Найти в Дзене

ГЕМАНГИОМА ПЕЧЕНИ БОЛЬШИХ РАЗМЕРОВ

Пациентка Е., 70 лет. В 2017г. самостоятельно выявила опухоль в правой молочной железе, обратилась ко мне на прием. Была выполнена биопсия, диагностирован гормонзависимый HER2neu-негативный рак молочной железы, IIA стадия. В 2017-2018гг проведено лечение, с учетом небольших размеров опухоли грудь удалось сохранить, была выполнена радикальная резекция правой молочной железы. В настоящее время у Е. всё в порядке, заканчивает гормонотерапию ингибиторами ароматазы, из побочных эффектов беспокоит лишь периодически возникающая боль в коленных и тазобедренных суставах. Но речь в случае Е. пойдет не о онкологической ситуации, а о выявленной ещё в 2017г. крупной подкапсульной гемангиоме 7 сегмента печени. Гемангиома – это одна из самых распространенных опухолей печени, она имеет доброкачественную природу. Гемангиомы печени по статистике находят у 2% людей. В абсолютном большинстве случаев гемангиомы не представляют какой-либо опасности. Но при больших размерах и поверхностном подкапсульном расп

Пациентка Е., 70 лет. В 2017г. самостоятельно выявила опухоль в правой молочной железе, обратилась ко мне на прием. Была выполнена биопсия, диагностирован гормонзависимый HER2neu-негативный рак молочной железы, IIA стадия. В 2017-2018гг проведено лечение, с учетом небольших размеров опухоли грудь удалось сохранить, была выполнена радикальная резекция правой молочной железы. В настоящее время у Е. всё в порядке, заканчивает гормонотерапию ингибиторами ароматазы, из побочных эффектов беспокоит лишь периодически возникающая боль в коленных и тазобедренных суставах.

Но речь в случае Е. пойдет не о онкологической ситуации, а о выявленной ещё в 2017г. крупной подкапсульной гемангиоме 7 сегмента печени.

Белые точки на границе гемангиомы - зоны контрастирования.
Белые точки на границе гемангиомы - зоны контрастирования.

Гемангиома – это одна из самых распространенных опухолей печени, она имеет доброкачественную природу. Гемангиомы печени по статистике находят у 2% людей. В абсолютном большинстве случаев гемангиомы не представляют какой-либо опасности. Но при больших размерах и поверхностном подкапсульном расположения гемангиомы, существует риск её разрыва и внутрибрюшного кровотечения. При размере гемангиомы более 7 см и расположением под капсулой печени рассматривается вопрос о хирургическом лечении - резекции печени.

В случае пациентки Е. по данным компьютерной томографии за 2022г. размеры гемангиомы были до 6,3 см в наибольшем измерении. В 2023 году гемангиома увеличилась уже практически до 7 см.

-3
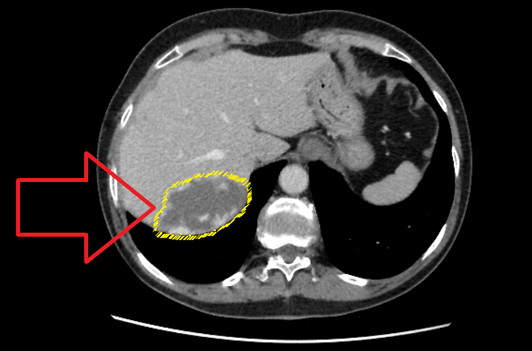
Размеры гемангиомы на данном срезе достигают 6,9 см в наибольшем измерении
Размеры гемангиомы на данном срезе достигают 6,9 см в наибольшем измерении

Однако какие-либо клинические проявления гемангиомы у Е. отсутствуют, а лабораторные печеночные показатели идеальны.

-5

Вывод: с учетом пограничных размеров гемангиомы, отсутствия каких-либо симптомов и нарушений функции печени, вопрос о хирургическом лечении в настоящее время не стоит. Пациентка будет направлена к эндоваскулярному хирургу для проведения ангиографии и решения вопроса о эмболизации ветвей печеночной артерии, питающих гемангиому. В большинстве случаев после процедуры эмболизации питающих сосудов удается добиться остановки роста гемангиомы.

Также Вам может показаться интересным: