Добавить в корзинуПозвонить
Найти в Дзене
doc_evgrafova

«Ленивый» яичник

Этот термин я вспомнила по всем известному сериалу «Секс в большом городе». Я помню часто его смотрела во времена универа. Миранда приходит к гинекологу, проходит стандартные процедуры осмотра и узнаёт, что у нее один яичник «отказывается работать»(не вырабатывает яйцеклетки), возможно, даже устроил забастовку из-за отсутствия постоянного полового партнёра (по фильму ей 33 года). - Primary Ovarian Insufficiency*. * Первичная недостаточность яичников, также называемая «преждевременной недостаточностью яичников», «преждевременной менопаузой» - представляет собой частичную или полную потерю репродуктивной и гормональной функции яичников в возрасте до 40 лет из-за фолликулярной дисфункции или ранней потери яйцеклеток. Проблема POI встречается примерно у 1 из 10 000 женщин в возрасте до 20 лет, у 1 из 1000 женщин в возрасте до 30 лет и у 1 из 100 женщин в возрасте до 40 лет. Надо сказать, что в последнее время подобное происходит всё чаще и чаще. Это НЕ преждевременная менопауза! В последне

Этот термин я вспомнила по всем известному сериалу «Секс в большом городе». Я помню часто его смотрела во времена универа.

Миранда приходит к гинекологу, проходит стандартные процедуры осмотра и узнаёт, что у нее один яичник «отказывается работать»(не вырабатывает яйцеклетки), возможно, даже устроил забастовку из-за отсутствия постоянного полового партнёра (по фильму ей 33 года). - Primary Ovarian Insufficiency*.

* Первичная недостаточность яичников, также называемая «преждевременной недостаточностью яичников», «преждевременной менопаузой» - представляет собой частичную или полную потерю репродуктивной и гормональной функции яичников в возрасте до 40 лет из-за фолликулярной дисфункции или ранней потери яйцеклеток. Проблема POI встречается примерно у 1 из 10 000 женщин в возрасте до 20 лет, у 1 из 1000 женщин в возрасте до 30 лет и у 1 из 100 женщин в возрасте до 40 лет.

Надо сказать, что в последнее время подобное происходит всё чаще и чаще. Это НЕ преждевременная менопауза! В последнем случае нельзя забеременеть и менструации просто прекращаются до 40 лет, а при преждевременном истощении яичника(ов) можно забеременеть, и менструации дают о себе знать, не всегда регулярно, но есть.

Причина? В 90% случаев - неизвестна. Но это проблема фолликула*.

* Фолликул яичника - структурный компонент яичника, состоящий из яйцеклетки, окружённой слоем эпителиальных клеток и двумя слоями соединительной ткани. Во время полового созревания в норме у женщин насчитывается примерно от 200 до 300 тысяч штук.

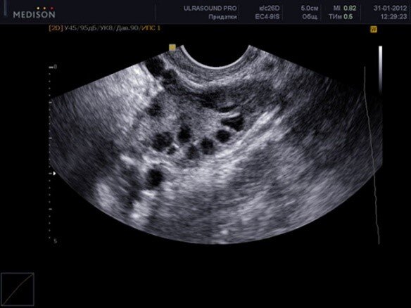
В норме яичник выглядит вот так. Он напичкан фолликулами - это пузырьки или мешочки с жидкостью, где развиваются яйцеклетки, что бы затем встретиться со сперматозоидом.

*здоровый яичник
*здоровый яичник
*детально
*детально

И это лишь те, которые мы видим, об остальных мы только знаем, так как 120 дней развивается каждый из этих фолликулов, из 120 дней, только последние 14 дней они видны на УЗИ, а остальные растут и ждут своего часа. 10-15 пузырьков начинают расти каждый цикл и лишь один вырывается в лидеры, чтобы увидеть «просвет» маточной трубы (и либо дать жизнь, либо уйти в небытие, также как и его коллеги по яичнику).

И проблема заключается в том, что рабочие фолликулы заканчиваются или работают не должным образом. В 10% случаев мы можем связать это с хирургическим токсическим воздействием(об этом будет отдельная статья), генетической патологией Х хромосомы, аутоиммунными заболеваниями, образом жизни…

Надеюсь, статья оказалась вам полезной (ну или просто интересной). Ставьте лайки, оставляйте комментарии.

#медицина #бесплодие #мужскоездоровье #женскоездоровье #репродукция #эко #семья #дети #здоровье