Найти в Дзене
Parodoctor

Разрыв шаблона - цифровая стоматологическая бутафория

Я не умею придумывать заголовки, передающие всю суть статьи да ещё и цепляющие интересующихся за живое. Но до чего же полезной информацией делюсь иногда, поражаюсь сама. Понимают те, кто читает до конца. Уместить суть в жалкие пару строк - да не выйдет. Поэтому кто успел, тот и съел. Всё к лучшему - меньше конкурентов прочитает. А то прислушаются и тоже попытаются нормально работать. Вот надо оно мне? Надо. Вдруг меньше испорченных ртов будет в этом мире, а доверия и уважения к стоматологам больше. А пока что есть, то есть - модные тенденции схватили, а что к чему не поняли. Хирургические шаблоны в стоматологии Мир профессионалов раскололся на 3 лагеря: Вот о последней категории и поговорим Но сначала важное вступление. Некоторые зуботехнические лаборатории предоставляют услугу по печати хирургических шаблонов. Пошло это дело со стародавних (всё относительно) времён и ваяли несчастные техники (потому что не понимают в анатомии на должном уровне) шаблоны по снимкам КЛКТ, по слепкам. В
Оглавление

Я не умею придумывать заголовки, передающие всю суть статьи да ещё и цепляющие интересующихся за живое. Но до чего же полезной информацией делюсь иногда, поражаюсь сама. Понимают те, кто читает до конца.

Уместить суть в жалкие пару строк - да не выйдет. Поэтому кто успел, тот и съел. Всё к лучшему - меньше конкурентов прочитает. А то прислушаются и тоже попытаются нормально работать. Вот надо оно мне? Надо. Вдруг меньше испорченных ртов будет в этом мире, а доверия и уважения к стоматологам больше.

А пока что есть, то есть - модные тенденции схватили, а что к чему не поняли.

Хирургические шаблоны в стоматологии

Мир профессионалов раскололся на 3 лагеря:

  1. отрицающие - те, кто "на глаз".
  2. активные пользователи - понимают суть методики, поэтому не откажутся от неё. Из 1-го лагеря, кстати, уже многие потянулись во второй. Даже матёрые профи, бившие в грудь кулаком - не буду, не надо. Забавно, но неизбежно это должно было случиться.
  3. модные - жрецы маркетинга. Понимают, что тема рабочая, но как очередной повод побольше срубить с наивных пациентов, которые всё равно ничего не смыслят. Им слово "цифра" скажи да в прайс внеси позицию "шаблон" - поплыли и понесли свои бренные тела да финансы.

Вот о последней категории и поговорим

Но сначала важное вступление.

Некоторые зуботехнические лаборатории предоставляют услугу по печати хирургических шаблонов. Пошло это дело со стародавних (всё относительно) времён и ваяли несчастные техники (потому что не понимают в анатомии на должном уровне) шаблоны по снимкам КЛКТ, по слепкам. Всё отдельно. На своё, техниковское, усмотрение.

  • Получалась откровенная шляпка. Ничего общего с полноценностью такое ваяние не имело. Ставить имплантаты по подобному недоразумению - быть себе неприятелем.

Многие техники (да простят они меня) - странные ребята в принципе. Они свою прямую работу, коронки обыкновенные, нормально сделать с первого раза не в состоянии, не видят косяки элементарные. А тут шаблоны, по которым в кость надо болты закручивать, доверили. Такое себе мероприятие. Отвага и понижение ума.

Вот и плюются доктора некоторые до сих пор - шаблоны считают блажью, откровенной маркетинговой уловкой. Ну или атрибутом неполноценного врачевателя, глаза которого косят, а опыт не позволяет работать как "настоящий мужик".

Но сравнение достоинств оставим, каждый делает своё дело в меру понимания того, что такое качественная работа. Кто-то позволяет себе компромиссы, а кто-то нет.

Но есть те, кто вообще ничего не понимает - просто делает

Разберём клинический случай, а после я распишу суть планировки имплантации - как оно должно было бы быть. А вишенкой будут комментарии под клиническим случаем кривой постановки - одобрение и попытки оправдать. Одобрения мне не понять - уж извините. Криво - оно и в Африке криво.

