Добавить в корзинуПозвонить
Найти в Дзене

Пяточная шпора – причины, лечение, профилактика.

Пяточная шпора – это распространенное заболевание, связанное с образованием болезненного нароста (остеофита) на пяточной кости стопы. Нарост образуется в результате повреждения подошвенной (плантарной) фасции в месте её крепления к пяточной кости (т. н. плантарный фасциит). Это состояние может сильно ограничить активность и качество жизни, и поэтому важно понимать его симптомы, методы диагностики и возможные способы лечения. Пяточная шпора: причины развития Для понимания заболевания важно ознакомиться с анатомией пяточной кости. Пяточная кость – это крупная кость в задней части стопы, которая играет ключевую роль при передвижении. Она соединяется с ахилловым сухожилием, которое прикрепляется к мышце и позволяет нам поднимать пятку и ходить. Также пяточная кость соединяется с пальцами стопы подошвенной фасцией – соединительной тканью, которая отвечает за формирование свода стопы. Пяточная шпора развивается в результате длительных нагрузок и повреждений пяточной кости, фасции и приле
Оглавление

Пяточная шпора – это распространенное заболевание, связанное с образованием болезненного нароста (остеофита) на пяточной кости стопы. Нарост образуется в результате повреждения подошвенной (плантарной) фасции в месте её крепления к пяточной кости (т. н. плантарный фасциит).

Это состояние может сильно ограничить активность и качество жизни, и поэтому важно понимать его симптомы, методы диагностики и возможные способы лечения.

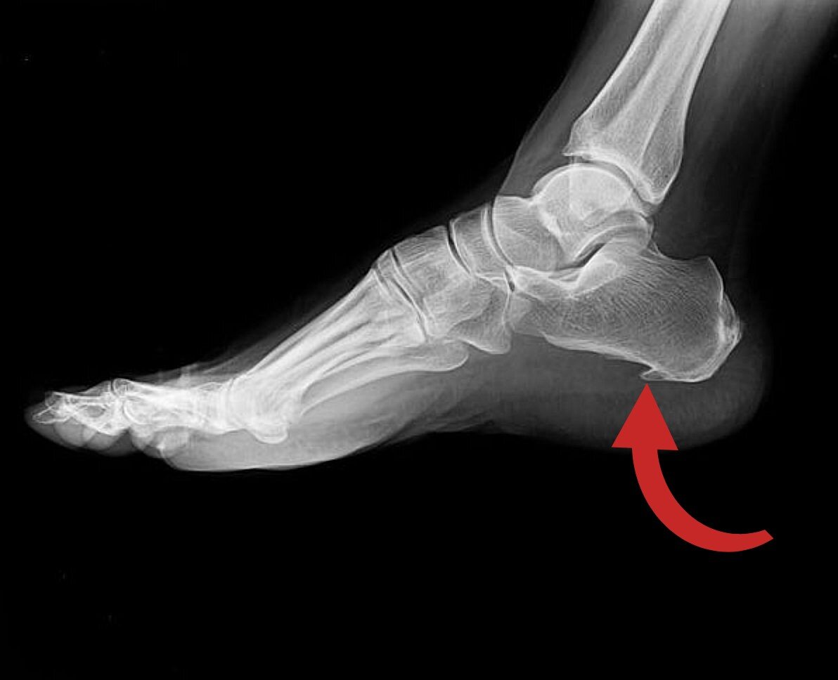
Пяточная шпора – остеофит пяточной кости
Пяточная шпора – остеофит пяточной кости

Пяточная шпора: причины развития

Для понимания заболевания важно ознакомиться с анатомией пяточной кости. Пяточная кость – это крупная кость в задней части стопы, которая играет ключевую роль при передвижении. Она соединяется с ахилловым сухожилием, которое прикрепляется к мышце и позволяет нам поднимать пятку и ходить. Также пяточная кость соединяется с пальцами стопы подошвенной фасцией – соединительной тканью, которая отвечает за формирование свода стопы.

Пяточная шпора развивается в результате длительных нагрузок и повреждений пяточной кости, фасции и прилегающих тканей. Многократная травматизация фасции приводит к воспалительному процессу и появлению болевого синдрома.

Наиболее распространенными причинами развития данной патологии являются:

Переутомление стопы, чрезмерные нагрузки, например, при долгой ходьбе или стоянии на ногах.

Неправильная обувь. Ношение неудобной и несоответствующей обуви, особенно с недостаточной амортизацией, тонкой подошвой или обуви на высоком (более 5 см.) каблуке.

Плоскостопие или высокий свод стопы. Аномалии структуры стопы могут привести к неравномерным нагрузкам и раздражению пятки.

Избыточный вес создает дополнительное давление на стопу и её ткани.

Спортивные нагрузки. В активных видах спорта, связанных с бегом и прыжками, повреждения пяточной кости могут быть особенно частыми.

Факторы риска

На развитие шпоры на пятке могут влиять следующие факторы риска:

  • Возраст (более часто у взрослых после 40 лет)
  • Пол (чаще встречается у женщин)
  • Генетическая предрасположенность
  • Профессиональная или активная деятельность, связанная с длительной ходьбой или стоянием.

Симптомы пяточной шпоры

Основной симптом заболевания – боль в области пяточной кости. Эта боль может быть острым, ноющим или жгучим ощущением и обычно усиливается при нагрузках на стопу.

Ниже представлены более подробные симптомы, связанные с пяточной шпорой:

Боли и дискомфорт

Первым и наиболее распространенным симптомом при шпоре является болезненность в области пяточной кости, связок и прилегающих мягких тканей. Боль может быть локализованной в пятке или вокруг нее, а также распространяться на всю стопу.

