Найти в Дзене
D2D Expert

Рутинное МРТ в практике врача

В ежедневной практике врача-клинициста встречаются пациенты с жалобами, которые могут трактоваться неоднозначно или которые точно требуют дообследования. Благодаря своей высокой диагностической ценности и возможностям, которыми не обладают другие методы визуализации, МРТ исследования играют важную роль при обнаружении опасных заболеваний, скрытых травм, повреждений и патологий. Пациент 1960 года рождения , обратился в клинику на рутинное МРТ головного мозга. Предъявлял следующие жалобы: левосторонний экзофтальм, слезотечение, боли и покраснение левого глазного яблока в течение 2-х месяцев; левосторонние головные боли, повышение артериального давления. В ходе обследования была выявлена необходимость проведения дополнительно МРТ пазух носа с внутривенным контрастированием. Данное исследование с применением тонких срезов даёт возможность прицельно выявить мелкие изменения и более детально визуализировать распространение процесса. На МРТ был выявлен массивный неопластический процесс (tum

В ежедневной практике врача-клинициста встречаются пациенты с жалобами, которые могут трактоваться неоднозначно или которые точно требуют дообследования.

Благодаря своей высокой диагностической ценности и возможностям, которыми не обладают другие методы визуализации, МРТ исследования играют важную роль при обнаружении опасных заболеваний, скрытых травм, повреждений и патологий.

Пациент 1960 года рождения , обратился в клинику на рутинное МРТ головного мозга. Предъявлял следующие жалобы: левосторонний экзофтальм, слезотечение, боли и покраснение левого глазного яблока в течение 2-х месяцев; левосторонние головные боли, повышение артериального давления.

В ходе обследования была выявлена необходимость проведения дополнительно МРТ пазух носа с внутривенным контрастированием. Данное исследование с применением тонких срезов даёт возможность прицельно выявить мелкие изменения и более детально визуализировать распространение процесса.

-2

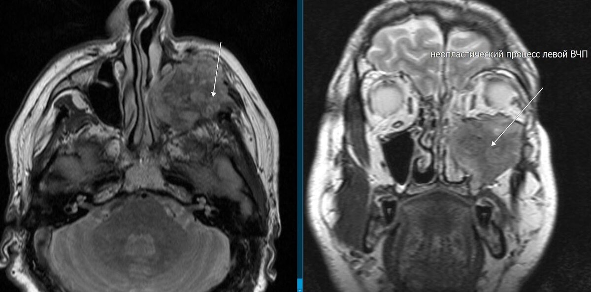
На МРТ был выявлен массивный неопластический процесс (tumor) левой верхнечелюстной пазухи с отсутствием визуализации (деструкцией) стенок и инфильтрацией полости носа, клеток решетчатой кости, клетчатки лицевой области, височной ямки, околобульбарной клетчатки слева и внутричерепным ростом, без инвазии вещества мозга и левого зрительного нерва. Более вероятная инвазия нижней и латеральной прямых мышц левого глазного яблока. Левосторонний экзофтальм.

-3
-4
-5

На рисунке показан внутричерепной рост опухоли, без инфильтрации вещества мозга, околобульбарную клетчатку слева.

Выводы:

Таким образом рутинное МРТ головного мозга помогает лечащему врачу (невролог, ЛОР-врач , окулист, сурдолог) исключить или подтвердить различные процессы организма.