Найти в Дзене
D2D Expert

Узел Шморля.

Определение Узел [грыжа] Шморля – внедрение студенистого ядра межпозвоночного диска в губчатое вещество тела позвонка с разрушением его замыкательной пластинки. Патогенез Патогенез грыж межпозвоночных дисков Термином «узел Шморля» («грыжа Шморля») обозначается локальный прорыв вещества диска за пределы его нормальных границ в структуру губчатого вещества тела позвонка. Локальный прорыв вещества диска может произойти через дефект в гиалиновой пластинке или фиброзном кольце. Первая локализация прорыва диска представляет собой классически принятый в настоящее время «узел Шморля», в то время как прорыв его через фиброзное кольцо часто обозначался термином «хрящевой узел диска». Локальные разрушения гиалиновой пластинки, лежащие в основе узлов Шморля, происходят в результате различных причин. Чаще всего узлы Шморля образуются вследствие локальных дистрофических изменений неполноценности позвоночного столба; иногда они могут возникать после однократной значительной травмы позвоночника. Сходн
Оглавление

Определение

Узел [грыжа] Шморля – внедрение студенистого ядра межпозвоночного диска в губчатое вещество тела позвонка с разрушением его замыкательной пластинки.

Патогенез

Патогенез грыж межпозвоночных дисков

Термином «узел Шморля» («грыжа Шморля») обозначается локальный прорыв вещества диска за пределы его нормальных границ в структуру губчатого вещества тела позвонка.

Локальный прорыв вещества диска может произойти через дефект в гиалиновой пластинке или фиброзном кольце. Первая локализация прорыва диска представляет собой классически принятый в настоящее время «узел Шморля», в то время как прорыв его через фиброзное кольцо часто обозначался термином «хрящевой узел диска». Локальные разрушения гиалиновой пластинки, лежащие в основе узлов Шморля, происходят в результате различных причин. Чаще всего узлы Шморля образуются вследствие локальных дистрофических изменений неполноценности позвоночного столба; иногда они могут возникать после однократной значительной травмы позвоночника. Сходное состояние может возникнуть при первичном различного характера разрушении замыкательной пластинки тела позвонка, в том числе при любом патологическом процессе, вызывающем деструкцию субхондрального участка костной ткани.

Дальнейшая динамика узла Шморля различна, в зависимости от характера реакции окружающей костной ткани. При медленно развивающихся узлах Шморля хрящевая ткань, постепенно внедряясь в тело позвонка, вызывает преимущественно атрофию костной ткани от давления. Образующееся при этом углубление в теле позвонка, являющееся ложем хрящевого узла, с самого начала покрыто тонкой замыкательной пластинкой, которая в виде скорлупы отграничивает хрящевую ткань от спонгиозной кости. Под влиянием продолжающегося давления со стороны студенистого ядра ложе хрящевого узла постепенно увеличивается, стенки его медленно перестраиваются.

Чаще вещество диска проникает в тело позвонка несколько быстрее и вызывает не столько атрофию от давления, сколько переломы и остеолиз отдельных костных пластинок. При таком течении патологического процесса происходит локальное разрушение соответствующего участка тела позвонка и проникшая в него хрящевая ткань оказывается окруженной обнаженным спонгиозным веществом, не покрытым замыкательной пластинкой.

Со временем из смежных участков спонгиозной кости в хрящевую ткань иногда врастает кровеносные сосуды, что приводит к фиброзному преобразованию узла Шморля, обычно без дальнейшей его динамики. Изредка впоследствии такой узел может оссифицироваться путем метаплазии соединительной ткани в костную. Часто кровеносные сосуды, проникшие из тела позвонка в узел Шморля, постепенно прорастают непосредственно в диск, что приводит к частичному или полному фиброзному его преобразованию. В этих случаях прорыв вещества диска в костную ткань заканчивается фиброзным блоком соответствующих позвонков.

В других случаях врастания сосудов в хрящевой узел не происходит и его ложе постепенно отграничивается от окружающей спонгиозной кости тонким слоем компактного вещества, т. е. принимает такой же вид, как ложе медленно развивающихся узлов, когда костная ткань подвергается преимущественно атрофии от давления.

