Добавить в корзинуПозвонить
Найти в Дзене

Удаляем здоровые зубы ребенку! 12 лет наблюдений! Реальный пример. (Часть 2)

В прошлой статье мы обсудили как удалили Тане в 8 лет нижние "восьмёрки" (они же зубы мудрости). Зачем, почему, как так можно и почему не лишили диплома) можно и нужно почитать здесь. Мы благодарим всех кто сопереживал Тане хвалил и критиковал нас. Ваша обратная связь позволяет нам совершенствоваться. Ну а мы продолжаем. Красивая девочка со слишком крупными красивыми зубами! Прогнозирование возможности самопроизвольного роста челюстей для исправления скученного положения зубов. Об этом мы уже писали здесь и здесь. ИИИ, к сожалению, баланс пространства не в Танину пользу! Что делаем?? Убираем молочные клыки! Зачем? Чтобы дать возможность передним зубам (резцам) расправиться самопроизвольно! ИИИ? Ничего! Просто ждем! Мы ничего не делаем! Правда, Таня умудрилась потерять один молочный зуб раньше времени и мы поставили ей распорку! Зачем? Чтобы неровные зубы выравнивались в нужную нам сторону! Мы продолжаем расправлять Танины неровные зубы силой мысли)! Ну почти. И удаляем первые молоч
Оглавление

В прошлой статье мы обсудили как удалили Тане в 8 лет нижние "восьмёрки" (они же зубы мудрости). Зачем, почему, как так можно и почему не лишили диплома) можно и нужно почитать здесь. Мы благодарим всех кто сопереживал Тане хвалил и критиковал нас. Ваша обратная связь позволяет нам совершенствоваться.

Ну а мы продолжаем.

Итак, наша Таня в 8 лет (Этап №1)

Красивая девочка со слишком крупными красивыми зубами!

И как уже говорили на первом этапе мы удаляем нижние "восьмерки" в 8 лет
И как уже говорили на первом этапе мы удаляем нижние "восьмерки" в 8 лет
-3

Следующий шаг (Этап №2)

Прогнозирование возможности самопроизвольного роста челюстей для исправления скученного положения зубов. Об этом мы уже писали здесь и здесь. ИИИ, к сожалению, баланс пространства не в Танину пользу!

Что делаем?? Убираем молочные клыки!

Зачем? Чтобы дать возможность передним зубам (резцам) расправиться самопроизвольно!

Без каких бы то ни было пластинок и/или дополнительных аппаратов!

Удаление молочных клыков в 9 лет
Удаление молочных клыков в 9 лет
-5

ИИИ? Ничего! Просто ждем!

10  лет
10 лет

Мы ничего не делаем! Правда, Таня умудрилась потерять один молочный зуб раньше времени и мы поставили ей распорку!

Зачем? Чтобы неровные зубы выравнивались в нужную нам сторону!

И больше ничего!

Этап №3

-7

Мы продолжаем расправлять Танины неровные зубы силой мысли)! Ну почти.

И удаляем первые молочные крупные зубы (моляры)!

Зачем?? Чтобы дать возможность быстрее прорезаться первым постоянным премолярам (быстрее клыков)!

ИИИ! Опять ничего не делаем! Почти. У Тани рано прорезываются постоянные зубы. Потому вместе с первыми молочными коренными зубами "ушли и вторые" И мы поставили аппарат для удержания положения верхних коренных постоянных зубов от нежелательных смещений!

Тане почти 11 лет.
Тане почти 11 лет.