И расскажу, почему делаю вывод о том, что шаблоны были бутафорские. Ошибки допущены такие, какие не допустит реальный профи, проектирующий постановку в цифровом протоколе.

Портят репутацию нам - хотя сами скажут "а что такого". И так ведь можно "прилепить" коронки.

В клинику обратилась пациентка, пусть будет Вероника.

Проблема - что-то неладное с имплантатами на нижней челюсти. А сверху всё по фен-шую - не так давно установили имплантаты по хирургическим шаблонам, теперь пришло время коронок.

Делаем КЛКТ. Листайте - там срез.

Заранее не пугайтесь - чёрное это не всегда проблема, часто это артефакт, отсвет от металла. На всякий случай делаем прицельный снимок имплантатов нижней челюсти.

Деструкция кости.
Деструкция кости.

Проблема реальна - деструкция кости значительна и нам не померещилось. Но это совсем другая история. Сегодня разбор свежих имплантатов на верхней челюсти.

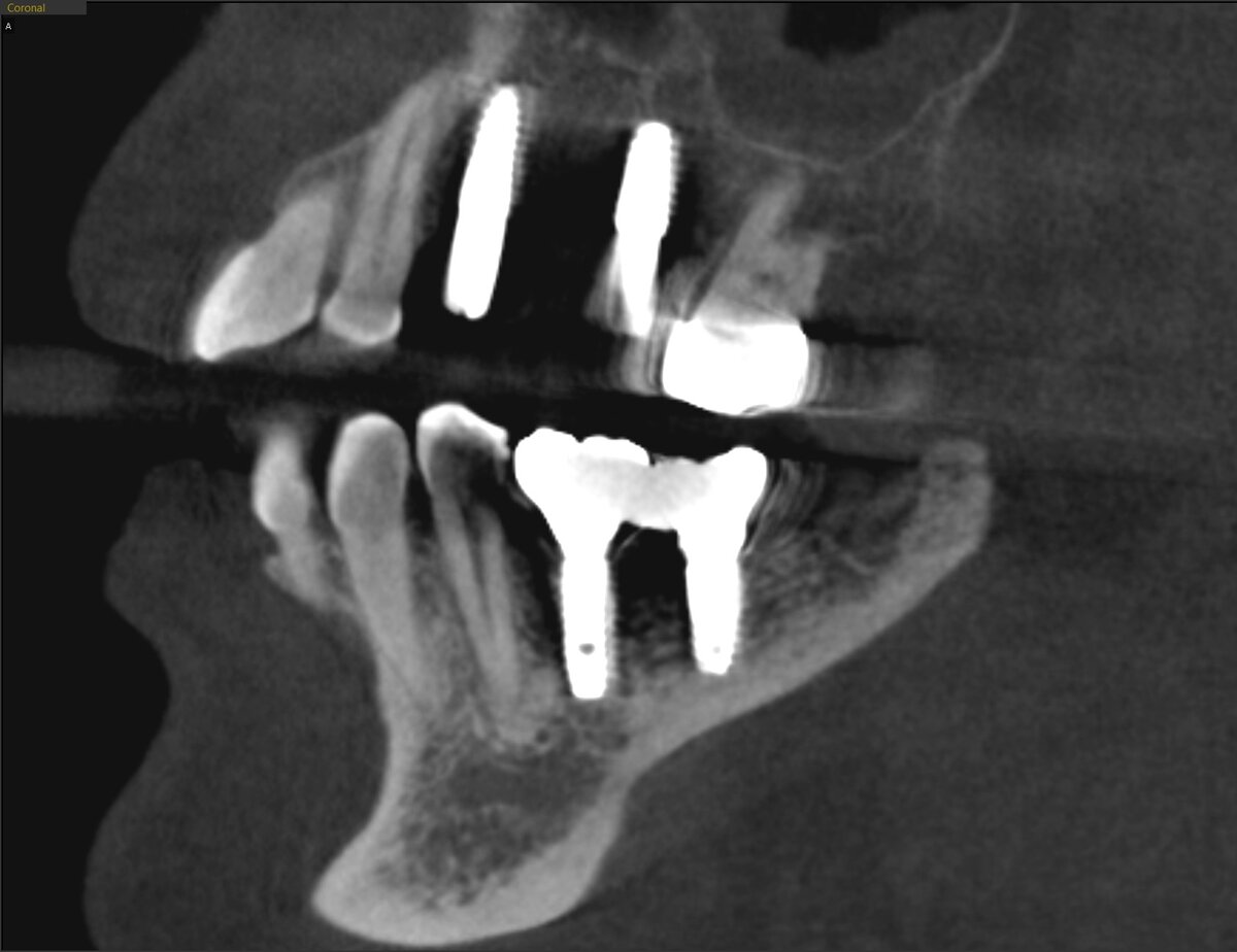
Слева отсутствуют 3 зуба - 4, 5 и 6. Зуб 7 на месте, но подвинулся в сторону отсутствующих собратьев.

