Добавить в корзинуПозвонить
Найти в Дзене
DEXIS Russia

Клинический кейс. 3D: доступно, достаточно, достоверно вместе с DTX Studio Clinic

В рубрике "Через призму Х-лучей" на примере клинического кейса, предоставленного врачом-рентгенологом Андреем Молчановым, продемонстрируем, как DTX Studio Clinic помогает сократить время подготовки к консультации пациента 🦷 Андрей Молчанов, врач-рентгенолог, г. Пенза: Мы часто слышим, что работа с КТ-изображениями занимает достаточно много времени, поэтому многие врачи, к сожалению, назначают снимки ОПТГ. К счастью, рентген-диагностика развивается и появляются новые методики в работе. Одним из таких инструментов является программа для визуализации КТ-изображений DTX Studio Clinic. Основным преимуществом DTX Studio является наличие интеллектуального помощника, с помощью которого ускоряется процесс чтения КТ-снимков, так как все нужные нам панорамы, срезы, трассировки выполняет программа. Мы можем сделать пациенту КТ-снимок и сразу получить панорамный снимок. Вашему вниманию предоставляем примеры информативности ОПТГ и КТ. На данной панорамной томограмме зубных рядов визуализируем ста

В рубрике "Через призму Х-лучей" на примере клинического кейса, предоставленного врачом-рентгенологом Андреем Молчановым, продемонстрируем, как DTX Studio Clinic помогает сократить время подготовки к консультации пациента 🦷

Андрей Молчанов, врач-рентгенолог, г. Пенза:

Мы часто слышим, что работа с КТ-изображениями занимает достаточно много времени, поэтому многие врачи, к сожалению, назначают снимки ОПТГ. К счастью, рентген-диагностика развивается и появляются новые методики в работе.
Одним из таких инструментов является программа для визуализации КТ-изображений DTX Studio Clinic.
Основным преимуществом DTX Studio является наличие интеллектуального помощника, с помощью которого ускоряется процесс чтения КТ-снимков, так как все нужные нам панорамы, срезы, трассировки выполняет программа.
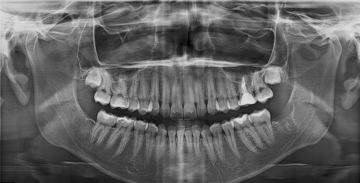
Мы можем сделать пациенту КТ-снимок и сразу получить панорамный снимок. Вашему вниманию предоставляем примеры информативности ОПТГ и КТ.

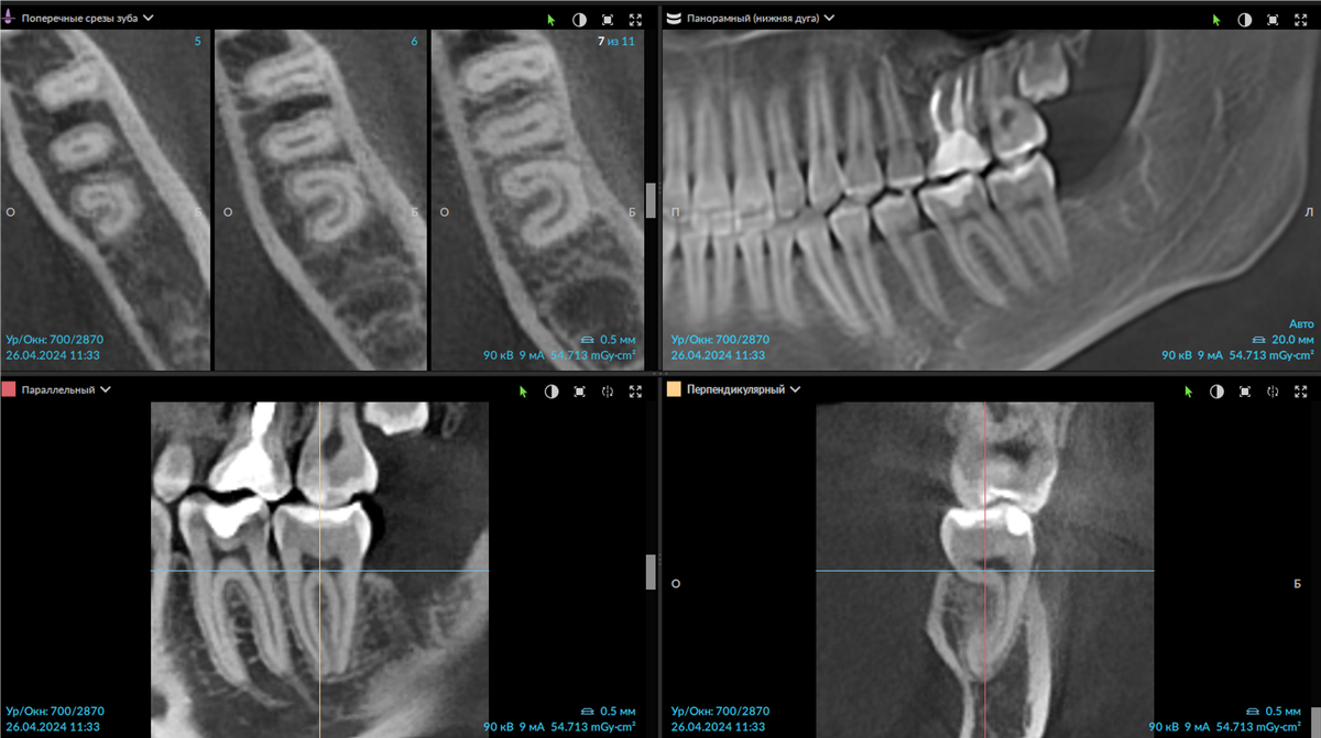
На данной панорамной томограмме зубных рядов визуализируем стандартную анатомию зуба 3.7.

Пациент женщина, 2003 г.р., зуб 3.7 анатомия
Пациент женщина, 2003 г.р., зуб 3.7 анатомия

Но имея компьютерную томограмму того же пациента, DTX Studio Clinic помогает выставить в одном окне: все необходимые срезы, эндо-режим, панорамный реформат. Мы видим достаточно нетипичное строение зуба -
С-образный канал.

Пациент женщина, 2003 г.р., зуб 3.7 анатомия
Пациент женщина, 2003 г.р., зуб 3.7 анатомия

Данный панорамный реформат построен автоматически в DTX Studio Clinic из КТ-снимка. ПО отлично справляется с задачей построения панорамного снимка, чаще всего не нужны корректировки толщины срезов. Зона интереса на данном снимке - зуб 4.8 и его соотношение с нижнечелюстным каналом. На панорамном реформате мы видим только два измерения: высоту и ширину. По глубине мы не можем оценить их анатомическое соотношение.

Пациент женщина, 1996 г.р., анатомическое соотношение 4.8 зуба и н/ч канала
Пациент женщина, 1996 г.р., анатомическое соотношение 4.8 зуба и н/ч канала

Одно из преимуществ ПО DTX Studio Clinic заключается в том, что программа очень хорошо трассирует нижнечелюстной канал с помощью интеллектуального помощника. При этом на мультипланарной реконструкции сразу понятно его соотношение с корнями конкретного зуба. Это значительно ускоряет процесс визуализации и интерпретации скана.

Пациент женщина, 1996 г.р., анатомическое соотношение 4.8 зуба и н/ч канала
Пациент женщина, 1996 г.р., анатомическое соотношение 4.8 зуба и н/ч канала

Пример панорамного реформата, созданного автоматически DTX Studio Clinic из 3D-снимка. Очень удобная функция данного ПО - в этом помогает интеллектуальный помощник. На данном примере нас интересует радиопактный участок в проекции мезиального корня 4.6 зуба.

Пациент женщина, 1999 г.р., панорамный реформат, область 4.6 зуба
Пациент женщина, 1999 г.р., панорамный реформат, область 4.6 зуба

Переходим на другую вкладку в меню DTX Studio, создаем мультипланарную реконструкцию срезов и сечений одним кликом. Видим, что включение никак не связано с зубом 4.6, и может интерпретироваться как сиалолит.

Пациент женщина, 1999 г.р., мультипланарная реконструкция, область 4.6 зуба
Пациент женщина, 1999 г.р., мультипланарная реконструкция, область 4.6 зуба

💻 Узнайте подробнее о программном обеспечении DTX Studio Clinic, оставив заявку на консультацию.

-7

________________
Информация, представленная в данном клиническом кейсе, основана на мнении Андрея Молчанова, специалиста в области медицины (врача), работающего с продукцией DEXIS.
Все заявленные мнения и результаты не могут рассматриваться как официальные медицинские рекомендации, не являются медицинскими советами и не заменяют профессиональное медицинское заключение.

Производитель продукции DEXIS, равно как и компания ООО «И Эйч Руссланд», не несет ответственности за любые результаты или последствия, возникшие в результате использования данной информации.
Продукция DEXIS не предназначена для личного, семейного, домашнего использования, в том числе использования не медицинскими специалистами (врачами). Врачи должны руководствоваться собственным профессиональным мнением в случае применения продукции при диагностике и лечении пациентов.

Полезные статьи ⤵️