Добавить в корзинуПозвонить
Найти в Дзене
D2D Expert

Болезнь Фара

Болезнь Фара - это редкое идиопатическое нейродегенеративное заболевание нервной системы в виде протяженной двусторонней кальцификации базальных ганглиев. Может привести к развитию прогрессирующей дистонии, паркинсонизму, нейро-психиатрических нарушений. Точная этиология болезни Фара до сих пор неясна. Генетическое изменение в 14 хромосоме было предложено в качестве вероятной причины. Считается, что передача происходит по аутосомно-доминантному типу. Дебют заболевания обычно в возрасте 30-60 лет, но может быть и детская форма. Клиническая манифестация может развиваться как в раннем взрослом возрасте в виде шизофреноподобного синдрома, так и на 6-м десятке экстрапирамидным синдромом, подкорковой деменцией. Медленное прогрессирование. Клинические проявления: Наиболее частые - нейропсихиатрические нарушения, подкорковая деменция, экстрапирамидные двигательные нарушения. Локализация: Лучший диагностический критерий: двусторонняя симметричная кальцификация перечисленных выше областей. Л
Оглавление

Болезнь Фара - это редкое идиопатическое нейродегенеративное заболевание нервной системы в виде протяженной двусторонней кальцификации базальных ганглиев.

Может привести к развитию прогрессирующей дистонии, паркинсонизму, нейро-психиатрических нарушений.

Точная этиология болезни Фара до сих пор неясна. Генетическое изменение в 14 хромосоме было предложено в качестве вероятной причины. Считается, что передача происходит по аутосомно-доминантному типу.

Дебют заболевания обычно в возрасте 30-60 лет, но может быть и детская форма. Клиническая манифестация может развиваться как в раннем взрослом возрасте в виде шизофреноподобного синдрома, так и на 6-м десятке экстрапирамидным синдромом, подкорковой деменцией. Медленное прогрессирование.

Клинические проявления:

Наиболее частые - нейропсихиатрические нарушения, подкорковая деменция, экстрапирамидные двигательные нарушения.

Локализация:

  • бледный шар (преимущественно в латеральных отделах);
  • хвостатые ядра;
  • таламус;
  • мозжечок;
  • зубчатые ядра;
  • внутренние капсулы;
  • белое вещество больших полушарий.

Лучший диагностический критерий:

двусторонняя симметричная кальцификация перечисленных выше областей.

Лучевая диагностика:

КТ (нативная фаза): 2-х сторонняя симметричная кальцификация в типичной локализации.

КТ (артериальная фаза): нет накопления контрастного вещества.

МРТ:

  • Т1-ВИ обычно гиперинтенсивный МР-сигнал от зоны кальцификации;
  • Т2-ВИ, FLAIR гипо- или гиперинтенсивный МР-сигнал;
  • SWI выраженное снижение интенсивности МР-сигнала, м.б. более чувствительным методом в сравнении с КТ.

Дифференциальный диагноз:

  1. Вариант нормы у людей среднего и пожилого возраста, точечная кальцификация в области бледных шаров - не имеет клинического значения. NB! если имеются аналогичные участки в других областях, необходимо исключать патологию.
  2. Наследственная или приобретенная кальцификация в области базальных ганглиев у детей/молодых взрослых при синдромах Дауна, Айкарди-Готье, Коккейна, трисомии по 5-й хромосоме, ВИЧ-энцефалите, отдаленных осложнений лучевой терапии опухолей головного мозга у детей и интратекальной химиотерапии, факоматозах (туберозном склерозе, нейрофиброматозе).
  3. Патологическая кальцификация базальных ганглиев при эндокринологических, нейропсихиатрических, постинфекционных нарушениях, интоксикации.

NB! Болезнь Фара - это диагноз исключение, для его постановки у пациента должен быть нормальный уровень кальция, фосфора, паратиреоидного гормона.

Синдром Фара - те же проявления, что и при болезни Фара, но развиваются вторично по отношению к другим состояниям (например при гипопаратиреозе).

