Найти в Дзене

Инсульты: причины, классификация

Ишемические инсульты, на которые приходится большинство инсультов, можно подразделить в зависимости от причины. Классификация TOAST была разработана для классификации причин ишемического инсульта: Инфаркты размером более 15–20 мм, поражающие кору головного мозга, мозжечок, ствол мозга и подкорковые области, обычно вызываются заболеванием крупных сосудов, возникающим в результате атеросклероза шейных или проксимальных внутричерепных сосудов. Оценка состояния шейной и внутричерепной сосудистой сети имеет решающее значение при подозрении на атеросклероз крупных сосудов как причину инсульта. Механизм инфаркта, вторичного по отношению к атеросклерозу экстракраниальных сосудов, представляет собой сочетание состояний низкого кровотока и межартериальной эмболии, причем последняя считается более значимым фактором Инсульты при атеросклерозе сонных артерий чаще всего поражают среднюю мозговую артерию (СМА), приводя к объёмному инсульту, поражающему центральную часть мозга, включая
Оглавление

Ишемические инсульты, на которые приходится большинство инсультов, можно подразделить в зависимости от причины.

Классификация TOAST была разработана для классификации причин ишемического инсульта:

  • Атеросклероз крупных артерий (эмболия или тромбоз).
  • Кардиоэмболический.
  • Лакунарный (Окклюзия мелких сосудов)
  • Инсульт по другой определенной причине или необычной причине.
  • Инсульт неустановленной причины.

Атеросклероз крупных артерий

Инфаркты размером более 15–20 мм, поражающие кору головного мозга, мозжечок, ствол мозга и подкорковые области, обычно вызываются заболеванием крупных сосудов, возникающим в результате атеросклероза шейных или проксимальных внутричерепных сосудов. Оценка состояния шейной и внутричерепной сосудистой сети имеет решающее значение при подозрении на атеросклероз крупных сосудов как причину инсульта. Механизм инфаркта, вторичного по отношению к атеросклерозу экстракраниальных сосудов, представляет собой сочетание состояний низкого кровотока и межартериальной эмболии, причем последняя считается более значимым фактором

Инсульты при атеросклерозе сонных артерий чаще всего поражают среднюю мозговую артерию (СМА), приводя к объёмному инсульту, поражающему центральную часть мозга, включая переднюю теменную долю, заднюю лобную долю и верхнюю височную долю. В клинике гемипарез, могут развится речевые нарушения, нарушения функции тазовых органов, асимметрия лица.

Пациент с правосторонним гимипарезом
Пациент с правосторонним гимипарезом

Территория передней мозговой артерии (ПМА) часто сохраняется из-за Виллизиева круга (защитная система анастамозов).

Патогенез инсульта в этих случаях задействован множественными механизмами, включая эмболию между артериями, тромбоэмболию и гемодинамические нарушения, в том числе повышение артериального давления .

Атеросклероз крупных сосудов, поражающий вертебробазилярную систему (позвоночные артерии, основную артерию, задние мозговые артерии ) также может приводить к инсульту мозжечка, продолговатого мозга, среднего мозга и таламусов.

При обнаружении какой-либо из моделей визуализации, обсуждавшихся ранее, очень важно оценить сосудистую сеть на предмет атеросклероза крупных сосудов как причины острого инсульта. Такая оценка может быть выполнена с помощью КТ-ангиографии (КТА), магнитно-резонансной (МР) ангиографии (МРА) или цифровой субтракционной ангиографии (DSA).

Кардиоэмболический

Кардиоэмболические источники составляют от 20% до 31% острых ишемических инфарктов. Такие инфаркты чаще всего проявляются на МРТ в виде множественных очагов ограниченной диффузии, вовлекающих несколько сосудистых территорий, которые часто являются двусторонними. При выявлении этой закономерности крайне важно рассмотреть возможность дальнейшей оценки состояния сердца, включая дополнительную диагностическую визуализацию, а именно ЭХО-кардиоскопию. Существует несколько причин кардиоэмболических заболеваний, включая фибрилляцию предсердий, инфаркт миокарда с тромбом левого желудочка и инфекционный или воспалительный эндокардит.

