Добавить в корзинуПозвонить
Найти в Дзене
Parodoctor

Кариес корня - удалить нельзя лечить. Фотографии чёрных зубов, растрёпанной коффердамом десны - показываю то, во что всё превратилось

Покажу вам кариесы, которые мало кого оставят равнодушным. Кого-то испугают, а кто-то увидит родное, знакомое - очень многие живут с подобным и не знают, что это - лечится. Хотя выглядит так, будто шансов у зубов на жизнь не осталось. Кариес корня... Если не удаление, так коронация точно. Скажу, что не только удалось обойтись без коронок, но и нервы целы-невредимы сохранить получилось - чем не чудо? Повезло человеку с доктором. У кого из нас не было кариеса? Покажите мне этого счастливчика. Кто-то излечился и ходит на профилактики, а кто-то не вылазит из кабинета терапевта - по кругу лечит перелеченное, конца и края не видит. Смирился с судьбой или продолжает бороться. Может...терапевта нормального у кое-кого не было? Или УСЛОВИЙ у того нормального, к кому кое-кто ходит, НЕТ? Можно не отвечать. ОБЯЗАНЫ лечить по ним и будет счастье. Всегда и у всех. Так ли это? На бумаге - да. В жизни даже такое распространённое заболевание, каким является КАРИЕС, лечится по-разному, в зависимости
Оглавление

Покажу вам кариесы, которые мало кого оставят равнодушным. Кого-то испугают, а кто-то увидит родное, знакомое - очень многие живут с подобным и не знают, что это - лечится. Хотя выглядит так, будто шансов у зубов на жизнь не осталось. Кариес корня... Если не удаление, так коронация точно.

Скажу, что не только удалось обойтись без коронок, но и нервы целы-невредимы сохранить получилось - чем не чудо? Повезло человеку с доктором.

У кого из нас не было кариеса? Покажите мне этого счастливчика.

Кто-то излечился и ходит на профилактики, а кто-то не вылазит из кабинета терапевта - по кругу лечит перелеченное, конца и края не видит. Смирился с судьбой или продолжает бороться.

Может...терапевта нормального у кое-кого не было? Или УСЛОВИЙ у того нормального, к кому кое-кто ходит, НЕТ? Можно не отвечать.

Все наслышаны о протоколах лечения кариеса

ОБЯЗАНЫ лечить по ним и будет счастье. Всегда и у всех. Так ли это?

На бумаге - да. В жизни даже такое распространённое заболевание, каким является КАРИЕС, лечится по-разному, в зависимости от состояния зуба.

  • В простых ситуациях проблем нет, там всё более-менее стандартно.

Но существует ли универсальный успешный протокол лечения кариеса, дошедшего до глубоких слоёв дентина, с гарантией 100%? Нет. Представляете? Невозможно гарантировать успех. Судьба зуба всецело зависит от стоматолога-терапевта и его навыков.

  • Касается не только подобного кариеса, а вообще любого лечения. Невозможно гарантировать, что имплантат приживётся. Что лечение и перелечивание каналов будет успешным.

Гарантии распространяются на изделие (пломба, коронка, протез и сам имплантат), но не на то, как это всё будет себя чувствовать в организме... Ибо мы не роботы. Мозг человека ещё не настолько изучил процессы и их взаимосвязи, происходящие в теле на разных уровнях, что бы знать все тонкости. Топорненькие мы умом, покамест. Но сложные организмом. Поэтому ум не дотянул до гарантий. И мой, и ваш, и любой - не дотягивает до знаний вселенского уровня🥲 Может, и к счастью.

"Глубокий" кариес множества поверхностей зуба, лечение кариеса корня зуба

Зловещее комбо. Ждёт ли нас успех? Вот и посмотрим.

Цель визита человека - санация полости рта. Пациент не из Санкт-Петербурга, поэтому время нахождения в городе ограничено. Доктору нужно было выявить и вылечить те зубы, что требовали вмешательства первоочерёдного.

