Найти в Дзене
Parodoctor

Давайте подойдём к удалению зубов вдумчиво.

И стоматологи поторапливают - скорее, а то конец! А то хвост отвалится, никаких больше имплантатов не поставить! Поспеши. И подпихивают в известном направлении - касса - вон там😂 Тише, мой замечательный человек! Остановись и присядь. Ты уникален и неповторим, какие могут быть быстрые решения вот так, сходу? Предлагаю разобраться в теме неспеша, время у нас есть всегда. Никаких молниеносных решений. Даже если очень хочется. Стоматология - не место для спешки. Честно. Помним, что каждый случай особенный, каждая полость рта - отдельная история, которая если и имеет с чьей-то другой общие признаки, то 100% попадания не будет. Что хорошо для Фомы, то плохо для Ерёмы. Главная задача любого врача - помочь пациенту. Не навредить! Помочь. Сделать его жизнь комфортнее в тех рамках, в каких позволяет квалификация и специализация. Я уверена, что нет докторов, которые делают какие-то вещи для того, что бы пациенту навредить, обидеть его, испортить жизнь, нанести вред здоровью. А, если и зате
Оглавление

И стоматологи поторапливают - скорее, а то конец! А то хвост отвалится, никаких больше имплантатов не поставить! Поспеши.

И подпихивают в известном направлении - касса - вон там😂

Тише, мой замечательный человек!

Остановись и присядь.

Ты уникален и неповторим, какие могут быть быстрые решения вот так, сходу? Предлагаю разобраться в теме неспеша, время у нас есть всегда. Никаких молниеносных решений. Даже если очень хочется. Стоматология - не место для спешки. Честно.

Помним, что каждый случай особенный, каждая полость рта - отдельная история, которая если и имеет с чьей-то другой общие признаки, то 100% попадания не будет. Что хорошо для Фомы, то плохо для Ерёмы.

Главная задача любого врача - помочь пациенту. Не навредить! Помочь. Сделать его жизнь комфортнее в тех рамках, в каких позволяет квалификация и специализация.

Я уверена, что нет докторов, которые делают какие-то вещи для того, что бы пациенту навредить, обидеть его, испортить жизнь, нанести вред здоровью. А, если и затесался подобный экземпляр в наши ряды, то это волк в овечьей шкуре, но никак не врач. Единицы маньяков и безумцев, которых потом показывают по телевизору в криминальных сводках или новостях под тегом "ЧП".

Но бывает, увы, что доктора чего-то не знают. Или идут по пути наименьшего сопротивления, следуют стандартам без оглядки на конкретную ситуацию. У кого-то нет опыта клинического в достатке, что бы увидеть какие действия к каким последствиям приводят.

Ведь специалисты разные. Каждый прошёл свой путь. Каждый крутой спец не обошёлся без ошибок и без осложнений на пути своего становления. Практика - наше всё, без неё мы не стали бы теми, кто мы есть. Но без теории, без опыта коллег - ошибки были бы серьёзнее, а последствия их печальнее и фатальнее.

Первопроходцы в той или иной области хирургии собирали "кладбища", набивали шишки, теряли покой и душевное равновесие, теряли смысл заниматься тем, чем занимаются в итоге. Проходили очень сложный путь и, в итоге, не ломались, вырастали и поднимались над всеми.

А теперь делятся с другими своими знаниями. За большие деньги, но оно того стоит! Мы, когда хотим разобраться в новой методике, в первую очередь изучаем то, какие осложнения случаются. И как этого избежать. Не красивые картинки, а самая жесть - вот с чего начинается путь.

Мы не готовы рисковать. И это тоже свой путь. Делай сразу хорошо, учитывай ошибки других и не повторяй те действия, что к ним привели.

Современные учебные базы позволяют проработать ошибки до того, как рука со скальпелем коснётся живого человека - пациента. Были бы ресурсы и мозг, что бы всё это осознать и впитать. У нас, без лишней скромности, с этим проблем нет.

Поэтому подготовка пациентов к имплантации занимает, иной раз, много времени. Занимает очень много ресурсов и требует хорошей работы головы. Расчёты, расчёты, расчёты - тысячу раз. В любом случае - будь то тотальная работа или одиночный имплантат. Всё через расчёты и осмысление.

Что будет в перспективе с человеком, если сделать так? А если иначе? Нас не устроит компромиссный вариант, если в наличии полноценный.

Удалить зуб. Что может быть проще, казалось бы?

Мало что может быть сложнее - скажу я вам. И дело не в физической силе, не в удалении как таковом. "Дёрнуть" зуб, прошу прощения - ума много не надо. Атравматично, бережно его удалить - тоже не самая великая наука. Мастеров удалять зубы без боли, слёз и травмы - много.

Важнее другое. Что делать дальше?

Какие планы на жизнь? Имплантация, мостовидная конструкция, съёмный протез, ничего - вариантов много.

Если вы задумались об удалении зуба, то ПРЕЖДЕ ВСЕГО нужно решить вопрос - а что будет потом? Нужен план. В зависимости от выбранной методики и характера проблемы действуем дальше.

