная железа, почки, яичники и пр.). При сгущении секрета, закупорки или сдавлении протока, жидкость накапливается – образуется истинная киста.

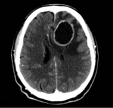
Рамолиционные кисты (от размягчения) образуются в местах некроза после кровоизлияния, воспаления или инфаркта. Происходит размягчение, рассасывание мертвых тканей с формированием полости – ложная киста, стенка которой состоит из тканей самого органа. Часто такие кисты образуются после инсультов.

Паразитарные кисты развиваются при заражении ленточными червями в их личиночной стадии (эхинококк, цистицерк). При эхинококкозе человек является промежуточным хозяином паразита, заражение происходит при употреблении пищи или воды, обсемененной яйцами или личинками паразита. Далее с током крови паразит чаще всего попадает в печень, где развивается киста.

Травматические кисты, чаще всего ложные, возникающие после ушибов, ранений в результате скопления крови и некротизации поврежденных тканей.

Дизонтогенетические – это врождённые кисты в результате внутриутробных нарушений развития полых органов, эмбриональных каналов и щелей. Могут располагаться в любом органе.

В большинстве случаев кисты бессимптомны и обнаруживаются случайно. Клинические проявления обычно связаны с ростом кисты или ее расположением. Например, маленькая киста в почке может никак не проявляться, а в головном мозге приводить к головным болям, эпилепсии. С другой стороны, по мере роста киста почки нарушает ее работу, приводя к повышению артериального давления, развитию почечной недостаточности.

С учетом того, что кисты бывают разные, опасность их определяется ростом и расположением, тактику лечения может определить только профильный врач.