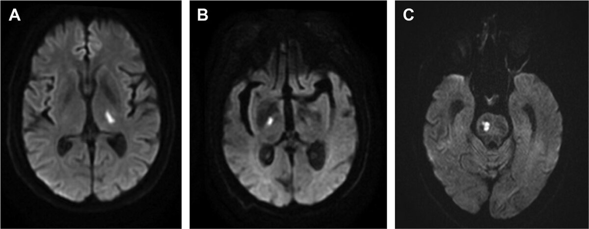
Окклюзия мелких артерий (лакунарный инфаркт)

Окклюзии мелких артерий можно предполагать как причину инфарктов размером < 20 мм без признаков других нарушений, таких как сосудистые заболевания, вазоспазм или кардиоэмболический источник. На эти окклюзии приходится от 10% до 23% острых инсультов. Факторы риска включают диабет и гипертонию. Лакунарные инфаркты чаще всего наблюдаются в базальных ганглиях, внутренней капсуле, лучистой короне и стволе мозга. Исключение заболевания проксимальных сосудов имеет решающее значение для диагностики. Вторичные результаты визуализации, которые могут указывать на заболевание мелких сосудов как причину инфаркта, включают наличие хронических лакунарных инфарктов, церебральных микрокровоизлияний, ишемической болезни белого вещества, выраженных периваскулярных пространств и церебральной атрофии.

Инфаркты размером менее 20 мм в типичных для инфарктов мелких сосудов местах соответствуют лакунарным инфарктам. ( А ) Аксиальная диффузионно-взвешенная МРТ демонстрирует острый инфаркт левого таламуса у курильщика с гиперлипидемией. ( Б ) Аксиальная диффузионно-взвешенная МРТ демонстрирует острый инфаркт правой внутренней капсулы у пациента с множественными сосудистыми факторами риска. ( C ) Аксиальная диффузионно-взвешенная МРТ демонстрирует острый инфаркт правого моста у пациента с гиперлипидемией и гипертонией.
Инфаркты размером менее 20 мм в типичных для инфарктов мелких сосудов местах соответствуют лакунарным инфарктам. ( А ) Аксиальная диффузионно-взвешенная МРТ демонстрирует острый инфаркт левого таламуса у курильщика с гиперлипидемией. ( Б ) Аксиальная диффузионно-взвешенная МРТ демонстрирует острый инфаркт правой внутренней капсулы у пациента с множественными сосудистыми факторами риска. ( C ) Аксиальная диффузионно-взвешенная МРТ демонстрирует острый инфаркт правого моста у пациента с гиперлипидемией и гипертонией.

Необычные причины

Примерно от 2% до 11% ишемических инсультов имеют необычные причины. Хотя это встречается редко, важно учитывать атипичные причины после исключения общих причин, поскольку это имеет важные последствия для лечения. Васкулопатии составляют значительную часть необычных причин инсульта, в дополнение к другим причинам, таким как состояния гиперкоагуляции (повышенная свертываемость), гематологические нарушения, сосудистые шунты справа налево и расслоение артерий. Хотя многие из этих болезненных процессов выглядят одинаково, определенные закономерности поражения сосудов и вторичные результаты визуализации могут помочь выяснить основную причину.

Васкулопатии

Васкулопатии, поражающие проксимальные сосуды, часто приводят к территориальным инфарктам перфорантных сосудов, снабжающих глубокое белое вещество и базальные ганглии. Также может наблюдаться компонент субарахноидального кровоизлияния. Обширные коллатерали присутствуют при болезни моя-моя и серповидноклеточной анемии. Болезнь Моя-моя может проявляться как у детей, так и у взрослых, обычно в виде рецидивирующих обширных территориальных инфарктов. У детей инфаркты чаще бывают ишемическими, тогда как у взрослых чаще геморрагическими. Сосудистая визуализация имеет решающее значение и показывает стеноз или окклюзию дистальной части внутренней сонной артерии (ВСА) и ее проксимальных ветвей с сохранением заднего кровообращения. Наиболее заметной особенностью визуализации является обширная коллатеральная васкуляризация, лучше всего видимая при визуализации сосудов.