Рассмотрим вариант такой - дальше в планах имплантация. Удаление - элемент подготовки к имплантации, а не самостоятельная процедура.

Какие варианты могут быть? Разнообразные. Давайте разберём несколько клинических случаев.

1. Пародонтит.

Всё достаточно просто.

Хронический генерализованный пародонтит тяжёлой степени тяжести характеризуется следующими признаками:

1. Оголение корней зубов от 1/2 до 100%.

2. Подвижность зубов 3-4 степени.

3. Кровоточивость дёсен, отёк, гиперемия, болезненные ощущения - не всегда. Только на стадии обострения.

Рентгенологическая картина типична. Визуализируется деструкция костной ткани до 100% длины корней.

Прогноз на такой стадии один - удаление всех зубов. Спасение не принесёт должного эффекта. Работы в 99% случаев - тотальные.

Если кости в нужных зонах хватает для имплантации (фронтальный участок и боковые зоны в области 4-5 зубов), то рассмотрим такой вариант.

ПЛАН удаления зубов при пародонтите в рамках подготовки к имплантации:

1. Стабилизация пародонтита - ввод заболевания в состояние ремиссии.

Никакого острого воспаления быть не должно! Поддесневая гигиена, медикаментозная терапия - не сложно, не долго, щадяще, разумно.

2. Удаление зубов ОДНОМОМЕНТНО, даже в большом количестве с имплантацией по системе "всё на 4-х". Зубы служат ориентирами для имплантолога, заранее их не удаляют ещё и в рамках сбережения объёма кости.

Если избавиться от зубов до операции:

1. Потеря ориентиров.

2. Потеря костной ткани, которой и так дефицит. Особенно! Если на этапе заживления использовать съёмный протез.

Это не я хочу "сорвать куш", это прописные истины стоматологической базы.

2. Периодонтит.

Моё "любимое" заболевание, воздействующее на кость самым непредсказуемым, радикальным образом. Хуже пародонтита? Хуже.

Симптомы в каждом отдельном случае разнообразны:

1. Очень сильно болело и прошло само.

2. Не болит вообще, не ощущается.

3. Припухает/раздувает десну периодически и болит/не болит.

Удалять такие зубы массово - не рекомендуется. Мы удаляли за один раз 9 штук, это максимум. Антибиотикотерапия - обязательно в таком случае! Повторять не рекомендую, хоть проблем и не возникло у пациента.

Пример 1.

Хронический периодонтит.
Хронический периодонтит.

В народе - "киста", "гранулёма".

Хронический периодонтит представляет собой одну из форм заболевания, возникающего из-за того, что в ткани периодонта через отверстия корневых каналов, находящиеся на верхушках зубных корней, проникают патогенные микроорганизмы.

Откуда они в корневых каналах появляются? Зуб "погиб" и пульпа разлагается - повод. Плохо пройдены каналы и инфекция не до конца ликвидирована - тоже повод. В общем, обязательное условия развития периодонтита - инфекция внутри корневых каналов зубов.

Терапевтически такие зубы достаточно хорошо поддаются лечению, но если от зуба остались только рожки да ножки - удаление.

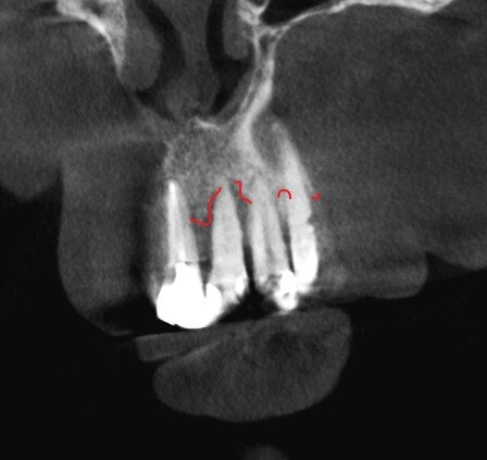
Давно разрушенные корни зубов - развился периодонтит.
Давно разрушенные корни зубов - развился периодонтит.
Большие периапикальные очаги деструкции костной ткани.
Большие периапикальные очаги деструкции костной ткани.

Что делаем в случае этого пациента?

Удаляем корни зубов и ждём 4-6 месяцев, пока кость полностью восстановится. Прогноз - отличный.

Имплантацию одномоментно в таких условиях проводить не разумно.

Пример 2.

Причина - ортопедическая вкладка. Но, возможно, эндодонтия тоже подвела.
Причина - ортопедическая вкладка. Но, возможно, эндодонтия тоже подвела.

Значительный очаг деструкции воспалительного характера разрушил вестибулярную часть альвеолярной кости (щёчно). Это печально.

Лечение - удаление и ожидание восстановления кости. А восстановится она частично, по границе, выделенной красной линией. Прежнего объёма не выйдет, потеря кости фатальна.

После 4-6 месяцев оцениваем то, насколько хорошо организм справился с задачей. Подключаемся - костные пластики, синус-лифтинг.

