Добавить в корзинуПозвонить
Найти в Дзене

Клинический случай. Всё на 4-х.

Добрый день, дорогие друзья! В данной статье будет отчет до и после по концепции "всё на четырех". Подробнее с этой методикой и прочитать про все плюсы/минусы, нюансы можно ознакомиться здесь. Тотальная реабилитация пациента с удалением всех оставшихся зубов и установкой имплантатов на нижней челюсти. У пациента остались только несколько зубов на обеих челюстях, на которые невозможно установить несъемные конструкции. Ситуация до: У пациента западает верхняя губа из-за отсутствия зубов, а следовательно нет поддержки мягких тканей, во фронтальном отделе и также нижняя челюсть выдвинута вперёд, за счёт отсутствия зубов в жевательном отделе. То есть прикус не фиксирован. На операции я удалил все оставшиеся зубы, выровнял гребень (сделал небольшую редукцию) установил 4 имплантата внизу. На всё ушло примерно 1.5-2 часа. Из-за того, что пациент не носил до этого никаких протезов ему было сложно держать открытым рот продолжительное время. Мы пользовались специальной распоркой во время операции

Добрый день, дорогие друзья!

В данной статье будет отчет до и после по концепции "всё на четырех". Подробнее с этой методикой и прочитать про все плюсы/минусы, нюансы можно ознакомиться здесь.

Тотальная реабилитация пациента с удалением всех оставшихся зубов и установкой имплантатов на нижней челюсти.

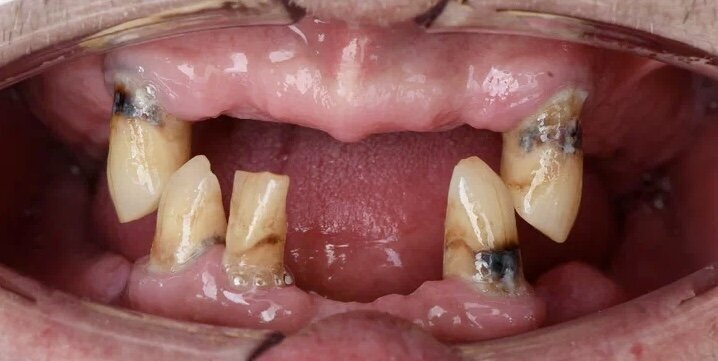
У пациента остались только несколько зубов на обеих челюстях, на которые невозможно установить несъемные конструкции. Ситуация до:

на верхней челюсти осталось 2 клыка, на нижней 2 клыка и 1 резец.
на верхней челюсти осталось 2 клыка, на нижней 2 клыка и 1 резец.

У пациента западает верхняя губа из-за отсутствия зубов, а следовательно нет поддержки мягких тканей, во фронтальном отделе и также нижняя челюсть выдвинута вперёд, за счёт отсутствия зубов в жевательном отделе. То есть прикус не фиксирован.

На операции я удалил все оставшиеся зубы, выровнял гребень (сделал небольшую редукцию) установил 4 имплантата внизу. На всё ушло примерно 1.5-2 часа.

Из-за того, что пациент не носил до этого никаких протезов ему было сложно держать открытым рот продолжительное время. Мы пользовались специальной распоркой во время операции, которая немного облегчила нам работу и создала пациенту  возможность фиксировать челюсть в одном положении:

Добавьте описание
Добавьте описание

В полости рта выглядело примерно так:

Добавьте описание
Добавьте описание

Контрольный кт снимок после операции с установленными имплантатами:

Добавьте описание
Добавьте описание

После снятия слепков, нескольких примерок были изготовлены протезы:

Добавьте описание
Добавьте описание
шахты имплантатов выходят в позициях 45,42,32,34 (темные дырочки на протезе справа)
шахты имплантатов выходят в позициях 45,42,32,34 (темные дырочки на протезе справа)

На верхней челюсти съёмный протез перекрывает всё твёрдое небо. Это не даёт в полной мере насладиться пищей, так как рецепторы твердого неба оказываются под пластмассой.

Не все пациенты могут привыкнуть к нему и пользоваться им. Однако он стоит в разы дешевле, нежели чем протез на имплантатах.

Фото после сдачи работы в полости рта:

Добавьте описание
Добавьте описание
Редактировать галереюДобавьте описание
Редактировать галереюДобавьте описание

Контрольный снимок после фиксации:

Редактировать галереюДобавьте описание
Редактировать галереюДобавьте описание

И фотографии до/после, конечно же:

до
до
после
после

Ставьте лайк👍, если публикация была полезной.

Подписывайтесь на канал. ✅

Всем здоровья!

P.s.если есть вопросы - пишите комментарии📝

С уважением, доктор Ижмукóв

Виталий Владимирович.

_________________________________________

Контактная информация:

+79370634232

vk.com/talich