Ухудшение болей при нагрузках

Симптомы заболевания обычно усиливаются при физической активности, особенно при ходьбе, беге или стоянии на ногах в течение длительного времени. После периодов покоя боли могут временно уменьшаться, но возвращаются при нагрузке.

Утренняя скованность и болезненность

Многие люди испытывают особенно сильные боли и скованность стопы утром, сразу после пробуждения. Это связано с тем, что ночью стопа находится в состоянии покоя, и при первых шагах на утро возникают болезненные ощущения.

Другие симптомы и их влияние на жизнь пациента

Также возможны следующие проявления:

  • Отечность и покраснение тканей в области пяточной кости, воспаление суставов.
  • Трудности при надевании обуви из-за боли и дискомфорта.
  • Изменение хода и походки пациента в попытке избежать боли.

Симптомы пяточной шпоры могут быть невыносимыми и существенно влиять на повседневную активность человека, поэтому важно своевременно обратиться к врачу подологу для диагностики и лечения.

ЗАПИСАТЬСЯ К ПОДОЛОГУ

Диагностика пяточной шпоры

Диагностика пяточной шпоры начинается с медицинского осмотра и сбора анамнеза пациента. Врачи задают вопросы о характере болей, их интенсивности, длительности и факторах, усиливающих симптомы. Однако для точного определения наличия и степени развития патологии могут потребоваться следующие методы диагностики:

Клинический осмотр врача

Врач проводит визуальный осмотр стопы и пяточной кости, оценивая наличие признаков воспаления, отека и изменений в структуре кожи. Также важно выявить точку максимальной боли при пальпации.

Рентгенография пяточной кости

Рентгенография пяточной кости позволяет врачу увидеть наличие остеофита (костного нароста) и его размеры. Это важный метод для подтверждения диагноза.

УЗИ и МРТ для уточнения диагноза

Иногда требуется провести дополнительные исследования – ультразвуковое исследование (УЗИ), магнитно резонансная томография (МРТ). Особенно, если существуют сомнения в диагнозе или необходимо подробнее оценить состояние тканей вокруг пяточной кости.

Лечение пяточной шпоры

Выбор метода зависит от степени развития болезни и ответа на консервативные меры.

Рассмотрим основные методы лечения:

Консервативное лечение

Обувь и стельки. Специальные индивидуальные ортопедические стельки с поддержкой свода стопы а также специальные подпяточники могут снизить нагрузку на пяточную кость.

Физиотерапия и упражнения. Терапевт может предложить программу упражнений для укрепления мышц стопы и улучшения гибкости.

-2

Лекарства и инъекции. Врач может назначить противовоспалительные лекарства и инъекции стероидов для снятия боли и воспаления.

Ударно – волновая терапия. Улучшение кровообращения под действием мощных акустических волн. Данный метод терапии уменьшает болевой синдром и стимулирует процессы регенерации ткани.

Дополнительные методы, такие как ночные ортезы, тейпирование и массаж. Терапия ночными ортезами показала свою эффективность с совокупности с лечебным массажем.

Хирургическое лечение

К хирургическому вмешательству приступают, когда консервативное лечение не дало ожидаемых результатов и боли сохранились.

В ходе операции, хирург клиники удаляет остеофит (костный нарост), который вызывает болезненные ощущения.

Пяточная шпора – лечение в домашних условиях

Существует множество народных рецептов для снятия боли и избавления от шпоры (костно-солевого шипа). Для этого применяют ванночки, мази и лечебную гимнастику – упражнения на растяжение фасций стопы.

В любом случае, не занимайтесь самолечением, чтобы не усугубить ситуацию. Не затягивайте с обращением с опытному узкопрофильному специалисту.

ЗАПИСАТЬСЯ К ПОДОЛОГУ

Советы по уходу за пяткой

Помимо лечения, существует ряд мер и рекомендаций, которые могут помочь уменьшить дискомфорт, поддерживать здоровье пяточной кости и предотвратить рецидивы:

Правильная обувь

Выбирайте обувь с хорошей амортизацией и поддержкой свода стопы. Избегайте туфель с высокими каблуками и плоской обуви без амортизации.

Упражнения для укрепления стопы и пятки

Регулярные реабилитационные упражнения, направленные на укрепление мышц и свода стопы, могут снизить риск развития шпор пятки и помочь в ее лечении.

Питание и диета для поддержания здоровья костей

Сбалансированное питание, богатое кальцием и витамином D, способствует здоровью костей. Запишитесь на прием и подробнее разговаривайте с врачом о рекомендациях по диете и приеме дополнительных витаминов и минералов.

Когда следует обратиться к врачу

Если у вас есть симптомы, связанные с пяточной шпорой, и они приводят к значительным болям и ограничению активности, обратитесь к врачу (подолог, ортопед). Раннее обращение позволит начать лечение в клинике и предотвратить осложнения.

Пяточная шпора – это распространенное состояние, которое может значительно ограничить качество жизни. Однако с правильным диагнозом и лечением большинство пациентов успешно справляется с этим состоянием и восстанавливает активность.

Важно следовать рекомендациям врача подолога, заботиться о здоровье стопы и предотвращать повторное возникновение пяточной шпоры.

Доверьте своё здоровье профессионалам Центра подологии.

Запишитесь на прием по телефону: +7(978) 207-22-52 и мы вам обязательно поможем.

Центр подологии находится по адресу:

Симферополь, улица Старозенитная, дом 5.

#подология #подологсимферополь #подолог #подологсоветы #подологвсимферополе #пяточнаяшпора #шпорнапяткеалечение #шпораудаление #шпорапяточная