Добавить в корзинуПозвонить
Найти в Дзене
D2D Expert

МИЦЕТОМА ГАЙМОРОВОЙ ПАЗУХИ

Мицетома придаточных пазух носа - это грибковое новообразование шаровидной формы, неинвазивного характера, представляют собой грибковую колонизацию придаточных пазух носа. Обычно поражается одна пазуха с преобладанием верхнечелюстного синуса, как правило, не проникает в его слизистую оболочку. На начальных стадиях никак не проявляется, но при разрастании заполняет всю полость пазухи, ухудшая качество жизни. По данным С.З. Пискунова и соавт. [1], воспалительные заболевания параназальных синусов в 5% случаев обусловлены различной грибковой флорой, преимущественно рода Aspergillus, с наиболее частой локализацией в верхнечелюстных пазухах. За ней следует клиновидная пазуха, реже - лобная и решетчатая пазухи. Отдельной причиной можно выделить стоматологическое лечение, в результате которого происходит попадание инородных тел в пазуху— пломбировочного материала, обломков инструментов. Такое возможно при анатомически близком расположении верхних жевательных зубов к носовому синусу, а у некото

Мицетома придаточных пазух носа - это грибковое новообразование шаровидной формы, неинвазивного характера, представляют собой грибковую колонизацию придаточных пазух носа. Обычно поражается одна пазуха с преобладанием верхнечелюстного синуса, как правило, не проникает в его слизистую оболочку.

На начальных стадиях никак не проявляется, но при разрастании заполняет всю полость пазухи, ухудшая качество жизни.

По данным С.З. Пискунова и соавт. [1], воспалительные заболевания параназальных синусов в 5% случаев обусловлены различной грибковой флорой, преимущественно рода Aspergillus, с наиболее частой локализацией в верхнечелюстных пазухах. За ней следует клиновидная пазуха, реже - лобная и решетчатая пазухи.

Отдельной причиной можно выделить стоматологическое лечение, в результате которого происходит попадание инородных тел в пазуху— пломбировочного материала, обломков инструментов. Такое возможно при анатомически близком расположении верхних жевательных зубов к носовому синусу, а у некоторых людей корни и вовсе находятся в пазухе, отделяются только слизистой оболочкой.

Основные симптомы: головная боль, заложенность носа, неприятный запах в носу, гнойно-слизистые выделения, потеря обоняния, боли в области носа и/или зубов. Возможно ощущение распирания. Слизистая оболочка носовой полости может изменить цвет (появляется синеватый оттенок). Для мицетомы свойственны также выделения творожистого характера.

Новообразование при разрастании вызывает воспаление и соответствующую симптоматику, поэтому можно встретить термин «грибковый гайморит» [грибковый верхнечелюстной синусит].

При подозрении на наличие мицетомы «золотым стандартом» является проведение компьютерной томографии (КТ) без контрастного усиления, с получением изображений в аксиальной и коронарной плоскостях. Ключом к диагнозу является плотность мягких тканей в пазухах с очень плотными участками, в том числе с металлической плотностью, что можно отнести к локальным кальцификациям, или без них.

Случай из нашей практики:

В клинику обратилась пациентка 1973 года рождения с жалобами на боли в левой половине лица, неприятный запах, головные боли в течение 4-х месяцев; со слов, гайморит с 2012 года.

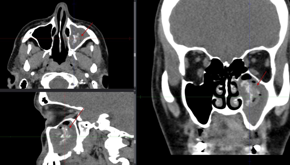
При обследовании методом МСКТ выявлено: субтотальное нарушение пневматизации левой верхнечелюстной пазухи за счет неравномерного умеренного утолщения слизистой оболочки (синяя стрелка) /инфильтративного воспалительного генеза, в том числе на уровне устья и инфраорбитальных ячеек/, с наличием патологического субстрата (красная стрелка), неоднородно повышенной плотности /до 190 HU/ в центральных отделах пазухи, неправильной формы, размерами ориентировочно 1,4х2,0х2,4 см. Периостальные изменения по задней стенке (зеленая стрелка) и костный дефект дна левой верхнечелюстной пазухи (белая стрелка). На этом фоне - минимальный экссудативный компонент в пазухе.