Кроме хрящевых узлов, внедряющихся в тело позвонка, могут наблюдаться прорывы вещества диска через фиброзное кольцо. Они чаще приобретают клиническое значение, особенно если проникают в позвоночный канал или межпозвоночные отверстия.

В поясничном отделе позвоночника, где возникает подавляющее большинство узлов диска, они обычно прорываются через задний или заднебоковой участок фиброзного кольца. Это объясняется частотой задних и заднебоковых трещин фиброзного кольца поясничных дисков.

Клинические проявления

Наиболее типичные проявления: Дегенеративные изменения межпозвонковых дисков, как правило, протекают бессимптомно. Грыжи Шморля чаще рентгенологическая находка. Например, при проведении МРТ по поводу жалоб на боль на фоне других дегенеративных процессов или мышечно-тонических проявлений.

Лучевая диагностика

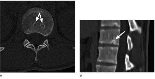
Узел Шморля при КТ визуализируется как очаг в губчатом веществе тела позвонка, прилежащий к замыкающей пластинке, плотностью +50...+60 HU, окруженный ободком повышенной до +250...+300 HU плотности.

Рис.1. КТ поясничного отдела позвоночника в аксиальной (а) и MPR-реконструкции в сагиттальной плоскости (б). Узлы Шморля. Нарушение целостности замыкательной пластинки тела позвонка.
Рис.1. КТ поясничного отдела позвоночника в аксиальной (а) и MPR-реконструкции в сагиттальной плоскости (б). Узлы Шморля. Нарушение целостности замыкательной пластинки тела позвонка.
Рис.2. МР-томограмма грудопоясничного отдела позвоночника. Т2-ВИ в сагиттальной плоскости. Узел Шморля.
Рис.2. МР-томограмма грудопоясничного отдела позвоночника. Т2-ВИ в сагиттальной плоскости. Узел Шморля.

МРТ-семиотика узла Шморля

МРТ обладает несомненными преимуществами по сравнению с КТ в выявлении перифокального отека костного узлу Шморля  в связи с получением изображений различных отделов позвоночника в трех взаимно перпендикулярных плоскостях, получения изображений в режиме жироподавления. МРТ в сагиттальной плоскости позволяет визуализировать весь отдел позвоночника.

На МР-томограммах при узлах Шморля определяется деформация замыкательной пластинки за счет внедрения части диска в губчатое вещество тела позвонка неправильно-округлой формы. Большие грыжи Шморля чаще располагаются в центре позвонка, сопровождаются его компрессией и снижением высоты диска.

Список используемой литературы

  1. Имхоф, Г. Лучевая диагностика. Позвоночник/ Гервиг Имхоф и соаврт.; пер. с англ. – 2-е изд. – М.: МЕДпресс-информ, 2015. – 320 с.: ил.
  2. Общее руководство по радиологии. Редактор Holger Petterssob / Русское издание: РА «Спас», 1996 г.
  3. Райзер, М. Лучевая диагностика. Костно-мышечная система/ Максимилиан Райзер, Андреа Баур-Мельник, Кристиан Гласер; пер. с англ.; под общ. Ред. Н. Б. Петровой. – 2 изд. – М.: МЕДпресс-информ, 2014.- 384 с.: ил
  4. Рамешвили, Т. Е. Дегенеративно-дистрофические поражения позвоночника (лучевая диагностика, осложнения после дискэктомии): Руководство для врачей / Т. Е. Рамешвили, Г. Е.Труфанов, Б. В. Гайдар, В. Е. Парфенов -2011 – 218 с.: ил.
  5. Труфанов, Г. Е. Лучевая диагностика дегенеративных заболеваний позвоночника / Г.Е.Труфанов, Т.Е.Рамешвили, Н.И.Дергунова, В.А.Фокин. // СПб.: ЭЛБИ-СПб, 2-е изд., испр., 2011. – 288 с.
  6. Труфанов, Г. Е. Магнитно-резонансная томография (руководство для врачей) / по ред. проф. Г.Е.Труфанов, В.А.Фокина. – СПб: ООО «Издательство ФОЛИАНТ», 2007. – 688с.