Найти в Дзене

Консультация. Планы лечения. Варианты, сроки, стоимость.

В данной серии статей хочу поделиться мыслями о том как принимаю решение о тактике лечения пациента, на что обращаю внимание. И рассказать / показать на примере что мы видим. Какие моменты важны при составлении оптимального плана лечения? На что мы стоматологи, в первую очередь обращаем внимание? 🔹Возраст пациента (данный фактор влияет на выбор методики лечения, индивидуальный подбор лекарственных препаратов, выбор анестетика и т.д) ; 🔹Соматический статус (артериальное давление, частота сердечных сокращенией, выяснение хронических заболеваний и т.д.) ; 🔹Открывание рта (от того какой будет доступ зависит то, что мы можем делать в полости рта у пациента) ; 🔹Прикус (соотношение верхних зубов к нижним, оценка); 🔹Состояние зубов (смотрим наличие кариеса, пломб, коронок и конструкций в полости рта их прилегание и т.д.); 🔹Пародонтологический статус (состояние десен, наличие зубодесневых карманов, кровоточивости и т.д.); Ко мне пришла пациент молодого возраста на приём с жалобами н

В данной серии статей хочу поделиться

мыслями о том как принимаю решение о тактике лечения пациента, на что обращаю внимание. И рассказать / показать на примере что мы видим.

Какие моменты важны при составлении оптимального плана лечения? На что мы стоматологи, в первую очередь обращаем внимание?

🔹Возраст пациента (данный фактор влияет на выбор методики лечения, индивидуальный подбор лекарственных препаратов, выбор анестетика и т.д) ;

🔹Соматический статус (артериальное давление, частота сердечных сокращенией, выяснение хронических заболеваний и т.д.) ;

🔹Открывание рта (от того какой будет доступ зависит то, что мы можем делать в полости рта у пациента) ;

🔹Прикус (соотношение верхних зубов к нижним, оценка);

🔹Состояние зубов (смотрим наличие кариеса, пломб, коронок и конструкций в полости рта их прилегание и т.д.);

🔹Пародонтологический статус (состояние десен, наличие зубодесневых карманов, кровоточивости и т.д.);

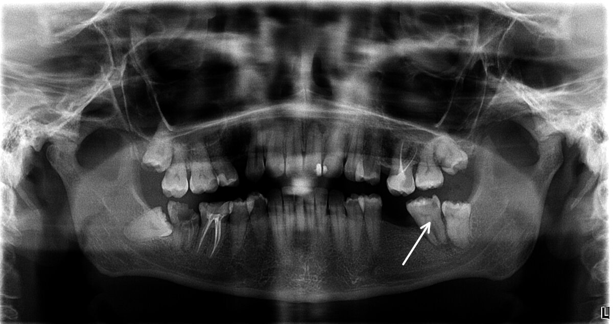
Ко мне пришла пациент молодого возраста на приём с жалобами на подвижность зуба 3.7 (слева снизу) и желанием установить имплантаты в области отсутствующих зубов.

Ортопантомограмма:

После выявления жалоб и визуального осмотра я сделал фотопротокол. Для того, чтобы мы вместе сели возле монитора и наглядно всё посмотрели и разобрали детально.

Чтобы настало общее понимание накопившихся проблем и способов их решения.

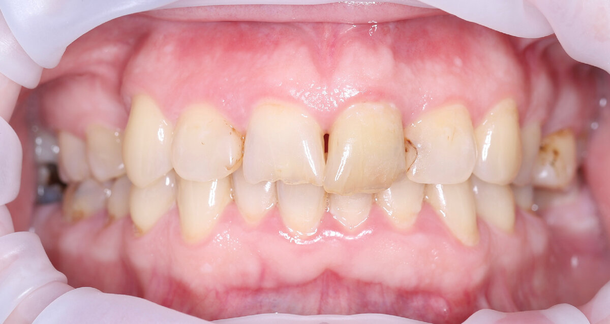
Анфас:

-2

Сбоку справа:

-3

Сбоку слева:

-4

Верхняя челюсть жевательная поверхность:

-5

Нижняя челюсть жевательная поверхность:

-6

Сбоку справа через зеркало:

-7

Сбоку слева через зеркало:

-8

Что я увидел в полости рта?

