Добавить в корзинуПозвонить
Найти в Дзене
D2D Expert

Долихоэктазия интракраниальных отделов позвоночных артерий

Клинический случай: пациент 1984 г.р. обратился в клинику с жалобами на головную боль, ощущение шума в голове, онемение правой половины лица. По назначению направляющего врача выполнено МРТ головного мозга и шейного отдела позвоночника. При проведении исследования были выявлены следующие изменения: долихоэктазия  интракраниальных отделов позвоночных артерий Пациенту, также была проведена МР-ангиография, на которой выявлены следующие изменения: При выполнении МР исследования шейного отдела позвоночника были выявлены расширения эктракраниальных отделов позвоночных артерий, диаметром справа до 8 мм, слева до 6 мм (норма до 3.8 мм). В глубоких мягких тканях шеи, также определяется патологически извитые, выраженно расширенные артерии, диаметром до 1.0 мм. Расширение артериальных сплетений на уровне атланто-аксиального и атлантоокципитального сочленения. Данные изменения: Долихоэктазия экстракраниальных отделов позвоночных артерий. Патологические изменения были выявлены в 2020 г, в настоящий
Клинический случай: пациент 1984 г.р. обратился в клинику с жалобами на головную боль, ощущение шума в голове, онемение правой половины лица.

По назначению направляющего врача выполнено МРТ головного мозга и шейного отдела позвоночника.

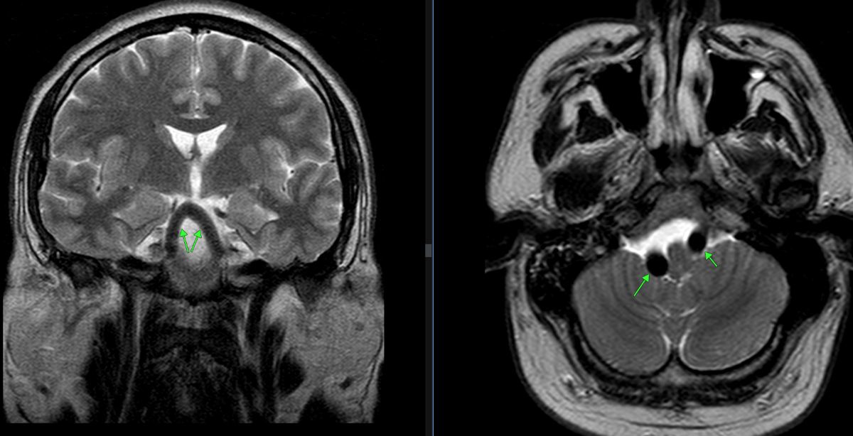
При проведении исследования были выявлены следующие изменения: долихоэктазия  интракраниальных отделов позвоночных артерий

Рис. 1. Определяется выраженное расширение интракраниальных отделов позвоночных артерий, диаметром справа до 10 мм, слева до 8-9 мм (норма до 3.8 мм), с компримированием ствола мозга.
Рис. 1. Определяется выраженное расширение интракраниальных отделов позвоночных артерий, диаметром справа до 10 мм, слева до 8-9 мм (норма до 3.8 мм), с компримированием ствола мозга.

Пациенту, также была проведена МР-ангиография, на которой выявлены следующие изменения:

Рис. 2. Отмечаются признаки снижения тока крови в левой позвоночной артерии, в области границы эктра- и интракраниального перехода с признаками полного отсутствия кровотока слева.
Рис. 2. Отмечаются признаки снижения тока крови в левой позвоночной артерии, в области границы эктра- и интракраниального перехода с признаками полного отсутствия кровотока слева.
Рис. 3. Базилярная артерия смещена в левую сторону, имеет дугообразный ход, с признаками сужения просвета и снижения кровотока, что может является вариантом развития - гипоплазия.
Рис. 3. Базилярная артерия смещена в левую сторону, имеет дугообразный ход, с признаками сужения просвета и снижения кровотока, что может является вариантом развития - гипоплазия.

При выполнении МР исследования шейного отдела позвоночника были выявлены расширения эктракраниальных отделов позвоночных артерий, диаметром справа до 8 мм, слева до 6 мм (норма до 3.8 мм). В глубоких мягких тканях шеи, также определяется патологически извитые, выраженно расширенные артерии, диаметром до 1.0 мм. Расширение артериальных сплетений на уровне атланто-аксиального и атлантоокципитального сочленения.

Данные изменения:

-5
-6
-7

Долихоэктазия экстракраниальных отделов позвоночных артерий.

Патологические изменения были выявлены в 2020 г, в настоящий момент пациент проходит динамическое наблюдение, нарастание отрицательной симптоматики не отмечается, при сравнении с предыдущим исследованием, прогрессирования в виде расширения сосудов не выявлено.

Использованная литература:

1. Позвоночная артерия https://radiopaedia.org/articles/vertebral-artery

2. Долихоэктазия. https://radiopaedia.org/articles/dolichoectasia-1

3. Effects of abnormal vertebral arteries a
Долихоэктазия интракраниальных отделов позвоночных артерий
nd the circle of Willis on vertebrobasilar dolichoectasia: A multi-scale simulation study https://pubmed.ncbi.nlm.nih.gov/36508951/

4. Trigeminal Neuralgia and Hemifacial Spasms Due to Vertebrobasilar Dolichoectasia: A Case Report. https://pubmed.ncbi.nlm.nih.gov/36601151/

-8