Найти в Дзене

Важны ли руки в работе стоматолога? Или главное ー это знания?

Одно без другого не работает ー это понятно. Но почему вообще некоторые задаются таким вопросом. Дело в том, что стоматолог во многом должен действовать как ремесленник. Например, когда врач делает пломбу, он должен вывести её форму так, чтобы никто не мог понять, что зуб когда-то рассверлили и залатали. Зуб должен выглядеть абсолютно натурально и при этом идеально вписываться в прикус, то есть смыкаться с зубами противоположной челюсти. Студенты стоматологических факультетов практикуются в художественном моделировании зубов из глины, пластилина, пластика. Тут тебе и развитие зрительной памяти, и понимание формы в пространстве, и даже творчество в какой-то степени. "Умные" руки нужны при удалении кариеса, чтобы не убрать лишнее и сохранить здоровые ткани по максимуму. Руки важны при имплантации, когда нам нужно строго соблюсти угол введения импланта. Удаление зубов, лечение каналов, фиксация коронок ー список можно продолжать бесконечно. Во всём нужна снайперская точность, твердость и л

Одно без другого не работает ー это понятно. Но почему вообще некоторые задаются таким вопросом.

Дело в том, что стоматолог во многом должен действовать как ремесленник. Например, когда врач делает пломбу, он должен вывести её форму так, чтобы никто не мог понять, что зуб когда-то рассверлили и залатали. Зуб должен выглядеть абсолютно натурально и при этом идеально вписываться в прикус, то есть смыкаться с зубами противоположной челюсти.

Студенты стоматологических факультетов практикуются в художественном моделировании зубов из глины, пластилина, пластика. Тут тебе и развитие зрительной памяти, и понимание формы в пространстве, и даже творчество в какой-то степени.

"Умные" руки нужны при удалении кариеса, чтобы не убрать лишнее и сохранить здоровые ткани по максимуму. Руки важны при имплантации, когда нам нужно строго соблюсти угол введения импланта.

Удаление зубов, лечение каналов, фиксация коронок ー список можно продолжать бесконечно. Во всём нужна снайперская точность, твердость и ловкость. Конечно. если ко всему этому не приложить светлую голову, то в умелых стоматологических руках будет мало толку. Но и принижать значимость "рукоделия" в стоматологии нельзя.

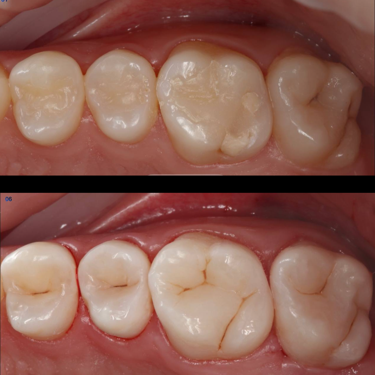
Я часто показываю работы нашего доктора Романа. Он специализируется на эстетической реставрации. 

-2

Вот это яркий пример важности поставленной руки. Поверхность жевательного зубы выстроена филигранно.

В общем любой хороший стоматолог ー это универсал, у него есть не только понимание, что зачем и как, но и умение всё сделать ручками.