Старые пломбы, с нарушением прилегания и развитием вторничного кариеса под ними:

-9

В области удалённого зуба 1.4 сверху провал по десне и костной ткани, в пришеечной области нижних зубов 4.4, 4.5, 4.6 перегрузка и клиновидные дефекты (убыль эмали), 4.7 разрушен >2/3:

-10

По левой стороне феномен Попова Годона (деформация зубных рядов). Отсутствие зубов 2.5,3.6, выдвижение вниз зуба 2.6, наклон зуба 3.7, кариозный процесс на зубе 3.5, оголение пришеечной области (опущение десны) и кариозный процесс между зубом 2.6 и 2.7. Вот такие дела получились из-за длительного отсутствия всего двух зубов по левой стороне.

-11

В области отсутствующих 14 и 25 осталось мало места (из-за деформаций) для установки имплантатов и будущих коронок. В области 16 и 17 зуба вторичный кариес (тёмное место указано стрелочкой):

-12

В области резцов на нижней челюсти налёт, зубной камень. Место под имплантат в области 36 тоже недостаточно, так как 37 сдвинулся. Виднеется 38 зуб. 46 имеет дефект пломбы и в вторичный кариес. 47 разрушен и не подлежит восстановлению.

-13

Тактика «нет зуба нет проблем» или «заболит тогда и удалю», как видите, не приносит положительных результатов в долгосрочной перспективе. Деформации настигают неизбежно. Их коварство состоит в том, что они протекают медленно и незаметно для пациента. Так организм включает компенсаторную функцию.

И чтобы мне (хирургу имплантологу) установить в данной ситуации имплантаты, потребуется помощь либо ортодонта с ортопедом, либо хотя бы ортопеда с терапевтом, чтобы они создали условия для установки имплантатов. Планов лечения может быть минимум 2. От того какой путь выберет пациент уже зависит срок реабилитации и его стоимость.

Исходя из полученных данных на осмотре и оптг снимка я предложил пациенту проконсультироваться с ортодонтом, для того чтобы все зубы вернуть на своё место, чтобы создать пространство под имплантаты и коронки на них. И проконсультироваться с ортопедом, чтобы составить альтернативный план лечения, без ортодонтии.

План лечения с ортодонтической коррекцией (займёт примерно 1 год в данном случае), по финансам ортодонтия начинается от 150 тыс. руб (в зависимости от целей и задач лечения) и может достигать 300 и более тыс. руб за полноценное лечение на брекет-системе с использованием микровинтов:

-14

Два имплантата и коронки на них на верхней челюсти (имплантация от 46 тыс. руб. за 1 имплантат в зависимости от типа имплантационной системы, по показаниям):

-15

Два имплантата и коронки на них на нижней челюсти слева, справа 46 под керамической вкладкой/коронкой, а в области 47 планируется пересадка 48 зуба (альтернативный вариант имплантации) по финансам сопоставима с имплантацией и протезированием на имплантате:

-16

Альтернативный план ортопедический:

-17

Подразумевает работу в основном на нижней челюсти, так как с верхней челюстью (без помощи ортодонта) мало что можно сделать. В этом варианте придется 26 зуб сильно обточить и установить на него коронку, чтобы хватило места под протезирование на имплантатах в области 36,37. И покрыть коронкой зуб 46, чтобы тот еще послужил пациенту.

Какие еще манипуляции/позиции требуются в лечении?

Удаление ретинированных зубов мудрости (от 12 тыс. руб до 22 тыс руб. за 1 зуб. в зависимости от степени сложности).

Десневая пластика в области имплантатов, так как произошла убыль костной ткани и десны в области отсутствующего зуба 36. (стоимость от 10 тыс. руб. в области 1 имплантата).

P.S. После кт снимка и его детального изучения возможно потребуется перелечивание зубов под коронки и лечение зубов с кариесом, костная пластика (синус лифтинг или увеличение ширины). В этом случае срок реабилитации может быть увеличен, также как и стоимость плана лечения.

Спасибо, что дочитали до конца.

Прайс скорее всего после нового года повысится, так как поставщики уже присылают информацию о своих повышениях цен на продукцию.

________________________________________

Ставьте лайк👍.

Подписывайтесь на канал. ✅

Всем здоровья!

P.s. пишите свои мнения и вопросы в комментариях📝

С уважением, доктор Ижмукóв

Виталий Владимирович.

_________________________________________

Контактная информация:

+79370634232

vk.com/talich