Выводы.

Болезнь Фара и синдром Фара имеют широко распространенную клиническую картину с рентгенологическими находками в виде симметричной кальцификации базальных ганглиев и зубчатых ядер. Следовательно, это, по сути, диагноз исключения после исключения метаболических нарушений. Лечение направлено на контроль симптомов болезни Фара и коррекцию основных метаболических нарушений.

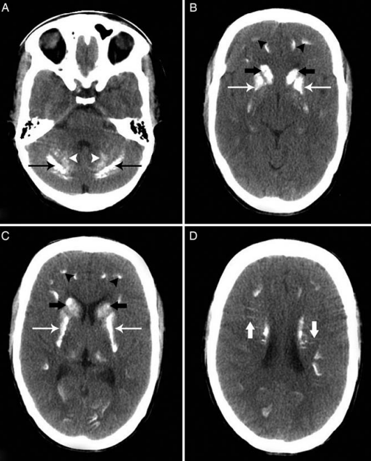
Рис.1. Болезнь Фара (стриопаллидодентатный кальциноз). На нативной КТ в аксиальной плоскости визуализируются двусторонние симметричные участки кальцификации в гемисферах мозжечка (тонкие черные стрелки) (рис.А). Также обратите внимание на кальцификацию обоих зубчатых ядер (головки стрелок) (рис.А). Наблюдается обширная двусторонняя кальцификация в головках хвостатых ядер (толстые черные стрелки) (рис.B и C), скорлупе и латеральных бледных шарах (тонкие белые стрелки) с относительно интактными медиальными отделами бледных шаров и таламуса (рис. B). Также имеется кальцификация на границе серого и белого вещества (черные стрелки) (рис.B). Видно, что линейные участки кальцификации простираются перпендикулярно хвостатым ядрам (толстые белые стрелки) (рис.D).
Рис.1. Болезнь Фара (стриопаллидодентатный кальциноз). На нативной КТ в аксиальной плоскости визуализируются двусторонние симметричные участки кальцификации в гемисферах мозжечка (тонкие черные стрелки) (рис.А). Также обратите внимание на кальцификацию обоих зубчатых ядер (головки стрелок) (рис.А). Наблюдается обширная двусторонняя кальцификация в головках хвостатых ядер (толстые черные стрелки) (рис.B и C), скорлупе и латеральных бледных шарах (тонкие белые стрелки) с относительно интактными медиальными отделами бледных шаров и таламуса (рис. B). Также имеется кальцификация на границе серого и белого вещества (черные стрелки) (рис.B). Видно, что линейные участки кальцификации простираются перпендикулярно хвостатым ядрам (толстые белые стрелки) (рис.D).
Рис. 2. Нативная КТ (аксиальная плоскость) - стрелками указаны симметричные участки кальцификации в области лучистого венца.
Рис. 2. Нативная КТ (аксиальная плоскость) - стрелками указаны симметричные участки кальцификации в области лучистого венца.
Рис. 3. Нативная КТ (аксиальная плоскость) билатеральные симметричные кальцификаты в обеих гемисферах мозжечка.
Рис. 3. Нативная КТ (аксиальная плоскость) билатеральные симметричные кальцификаты в обеих гемисферах мозжечка.
Рис. 4. ( A ) МРТ  T2* GRE с обширной кальцификацией в области базальных ганглиев. ( B ) Нативная КТ головного мозга (аксиальная плоскость) аналогичные изменения.
Рис. 4. ( A ) МРТ T2* GRE с обширной кальцификацией в области базальных ганглиев. ( B ) Нативная КТ головного мозга (аксиальная плоскость) аналогичные изменения.
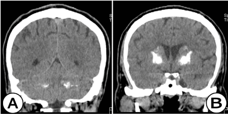
