Добавить в корзинуПозвонить
Найти в Дзене
Parodoctor

Всё на 4-х. Обман с прикусом, хорошие передние зубы, которые не спасти - очередная уникальная история потери зубов

От меня вы не услышите восторженных отзывов о замене своих зубов на титановые болты. Оставлю эту миссию коллегам, пусть развлекаются. Но верно то, что имплантаты лучше своих родных БОЛЬНЫХ зубов. Больных - не значит, что они болят. Это значит, что они не способны выполнять свою функцию качественно. Обрастаю статьями и на каждый случай хочу давать развёрнутые комментарии - изучайте информацию-дополнение к сегодняшней теме: Сегодня история об очередном, но особенном, "тотале". Поверьте, они все разные, ни один не похож на другой. Все мы разные - все уникальные. За каждой работой стоит жизнь человека. Поэтому я буду писать, буду рассказывать вам истории людей. Смысл? Кто-то увидит и поймёт меня, проникнется философией подхода - мы РАЗНЫЕ. Работаем с уникальным человеком, а не решаем стандартную проблему стандартными методами. Имплантация по системе "всё на 4-х", верхняя челюсть Пациентка первый раз попала в клинику ещё летом, тогда я работала с рекламным агентством и продвигала группу
Оглавление

От меня вы не услышите восторженных отзывов о замене своих зубов на титановые болты. Оставлю эту миссию коллегам, пусть развлекаются.

Но верно то, что имплантаты лучше своих родных БОЛЬНЫХ зубов.

Больных - не значит, что они болят. Это значит, что они не способны выполнять свою функцию качественно.

Обрастаю статьями и на каждый случай хочу давать развёрнутые комментарии - изучайте информацию-дополнение к сегодняшней теме:

Сегодня история об очередном, но особенном, "тотале". Поверьте, они все разные, ни один не похож на другой. Все мы разные - все уникальные. За каждой работой стоит жизнь человека.

  • Как он дошёл до решения и что предшествовало проблемам - уникальный опыт.
  • Неповторима и история нашей подготовки - нет заготовленных болванок под стандартный рот.
  • Чувства человека, его ощущения до и после и то, как операция была перенесена - тоже не копирка.

Поэтому я буду писать, буду рассказывать вам истории людей. Смысл? Кто-то увидит и поймёт меня, проникнется философией подхода - мы РАЗНЫЕ. Работаем с уникальным человеком, а не решаем стандартную проблему стандартными методами.

Имплантация по системе "всё на 4-х", верхняя челюсть

Пациентка первый раз попала в клинику ещё летом, тогда я работала с рекламным агентством и продвигала группу ВК.

Ценность свою мы не могли толково донести до людей - платная реклама, стандартные посты, написанные копирайтером, хоть и приносили поток людей, но крючком было не качество, а скидки. Акция на тотальную имплантацию по системе "всё на 4-х".

Вышел конкретный диссонанс - люди хотели решения очень сложных проблем очень простыми методами. Почти никому не подходила эта методика - бери и делай. Не было у нас таких. Всё сплошь сложнейшие случаи.

Перекошенный рот спасёт один имплантат, который нужно установить и обойтись без костной пластики - берём, дайте 2. Хотят красивые зубы в том случае, когда мы и в возможности обретения некрасивых не очень-то уверены... Слишком всё запущено.

Ю. пришла к нам на акцию

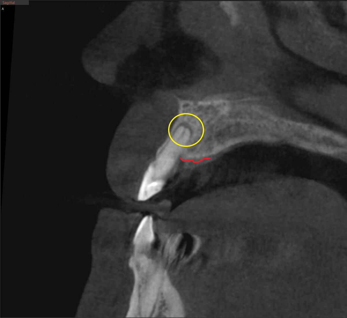
Смотрим зубы, изучаем КЛКТ. Всего на верхней челюсти 6 зубов - от клыка до клыка.

3Д визуализация костей черепа и зубов.
3Д визуализация костей черепа и зубов.

Так, вроде всё ок. В боковых отделах зубов нет, но не проблема - и такое лечится.

Вы ведь так подумали?

Посмотрим срезы КЛКТ.

Листайте - там все 6 зубов (один выложу аж 2 раза - для пущей убедительности).

Кто-то, конечно, скажет - хорошие зубы! С ума сошли, удалять такое сокровище.

А я скажу - всё это скоро само выпадет. Один нормальный зуб в поле не воин и не стоит того, что бы из-за него прибегать к более сложной и дорогостоящей реабилитации.

Посмотрим цифровой слепок, результат 3Д сканирования.

Кажется, что визуально всё выглядит лучше, чем на рентгене. Но вот вам и обманчивость глаз.

Посмотрите на прикус - это настоящее положение челюстей. Верхняя челюсть обогнала нижнюю и лидирует со значительным отрывом.

Нижняя челюсть, в отместку, впилась зубами в нёбо.

-4

Убираем нижнюю челюсть и наблюдаем следы.

Травма - это не норма. Это добило зубы верхней челюсти.
Травма - это не норма. Это добило зубы верхней челюсти.

Пациентка только по моему замечанию прикус сделала верным - на скане. А в жизни привыкла выдвигать нижнюю челюсть вперёд, создавая видимость нормы.

-6

Не смотря на кажущуюся простоту, летом мы пациентку не стали брать на имплантацию - требовалось провести синус-лифтинг в одной из пазух. Не хватало ткани для бокового имплантата.

Встретились снова в ноябре. Записываемся на маячки - рентген-маркер

Распечатали прототип протеза с маячками. Они сделаны из композитного пломбировочного материала.

Это отправляется в рот пациентки и идём на КЛКТ.

Визуализация 3Д с маячками.
Визуализация 3Д с маячками.

Назначаем дату операции.

Печатаем шаблоны, клеим втулки и магниты.

Набор шаблонов на одну операцию на одной челюсти.
Набор шаблонов на одну операцию на одной челюсти.

Операционные фото все в моём ТГ канале (ник тот же), тут блокируют статьи за подобное. Так что прошу понять и не серчать.

А вот срезы КЛКТ с установленными имплантатами - листайте. По 2 среза на каждую позицию - вид спереди и вид сбоку. Потом кое-где, кое что докрутили. Чуточку самую.

Всё, сняли слепок финишный и работа отправилась в лабораторию.

Следующая встреча - примерка постановки на воске.

Продолжение следует.