Васкулопатии, поражающие артерии второго и третьего порядка, часто приводят к кортикальным инфарктам в дистальных сосудах, обычно без поражения глубоких тканей. Эти инфаркты также могут быть геморрагическими. МР-ангиография с контрастным усилением может выявить усиление сосудистой стенки. Причины включают первичный ангиит ЦНС (ПАЦНС), гранулематоз с полиангиитом, узелковый полиартериит и саркоид. Инфекционные причины, такие как сифилис и опоясывающий герпес, также могут поражать сосуды второго и третьего порядка. Ангиография может выявить сегментарный стеноз, тромбоз и разрастание проксимальных СМА и ПМА. Может наблюдаться субарахноидальное кровоизлияние.

Диссекция

Другой необычной причиной острого инсульта является расслоение артерии. Это состояние часто возникает у молодых пациентов с очаговым дефицитом и головной болью или болью в шее, при возможном провоцирующем событии, часто травме. Инфаркт обычно имеет эмболическую причину, а не гипоперфузию. Сосудистая визуализация имеет решающее значение для оценки расслоения лоскута и стеноза или окклюзии, вторичной по отношению к расслоению. Однако при отсутствии визуализации сосудов дистальную диссекцию ВСА шейного отдела можно увидеть на обычной МРТ головного мозга, поэтому важно оценить сонные артерии у основания черепа на наличие каких-либо признаков диссекции.

Диссекция шейной сонной артерии. У 40-летнего мужчины, не имевшего анамнеза заболеваний, появилось острое опущение лица слева и боль в правой челюсти. ( А ) Аксиальное диффузионно-взвешенное изображение показывает правосторонние инфаркты теменной и хвостатой головки. ( B ) Аксиальная Т1-взвешенная последовательность показывает гиперинтенсивность вокруг правой каменистой ВСА, соответствующую крови в рассеченном лоскуте ( желтая стрелка ). ( C ) МРА шеи, выполненная для подтверждения, показывает гиперинтенсивность вокруг проксимальной части ВСА шейки матки на насыщенном жиром участке Т1 ( красная стрелка ). ( D ) На 3D-изображении MRA MIP показан возникший в результате гладкий стеноз длинного сегмента, простирающийся от дистальной части бифуркации до каменистой ВСА ( желтые стрелки
Диссекция шейной сонной артерии. У 40-летнего мужчины, не имевшего анамнеза заболеваний, появилось острое опущение лица слева и боль в правой челюсти. ( А ) Аксиальное диффузионно-взвешенное изображение показывает правосторонние инфаркты теменной и хвостатой головки. ( B ) Аксиальная Т1-взвешенная последовательность показывает гиперинтенсивность вокруг правой каменистой ВСА, соответствующую крови в рассеченном лоскуте ( желтая стрелка ). ( C ) МРА шеи, выполненная для подтверждения, показывает гиперинтенсивность вокруг проксимальной части ВСА шейки матки на насыщенном жиром участке Т1 ( красная стрелка ). ( D ) На 3D-изображении MRA MIP показан возникший в результате гладкий стеноз длинного сегмента, простирающийся от дистальной части бифуркации до каменистой ВСА ( желтые стрелки

Инсульт неопределенной причины

Эта категория применяется, когда выявлены множественные причины инсульта или их отсутствие. Причины, которые могут быть пропущены при традиционной визуализации сердца, обследовании сердца или визуализации сосудов, следует рассматривать как потенциальные причины криптогенного инсульта. К таким образованиям относятся открытое овальное окно, атеросклероз дуги аорты, пароксизмальная мерцательная аритмия, или нестенозирующий атеросклероз сонных артерий.

Итак, определение причины острого инсульта имеет решающее значение, поскольку от этого зависит ведение пациента. Особенности визуализации, такие как пораженные сосудистые территории, вовлеченные сосуды и вторичные данные, могут дать ключ к разгадке основной причины. Крайне важно понять эти закономерности визуализации, чтобы предположить причину или рекомендовать дальнейшую визуализацию для выяснения основной причины. После исключения крупных сосудов, мелких сосудов и источников кардиоэмболии следует рассмотреть необычные причины.