Рис. 1. Патологический субстрат (красная стрелка) неоднородной повышенной плотности
Рис. 1. Патологический субстрат (красная стрелка) неоднородной повышенной плотности
Рис. 2. Плотность патологического субстрата (до 190 HU).
Рис. 2. Плотность патологического субстрата (до 190 HU).
Рис. 3. Патологический субстрат неоднородной плотности в левой верхнечелюстной пазухе.
Рис. 3. Патологический субстрат неоднородной плотности в левой верхнечелюстной пазухе.
Рис. 4. Блок гайморо-назального соустья слева, справа- свободно.
Рис. 4. Блок гайморо-назального соустья слева, справа- свободно.
Рис. 5. Периостальная реакция кортекса задней стенки левой верхнечелюстной пазухи.
Рис. 5. Периостальная реакция кортекса задней стенки левой верхнечелюстной пазухи.
Рис. 6. Костный дефект дна левой верхнечелюстной пазухи (белая стрелка).
Рис. 6. Костный дефект дна левой верхнечелюстной пазухи (белая стрелка).

По данным МСКТ придаточных пазух носа выставлено заключение: картина субтотального нарушения пневматизации левой верхнечелюстной пазухи за счет мицетомы на фоне хронического гайморита.

Рекомендована консультация оториноларинголога, челюстно-лицевого хирурга.

На МРТ также возможно выявление грибкового тела.

МРТ-сигнальные характеристики мицетом отражают внутреннее содержание мицелия, вегетативной части гриба, состоящего из конгломерата гиф. Он содержит в основном углеводы с некоторыми гликопротеинами, макромолекулярными белками, а также железом и марганцем. Поэтому МР-сигнал чаще всего - гипоинтенсивный (тёмный) во всех режимах сканирования, однако наличие парамагнитных элементов может несколько изменить картину.

При исследовании другого пациента визуализируется выраженно гипоинтенсивный (очень тёмный) МР-сигнал на Т2-ВИ, практически аналогичный МР-сигналу от воздуха, что на первый взгляд может ввести в заблуждение (рис. 7); при этом в режиме Т1-взвешенного изображения в данном случае мицетома выглядит совершенно по другому: негомогенно светлый МР-сигнал (рис. 8). Однако, в силу ограничения возможностей метода, выявить наличие или исключить деструкцию костных стенок пазухи (что важно для дифференциальной диагностики с инвазивным грибковым поражением) на МРТ не представляется возможным. Для уточнения состояния костных структур в подобных ситуациях рекомендуется проведение МСКТ.

Рис. 7. МРТ, Т2-ВИ, корональная плоскость. Тёмный МР-сигнал, характерный для воздуха, от содержимого обеих верхнечелюстных пазух практически не отличим друг от друга.
Рис. 7. МРТ, Т2-ВИ, корональная плоскость. Тёмный МР-сигнал, характерный для воздуха, от содержимого обеих верхнечелюстных пазух практически не отличим друг от друга.
Рис. 8. МРТ, Т1-ВИ, аксиальная плоскость. В режиме Т1-ВИ - тёмный сигнал от полости правой верхнечелюстной пазухи соответствует воздуху, негомогенный яркий сигнал от содержимого левой верхнечелюстной пазухи с учётом данных на Т2-взвешенном изображении - соответствует мицетоме.
Рис. 8. МРТ, Т1-ВИ, аксиальная плоскость. В режиме Т1-ВИ - тёмный сигнал от полости правой верхнечелюстной пазухи соответствует воздуху, негомогенный яркий сигнал от содержимого левой верхнечелюстной пазухи с учётом данных на Т2-взвешенном изображении - соответствует мицетоме.

Список литературы:

  1. Миненков Г.О., Насыров В.А., Исламов И.М., Солодченко Н.В., Скоробогатова О.В. Современные возможности МСКТ в диагностике мицетом параназальных синусов. Вестник оториноларингологии. 2017;82(3):22‑24.
  2. VARGAS, I.; SÁEZ, F.; PEDEMONTE, C.; PÉREZ, H. & CANALES, M. The imaging appearance of sinus mycetoma: A case series. Int. J. Odontostomat., 10(1):17-22, 2016.
  3. Hsu C, El-Feky M, Mishra H, et al. Paranasal sinus mycetoma. Reference article, Radiopaedia.org (Accessed on 25 Feb 2023) https://doi.org/10.53347/rID-19956
-10