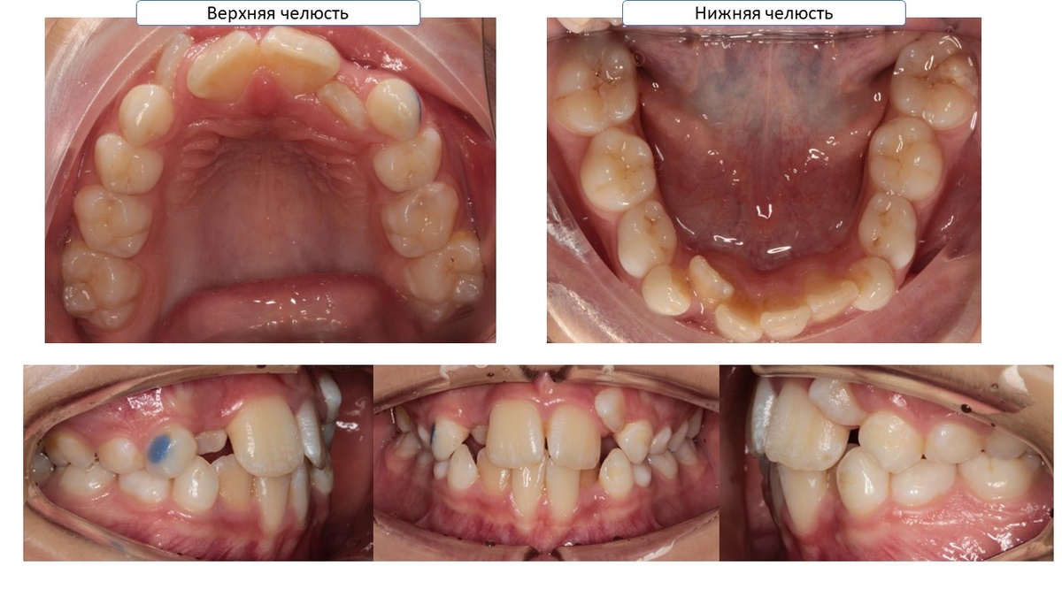
Этап 4

Наша Таня выглядит теперь так!

-9

И мы должны вернуть пространство, которое заняли у других постоянных зубов.

-10

Да! Как бы ужасно это не выглядело! Мы удаляем Первые постоянные премоляры!

Тане 12 лет
Тане 12 лет

ИИИ опять НИЧЕГО НЕ ДЕЛАЕМ!

Мы просто ждем! Да что это за лечение такое?

14 лет
14 лет
14 лет
14 лет

Итак, что мы такое сотворили??

  1. Мы удалили нижние "восьмерки"!
  2. Мы удалили все четыре молочных клыка!
  3. Мы удалили все четыре первых молочных моляра!
  4. Мы удалили все четыре первых постоянных премоляра!
  5. И мы палец о палец не ударили, чтобы хоть как-то это предотвратить!
Гроссмейстер жертвует ферзя! Но это же здоровые зубы!
-14

Как так можно?! Изверги! Как на такое вообще родители согласились??

А вот представьте!

Напомню, что Таня племянница моего школьного, институтского и профессионального друга. Одного из лучших терапевтов, ортопедов стоматологов, которых я знаю!

Как он такое допустил!!?? Он поверил школьному другу! И не ошибся!

Метод сей был разработан еще в прошлом веке. И называется он последовательное удаление по Хотцу.

Сейчас его почти забыли!

Дабы не тревожить психику "клиентов"! (ведь так сейчас пациенты именуются) и оставить их поближе к нежному любящему и заботливому доктору ортодонту о таких "зверствах" пытаются даже не вспоминать!

Хотя, по факту, если отбросить лирику, - это один из наиболее эффективных и стабильных методов исправления неровного положения зубов выраженностью более 6 мм!

А были ли альтернативы?? Разве это единственный способ? И что на этом все?? Зубы то так полностью и не выровнялись! Разве оно того стоило???

Все это мы обсудим в продолжении Таниного случая на основании Ваших комментариев в следующей статье!

Предварительно информацию по этому случаю можно посмотреть здесь

Напишите, что Вы думаете по этому поводу? Мы обязательно ответим каждому. Так же ставьте лайки 👍, нам будет приятно, что вы оценили нашу статью. Подписывайтесь на наш канал, здесь будет много интересного.

Наши сайты: AMDybov.ru Orthochild.ru Gnathica.ru Gorstomcentr.ru

Тел: +74995770307; Whatsapp, Telegram: +79771113611

Москва ул. Генерала Ермолова 10/6 "ГорСтомЦентр"

Автор статьи: доктор медицинских наук, доцент Дыбов Андрей Михайлович.