Постановка:

-3

Если работа проводилась по шаблонам, то зачем всё вот это? Ладно, косо - не проблема. А зачем так прижиматься к родным зубам?

Имплантат, который замещает 4-ку (у клыка расположен):

Планировщик
Планировщик

Имплантат, замещающий 6-й зуб (прижался к 7-ке):

Планировщик
Планировщик

Это всё бы ничего, но влияет на расположение будущих коронок:

-6

4-ка ещё сносно, не буду ворчать. Но 6 - компромиссная история.

-7

Чуть другой угол, нёбно много места и это безопасно - была бы конфета.

-8

Суть метода цифровой постановки имплантатов

Суть хирургических шаблонов

Что бы всё было чётко - ровно.

⛔ Для этого не имплантат ставится туда, где есть кость! Это устаревшая логика.

Первичен подбор коронки!

Под правильную позицию коронки подбирается постановка имплантата. Это - признак качественной работы, которая с меньшей (гораздо) вероятностью отвалится через год-три-пять-десять. Такое позиционирование позволяет распределять мощную жевательную нагрузку, которая неизбежна при эксплуатации изделия, равномерно и чётко.

Мой имплантолог когда-то выиграл конкурентную борьбу в другой клинике так - дал ортопеду (владельцу) идеальную постановку имплантатов под будущие коронки. Ортопед увидел, что больше нет нужды пыхтеть и решать головоломки с подбором коронок под кривые имплантаты - разогнал всех остальных хирургов. И я придерживаюсь той же логики, хоть и не являюсь протезистом.

Расстановка коронок - первична

Постановка и подбор под них имплантатов - вторичное дело

-10

И все наши планы разрабатываются с учётом этой логики! Единичные постановки, мостовидные конструкции, тоталы - не важно.

-11

Мы видим, что мешаем КОРОНКЕ расположиться верно. Вот и весь секрет.

Шаблоны нужны нам для ЧЁТКОЙ фиксации положения имплантатов - до миллиметров всё продумано, до граней втулок расчёт.

  • Исходя из всего вышенаписанного делаю вывод - с шаблонами пациента из истории с верхними имплантатами нагрели. Никакой цифровой стоматологии не было. Бутафория.

Любители полумер - пишите, думайте что мы сумасшедшие. Что набрасываем пуха на вентилятор и это всё лишнее. Можно и без этого обойтись.

Обходитесь.

Это ваше право.

А наше право - делать постановки с расчётом на анатомию и функцию, учитывать всё! Вообще всё возможное.

Почему бы и нет? За это нас пациенты и ценят. За трепетное отношение ко всем деталям, какими бы они незначительными не казались.

Важно - всё. Мы не знаем, каким боком через сколько лет выползет невнимательность. Может статься, что всё будет ок. Но проверять не хочется. Даже если пациент не подумает, что это мы виноваты. Конечно, сто лет прошло.

Вот работа - компромиссная

-12

Вот комментарии

-13

Так вот. Моя позиция - нет, это не нормально. При нормальной цифровой постановке такого бы не произошло. В синус лезть не хотелось? Так залезли же и так - он оперирован. Тот, кто поставил имплантат криво, лез в синус. Это не отговорка. 7-ку подпилить? Здоровый зуб портить в угоду кривоте? Нет уж.

  • Почему у нас любят тяп-ляп? Почему оправдывают "сойдёт и так"? Покуда будет такое отношение, будем пожинать гнилые всходы.

А, собственно, поступайте так, как считаете нужным. Я не мать Тереза, мне важно лишь то, что происходит с нашими пациентами. Тут за качество отвечаю.