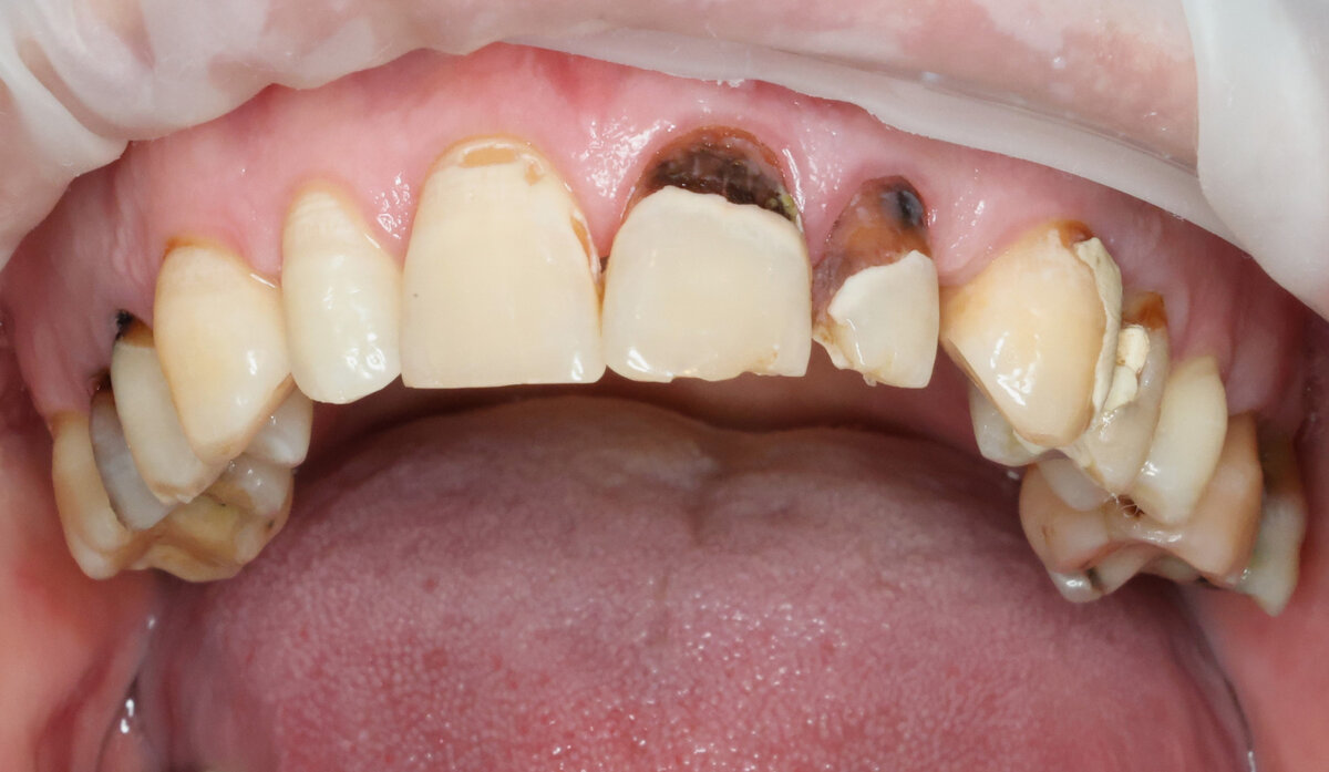
Визит №1 - верхняя челюсть, кариес 2.1 и 2.2 зубов

Ситуация до:

Кариес 2.1 и 2.2 зубов
Кариес 2.1 и 2.2 зубов

На фото видим значительное поражение пришеечных поверхностей, переходящее на контактные пункты и уходящее ниже уровня десны. И без рентгена видно, что кариес не "средний"...

  • В первую очередь необходимо выяснить - живые зубы или нет? Что с пульпой (нерв)? От этого зависит тактика лечения.

В этом нам помогает ФРИЗ-ТЕСТ, о котором подробно писали тут:

Зуб давно с кариесом, но особо не беспокоит. Как понять, нужна простая пломба, или уже сложное и дорогое лечение каналов?
Parodoctor5 июля 2023

Кратко суть - сильно охлаждённый ватный шарик прикладываем к нужному зубу. Если пульпа жива и не воспалена, реакция (болевая) возникнет быстро (положительная) и так же быстро пройдёт (кратковременная). При пульпите реакция наступает быстро, но полностью не проходит, а то и усиливается. При периодонтите, когда пульпа уже погибла, реакции не будет вовсе.

В данном случае тест 2.1.и 2.2 зубов кратковременно-положительный. Зубы живы, пульпа цела. Настраиваемся на консервативные, щадящее лечение. Хотя условия, конечно... Тяжёлые.

На срезах КЛКТ видим, насколько близко кариес подобрался к нерву. Ещё и под десну пополз - захватывает и самую близкую к эмали часть корня. Поражение корня круговое (циркулярное), это ещё более усложняет восстановление.

После анестезии препарирование производится на низких скоростях, позволяющих удалить только кариозные ткани и не затронуть здоровые - именно так мы постараемся "не вскрыть нерв", находясь от него неприлично близко, всего в нескольких десятых миллиметра.