Рис. 5. Нативная КТ  головного мозга (корональная плоскость). (А) На уровне задней черепной ямки отчетливо видны двусторонние, высокоплотные и обширные участки кальцификации с вовлечением зубчатых ядер и гемисфер мозжечка. (Б) На уровне передних рогов боковых желудочков на КТ визуализируются аналогичные зоны кальцификации в базальных ганглиях (хвостатое ядро, бледный шар, чечевицеобразное ядро ​​и скорлупа) у мужчины 56 лет.
Рис. 5. Нативная КТ головного мозга (корональная плоскость). (А) На уровне задней черепной ямки отчетливо видны двусторонние, высокоплотные и обширные участки кальцификации с вовлечением зубчатых ядер и гемисфер мозжечка. (Б) На уровне передних рогов боковых желудочков на КТ визуализируются аналогичные зоны кальцификации в базальных ганглиях (хвостатое ядро, бледный шар, чечевицеобразное ядро ​​и скорлупа) у мужчины 56 лет.
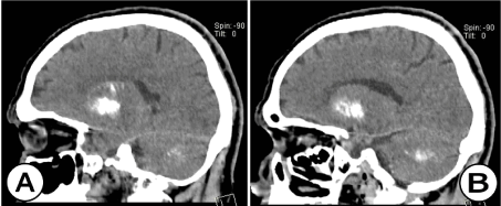
Рис. 6. Нативная КТ головного мозга (сагиттальная плоскость) (А) и (В): участки  кальцификации с вовлечением зубчатых ядер и гемисфер мозжечка, а также  базальных ганглиев (хвостатое ядро, бледный шар, чечевицеобразное ядро ​​и скорлупа) у того же пациента.
Рис. 6. Нативная КТ головного мозга (сагиттальная плоскость) (А) и (В): участки кальцификации с вовлечением зубчатых ядер и гемисфер мозжечка, а также базальных ганглиев (хвостатое ядро, бледный шар, чечевицеобразное ядро ​​и скорлупа) у того же пациента.
Рис. 7. МРТ Т2* tra GRE снижение интенсивности МР-сигнала от базальных ганглиев, такая картина обусловлена сочетанием кальцификации и отложением железа.
Рис. 7. МРТ Т2* tra GRE снижение интенсивности МР-сигнала от базальных ганглиев, такая картина обусловлена сочетанием кальцификации и отложением железа.
Рис. 8. Т1 tra-ВИ, повышение интенсивности МР-сигнала от базальных ганглиев у этого же пациента.
Рис. 8. Т1 tra-ВИ, повышение интенсивности МР-сигнала от базальных ганглиев у этого же пациента.
Рис. 9. Т1 tra-ВИ, повышение интенсивности МР-сигнала в области таламуса у этого же пациента.
Рис. 9. Т1 tra-ВИ, повышение интенсивности МР-сигнала в области таламуса у этого же пациента.
Рис. 10. КТ головная мозга, аксиальная плоскость, нативное исследование. Симметричная, умеренно-выраженная кальцинация базальных ганглиев.
Рис. 10. КТ головная мозга, аксиальная плоскость, нативное исследование. Симметричная, умеренно-выраженная кальцинация базальных ганглиев.

Источники и список использованной литературы:

  1. Лучевая диагностика. Головной мозг. 3-е издание. А. Осборн, К. Зальцман, М. Завери, Москва, 2018. – Страниц 1197. ISBN: 978-5-91839-097-9;
  2. Alam ST, Aswani Y, Anandpara KM, et al. CT findings in Fahr's disease. Case Reports 2015;2015:bcr2014208812.;
  3. Ooi H, Er C, Hussain I, et al. (June 01, 2019) Bilateral Basal Ganglia Calcification: Fahr's Disease. Cureus 11(6): e4797. doi:10.7759/cureus.4797;
  4. Тай XY, Батла А. Болезнь Фара: современные перспективы. Орфанные препараты: исследования и обзоры, 2015; 5:43-49; https://doi.org/10.2147/ODRR.S63388;
  5. Gligorievski A (2018) CT Diagnosis of Fahr disease, a case report. Clin Case Rep Rev 4: doi: 10.15761/CCRR.1000393;
-12