Мы НИКОГДА заранее не можем спрогнозировать финальное лечение в таком случае. Мы просто не знаем, на что организм данного человека способен.

Поэтому бесполезно просить составить план лечения на перспективу. Смысла нет.

Пример 3.

Причина - перелом корня. Но, возможно, эндодонтия тоже подвела.
Причина - перелом корня. Но, возможно, эндодонтия тоже подвела.

То же самое - удаляем и ждём. Никаких предварительных планов.

Ни о какой одномоментной имплантации в случае периодонтита, зачастую, речь не идёт. Особенно при наличии огромного очага деструкции кости.

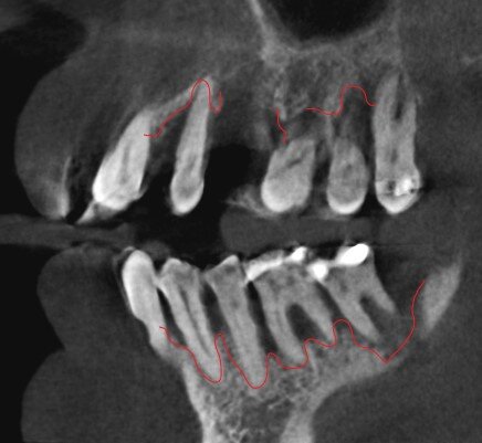
3. А вот случай комплексный и интересный, требующий особого подхода.

Цифровой слепок верхней челюсти.
Цифровой слепок верхней челюсти.

Задача - восстановить жевательную эффективность во втором сегменте верхней челюсти.

Кажется, что всё просто.

Проблемная зона.
Проблемная зона.

Вот почему зубы нужно удалять:

Зубы обозначены номерами без привязки к классификации.
Зубы обозначены номерами без привязки к классификации.

1 - объёмная вкладка, которой очень много лет. Постоянно выпадает, от стенок зуба ничего толкового не осталось.

2 - корень, от которого ничего не осталось и он не пригоден для восстановления.

3 - зуб выдвинулся, наклонился. Имплантату с коронкой этот зуб будет мешать, не получится адекватной гигиены и велики риски потерять конструкцию. Но пациент не готов к расставанию. Не настаиваем.

4 - кариес корня в таком объёме и в такой локации, что шансов у зуба не остаётся.

Стоматологи, консультировавшие пациента до, проблемы не видят и предлагают 2 варианта:

1. Удаление и одномоментная имплантация.

2. Удаление, ожидание, имплантация.

Всё с синус-лифтингами, насколько память не изменяет. Но не суть.

Что же нас смутило?

Прикус. Мезиальный. Нижняя челюсть впереди верхней.

Мезиальный прикус.
Мезиальный прикус.

Посмотрим снимок КТ.

Доказательство разности кости.
Доказательство разности кости.

Но вы скажете - зона же нас другая интересует! Какие проблемы?

Проблемы глобальные.

Собственные зубы и кость пациентов с мезиальным прикусом приспособились вот к такой жизни - зоны роста как бы выдвинуты. Ох, ну и оборот, но как ещё объяснить? Наклон имеют зубы, наклон имеет кость, в которой эти зубы находятся.
Боковой срез.
Боковой срез.

Сбоку - то же самое.

Поэтому, как только такие зубы будут удалены, зоны роста вернутся к естественному, природному положению - "встанут" ровно, плюс подвергнутся неминуемым процессам деструкции.

Как тогда ставить имплантаты? Хорошего ничего не будет. Одномоментно имплантировать? Зонам роста плевать, при удалении зуба останется "дырка" в кости, стенки костной лунки (кортикальные пластинки) будут слабы и зоны роста "уедут" - ничего их не остановит.

Поэтому план такой - НИКАКОГО МАССОВОГО удаления зубов:

1. Удаление зуба под номером 1 и консервация лунки. Ждём 4 месяца.

2. Удаление зуба под номером 2 и пластика собственной костью, взятой с бугра в/ч. Ждём приживления 4 месяца.

Зуб под номером 4 не столь интересен и время его удаления не буду расписывать. Как решит хирург, так и будет.

Таким образом мы сохраним максимально возможное количество кости. Ничего лучше, увы, не придумаешь.

Мои статьи на подобные или смежные темы:

1. Оперируем сейчас или через 6 месяцев? Критерии выбора пациентов.

2. У других красивые зубы за 1 день. А у нас есть вариант "страшненькие" за 3 и ждать 6 месяцев.

3. Одномоментная имплантация - когда лучше не спешить и пойти классическим путём.

4. Опасайся тонких-звонких людей и съёмных протезов. Кому нельзя терять зубы, даже если очень хочется. В конце статьи разбор случая пациента, который поспешил.

5. Разбор тотальной имплантации в 5 частях.

6. Хирургические шаблоны и тотальная работа на 2-х челюстях.

Всем достаточного количества информации!

С уважением, Лежачёва Наталия Александровна, главный врач, хирург-пародонтолог стоматологии Parodent, Санкт-Петербург.