Кариозные ткани должны быть удалены полностью, на 100%. Останется хоть что-то - процесс пойдет под десну ещё глубже, никакой изоляции при лечении не получится и путь один - удаление зуба.

Зуб 2.1 изоляция
Зуб 2.1 изоляция

Постановка изоляции в таком случае - та ещё задачка. Десна отодвигается и под неё "засовывается" ретракционная нить - остановка или предупреждение кровотечения, уменьшение выделения десневой жидкости. Для большей надёжности поверх ретракционной нити укладываем тефлон. Затем устанавливаем коффердам.

Процесс не шустрый, неоднократные правки, добавки и убавки - необходимо добиться сухости и хорошего прилегания будущей пломбы.

Зуб 2.2 изоляция
Зуб 2.2 изоляция

Те же самые манипуляции осуществляем со вторым зубом. К сожалению, врач не смог изолировать 2 зуба одновременно, поэтому все действия проводились уже после восстановления первого зуба. На прогноз не влияет никак, но процесс затягивается.

После изоляции начинается послойное восстановление стенок, затем передней поверхности зуба. После завершения восстановления все изоляционные системы удаляются и начинается этап введения в прикус и полировки.

Итог
Итог

Никаких нависающих краёв и неровностей быть не должно - оставь мы их, будет копиться налёт, что приведёт к постоянному воспалению десны и рецидиву кариеса по границе пломба/зуб. На фото выше видна ощутимая травматизация десны, поэтому оно в ЧБ варианте (цвет смотрите в моём телеГ канале - называется так же, как этот блог).

Травматизация - неизбежность, но восстанавливается очень быстро. Фото ниже - прошло 2 дня.

Зубы 2.1 и 2.2 - через 2 дня после лечения
Зубы 2.1 и 2.2 - через 2 дня после лечения

Видно, что десна почти полностью восстановилась. Пациенту ничего не пришлось делать, хотя можно пользоваться кератопластиками. Хотя и без них регенерация слизистой полости рта весьма быстра.

Жалоб после лечения нет.

Визит №2 - нижняя челюсть, кариес 3.3 и 3.4 зубов

кариес 3.3 и 3.4 зубов
кариес 3.3 и 3.4 зубов

Ситуация ещё более печальная, чем рассмотренная выше. Поражение стенок 3.4 зуба сильнее, кариес корня не только вестибулярно, но и на контактах зубов. Фриз-тест кратковременно-положительный.

Пытаемся сохранить зубы живыми.

Срез КЛКТ, 3.3 и 3.4 зубы
Срез КЛКТ, 3.3 и 3.4 зубы

Картина очень похожа на то, что выше. Отличается количеством поверхностей поражённых (тут больше) и площади повреждения части корня 3.4 зуба, близкой к зоне эмали.

Но и этот уровень ещё поддаётся изоляции! Лечим. Этапы лечения те же самые, что описаны для первого визита и верхних зубов.

Изоляция 3.4 зуба:

Изоляция 3.4 зуба
Изоляция 3.4 зуба

Изоляция 3.3 зуба:

Изоляция 3.3 зуба
Изоляция 3.3 зуба

Аналогичным образом, не без сложностей, устанавливаем изоляцию на отпрепарированные зубы. Видно, что сообщения с пульпарной камерой нет, ткани плотные, при зондировании раздаётся характерный скрип.

Зуб 3.3
Зуб 3.3

Начинаем восстановительные работы.

Итог
Итог

А вот и итоговый результат после полировки. Десна опять травмирована (поэтому ЧБ), но это на пару дней.

Идеального протокола НЕТ

Гарантий НЕТ.

Не лечить вовсе? А, может, всё депульпировать, что бы точно наверняка?

Каждый терапевт сам выбирает свой вариант и протокол лечения.

Роман Юрьевич опирается при выборе на совокупность данных:

  • результат фриз-теста;
  • рентгенологическая картина;
  • реальность установки изоляции.

Есть возможность сохранить зуб живым - сохраняем обязательно. Нет - каналы лечим.

Это не значит, что только так и никак иначе, но для своих пациентов доктор выбирает именно такой подход, беря на себя (и на клинику - я поддерживаю) ответственность за зуб пациента.

От пациента требуется соблюдение всех рекомендаций, поддержание хорошего уровня гигиены, явка на профилактические осмотры после завершения лечения и протезирования.

Так же приветствуются пожелания насчёт будущих тем для терапии. Пишите, обязательно расскажем.

Лежачёва Н.А., стоматология Пародент, СПб.